Suppr超能文献

源于升结肠的非典型阑尾 duplex:病例报告。

Atypical Duplex appendix arising from the ascending colon: a case report.

机构信息

Surgery Department, Faculty of Medicine, Mansoura University, Mansoura, 33516, Egypt.

Surgery Department, Alyousif Hospital, Al-Khobar, Saudi Arabia.

出版信息

J Med Case Rep. 2024 Mar 29;18(1):188. doi: 10.1186/s13256-023-04259-4.

Abstract

BACKGROUND

Duplex or vermiform appendix refers to the presence of an appendix beside the naturally occurring one. Although, duplex appendix emerges from the caecum most of the time, yet it is encountered in other parts of the colon. Inflammation of duplex appendix may represent not only a clinical, but also a surgical dilemma, and this would be confusing further among patients who already had prior appendectomy.

CASE PRESENTATION

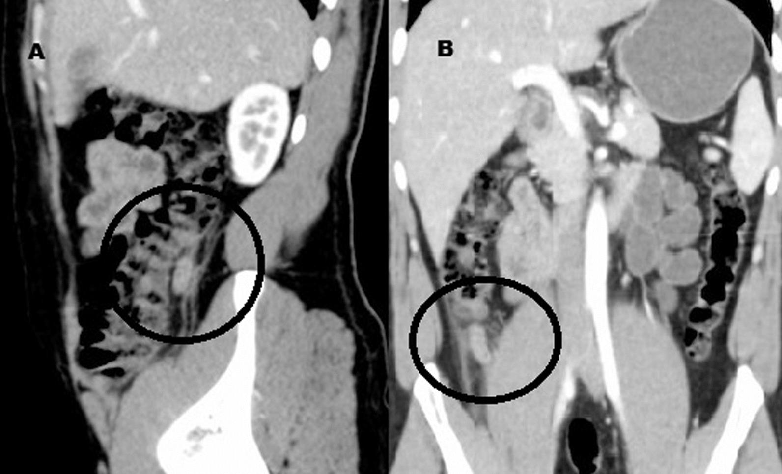
We present a case of 29-years old Egyptian male patient with history of appendectomy one and half year before presenting to the emergency department with recurrent acute abdominal pain that was linked to duplex appendicitis abnormally emerged from the mid-ascending colon. The first episode was treated conservatively considering atypical right colon diverticulitis as a potential differential diagnosis. Seven months later the patient was treated by laparoscopic appendectomy and experienced an uneventful pot-operative course.

CONCLUSION

Duplex appendicitis, though rare, should be considered in the differential diagnosis of recurrent acute abdomen even after appendectomy.

摘要

背景

双阑尾或蚓状阑尾是指除正常阑尾外还有另一个阑尾。尽管双阑尾通常起源于盲肠,但也可在结肠的其他部位出现。双阑尾的炎症不仅可能是临床问题,也是手术上的难题,对于已经接受过阑尾切除术的患者,这会更加混淆。

病例介绍

我们报告了 1 例 29 岁埃及男性患者,他在急诊就诊前 1 年半曾行阑尾切除术,反复出现急性腹痛,与异常起源于升结肠中段的双阑尾有关。第一次发作时,由于考虑到不典型的右结肠憩室炎是潜在的鉴别诊断,因此采用保守治疗。7 个月后,患者接受了腹腔镜阑尾切除术,术后恢复顺利。

结论

即使在阑尾切除术后,对于反复发作的急性腹痛,也应考虑到双阑尾炎作为鉴别诊断。虽然罕见,但仍需考虑。

https://cdn.ncbi.nlm.nih.gov/pmc/blobs/1bdb/10979607/424a4d7f68f9/13256_2023_4259_Fig1_HTML.jpg

文献检索

告别复杂PubMed语法,用中文像聊天一样搜索,搜遍4000万医学文献。AI智能推荐,让科研检索更轻松。

立即免费搜索

文件翻译

保留排版,准确专业,支持PDF/Word/PPT等文件格式,支持 12+语言互译。

免费翻译文档

深度研究

AI帮你快速写综述,25分钟生成高质量综述,智能提取关键信息,辅助科研写作。

立即免费体验