Suppr超能文献

以眼球震颤和共济失调为表现的副肿瘤综合征病例

Paraneoplastic Syndrome Case Presented As Nystagmus and Ataxia.

作者信息

Darwesh Khaled M

机构信息

Internal Medicine, Providence St. Peter Hospital, Olympia, USA.

出版信息

Cureus. 2024 Feb 28;16(2):e55153. doi: 10.7759/cureus.55153. eCollection 2024 Feb.

Abstract

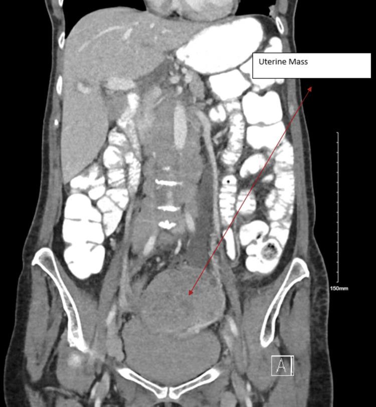
The incidence of paraneoplastic syndrome (PNS) is on the rise, attributed to the growing detection of antibody modalities in both the serum and cerebrospinal fluid (CSF). PNS can occur as different neurological symptoms. The revised guidelines streamline the diagnostic approach but identifying PNS still requires the detection of neurological manifestations concurrent with cancer, along with the presence of specific PNS autoantibodies.

摘要

副肿瘤综合征(PNS)的发病率正在上升,这归因于血清和脑脊液(CSF)中抗体模式检测的增加。PNS可表现为不同的神经症状。修订后的指南简化了诊断方法,但识别PNS仍需要检测与癌症同时出现的神经表现以及特定PNS自身抗体的存在。

https://cdn.ncbi.nlm.nih.gov/pmc/blobs/cb94/10980271/1b804e947499/cureus-0016-00000055153-i01.jpg

文献检索

告别复杂PubMed语法,用中文像聊天一样搜索,搜遍4000万医学文献。AI智能推荐,让科研检索更轻松。

立即免费搜索

文件翻译

保留排版,准确专业,支持PDF/Word/PPT等文件格式,支持 12+语言互译。

免费翻译文档

深度研究

AI帮你快速写综述,25分钟生成高质量综述,智能提取关键信息,辅助科研写作。

立即免费体验