Ramot Yuval, Kronfeld Noam, Steiner Michal, Manassa Nora Nseir, Bahar Amir, Nyska Abraham
Department of Dermatology, Hadassah Medical Center, PO Box 12000, Jerusalem, 9112001, Israel.
The Faculty of Medicine, Hebrew University of Jerusalem, PO Box 12272, Jerusalem, 9112001, Israel.
J Toxicol Pathol. 2024 Apr;37(2):83-91. doi: 10.1293/tox.2023-0121. Epub 2024 Feb 12.
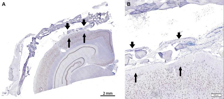
In neurosurgical interventions, effective closure of the dura mater is essential to prevent cerebrospinal fluid leakage and minimize post-operative complications. Biodegradable synthetic materials have the potential to be used as dura mater grafts owing to their regenerative properties and low immunogenicity. This study evaluated the safety of ArtiFascia, a synthetic dura mater graft composed of poly(l-lactic-co-caprolactone acid) and poly(d-lactic-co-caprolactone acid), in a rabbit durotomy model. Previously, ArtiFascia demonstrated positive local tolerance and biodegradability in a 12-month preclinical trial. Here, specialized stains were used to evaluate potential brain damage associated with ArtiFascia use. Histochemical and immunohistochemical assessments included Luxol Fast Blue, cresyl Violet, Masson's Trichrome, neuronal nuclei,, Glial Fibrillary Acidic Protein, and ionized calcium-binding adaptor molecule 1 stains. The stained slides were graded based on the brain-specific reactions. The results showed no damage to the underlying brain tissue for either the ArtiFascia or control implants. Neither inflammation nor neuronal loss was evident, corroborating the safety of the ArtiFascia. This approach, combined with previous histopathological analyses, strengthens the safety profile of ArtiFascia and sets a benchmark for biodegradable material assessment in dura graft applications. This study aligns with the Food and Drug Administration guidelines and offers a comprehensive evaluation of the potential neural tissue effects of synthetic dura mater grafts.
在神经外科手术中,有效闭合硬脑膜对于预防脑脊液漏和减少术后并发症至关重要。可生物降解的合成材料因其再生特性和低免疫原性而有潜力用作硬脑膜移植物。本研究在兔硬脑膜切开模型中评估了一种由聚(L-乳酸-共-己内酯酸)和聚(D-乳酸-共-己内酯酸)组成的合成硬脑膜移植物ArtiFascia的安全性。此前,ArtiFascia在一项为期12个月的临床前试验中显示出良好的局部耐受性和生物降解性。在此,使用特殊染色来评估与使用ArtiFascia相关的潜在脑损伤。组织化学和免疫组织化学评估包括Luxol Fast Blue、甲酚紫、Masson三色染色、神经元核、胶质纤维酸性蛋白和离子钙结合衔接分子1染色。根据脑特异性反应对染色切片进行分级。结果显示,ArtiFascia移植物和对照移植物对其下方的脑组织均无损伤。既没有明显的炎症也没有神经元丢失,这证实了ArtiFascia的安全性。这种方法与先前的组织病理学分析相结合,加强了ArtiFascia的安全性概况,并为硬脑膜移植物应用中可生物降解材料的评估设定了基准。本研究符合美国食品药品监督管理局的指导方针,并对合成硬脑膜移植物的潜在神经组织效应进行了全面评估。