Suppr超能文献

一例肾嫌色细胞癌合并肺神经内分泌肿瘤的罕见病例:病例报告及文献复习

A Rare Case of Concurrent Chromophobe Renal Cell Cancer with Lung Neuroendocrine Tumor: A Case Report and Literature Review.

作者信息

Zeer Zahraa M M, Noman Mahmoud, Zeer Almotazbellah M M, Mahamid Yamama Hasan, Arafat Hasan, Abomoch Malak, Abu Aqeel Bashir

机构信息

Faculty of Medicine, Al-Quds University.

Medical Resident at Augusta Victoria Hospital, Jerusalem, Palestine.

出版信息

Ann Med Surg (Lond). 2024 Feb 19;86(4):2230-2235. doi: 10.1097/MS9.0000000000001841. eCollection 2024 Apr.

Abstract

INTRODUCTION

Multiple primary malignancies (MPM) may be in one organ or in multiple separate organs. They are categorized into synchronous and metachronous according to the time interval between the two malignancies. Multiple risk factors could be attributed to the development of second primary malignancy.

CASE PRESENTATION

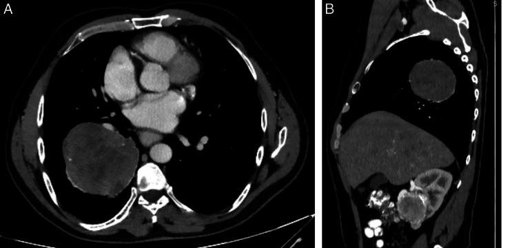
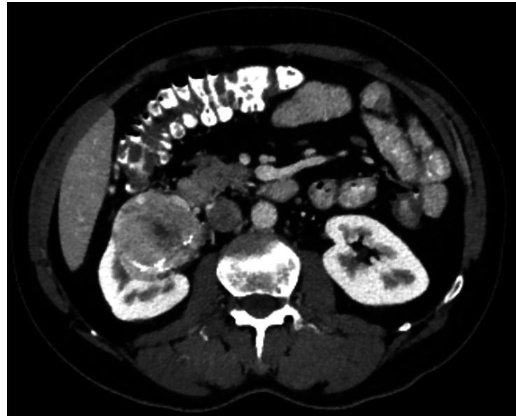
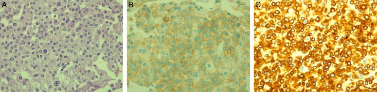
The authors report a case of a 51-year-old male patient with renal cell carcinoma. During his evaluation, he seemed to have a lung mass which revealed to be a carcinoid tumour. As the patient had two primary malignancies, he was managed according to the treatment options for each tumour.

DISCUSSION

Although MPMs have been reported increasingly in the past decade, overall incidence is still very rare. Appropriate management and survival depend on distinguishing between dual primary tumours from metastatic disease.

CONCLUSION

Multidisciplinary approach is very crucial for diagnosis and management such rare cases.

摘要

引言

多原发性恶性肿瘤(MPM)可能位于一个器官或多个不同器官。根据两种恶性肿瘤之间的时间间隔,它们被分为同时性和异时性。多种风险因素可归因于第二原发性恶性肿瘤的发生。

病例介绍

作者报告了一例51岁男性肾细胞癌患者。在对他进行评估期间,他似乎有一个肺部肿块,结果显示为类癌肿瘤。由于该患者患有两种原发性恶性肿瘤,因此根据每种肿瘤的治疗方案对他进行了处理。

讨论

尽管在过去十年中MPM的报告越来越多,但总体发病率仍然非常低。恰当的处理和生存情况取决于区分双原发性肿瘤与转移性疾病。

结论

多学科方法对于诊断和处理此类罕见病例非常关键。

https://cdn.ncbi.nlm.nih.gov/pmc/blobs/3230/10990380/d6773dc127e2/ms9-86-2230-g001.jpg

文献AI研究员

20分钟写一篇综述,助力文献阅读效率提升50倍。

立即体验

用中文搜PubMed

大模型驱动的PubMed中文搜索引擎

马上搜索

文档翻译

学术文献翻译模型,支持多种主流文档格式。

立即体验