Suppr超能文献

儿童急性坏死性脑病1例罕见病例报告

A Rare Case of Acute Necrotizing Encephalopathy of Childhood: A Case Report.

作者信息

Bothara Kushal K, Dhande Aryaman, M Suhas, Kirdat Patil Prajakta

机构信息

Radiodiagnosis, Dr. D. Y. Patil Medical College, Hospital & Research Centre, Dr. D. Y. Patil Vidyapeeth, Pune, IND.

出版信息

Cureus. 2024 Mar 8;16(3):e55780. doi: 10.7759/cureus.55780. eCollection 2024 Mar.

Abstract

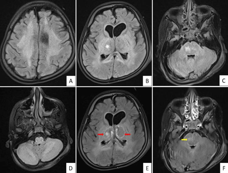
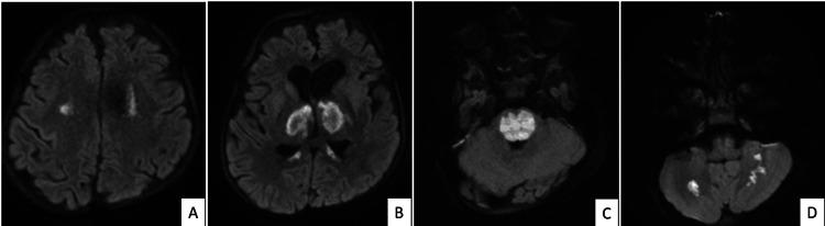
Acute necrotizing encephalopathy of childhood (ANEC) is a severe neurological disorder characterized by rapid-onset encephalopathy, often associated with viral infections. Acute necrotizing encephalopathy of childhood is associated with a very high mortality rate, and survivors may face long-term neurological sequelae. Acute necrotizing encephalopathy of childhood needs to be differentiated from its closest differential diagnosis, acute disseminated encephalomyelitis (ADEM). Most of the patients with ADEM recover, with a few of them having residual neurological deficits. We present a case of an eight-year-old boy with an acute history of fever, febrile seizures, and drowsiness. Magnetic resonance imaging revealed a symmetric tricolor appearance of bilateral thalamic lesions, characteristic of ANEC.

摘要

儿童急性坏死性脑病(ANEC)是一种严重的神经系统疾病,其特征为快速起病的脑病,常与病毒感染相关。儿童急性坏死性脑病的死亡率非常高,幸存者可能面临长期神经后遗症。儿童急性坏死性脑病需要与其最相近的鉴别诊断——急性播散性脑脊髓炎(ADEM)相区分。大多数ADEM患者可康复,少数患者有残留神经功能缺损。我们报告一例8岁男孩,有发热、热性惊厥及嗜睡的急性病史。磁共振成像显示双侧丘脑病变呈对称的三色外观,这是ANEC的特征表现。

https://cdn.ncbi.nlm.nih.gov/pmc/blobs/72c8/10999109/4a4198ee06bc/cureus-0016-00000055780-i01.jpg

文献AI研究员

20分钟写一篇综述,助力文献阅读效率提升50倍。

立即体验

用中文搜PubMed

大模型驱动的PubMed中文搜索引擎

马上搜索

文档翻译

学术文献翻译模型,支持多种主流文档格式。

立即体验