Suppr超能文献

儿童急性坏死性脑病(ANEC):一例报告

Acute Necrotizing Encephalopathy of Childhood (ANEC): A Case Report.

作者信息

Hassanzadeh Rad Afagh, Aminzadeh Vahid

机构信息

Pediatrics Growth Disorders Research Center, School of Medicine, 17th Shahrivar Hospital, Guilan University of Medical Sciences, Rasht, Iran.

出版信息

Iran J Child Neurol. 2017 Winter;11(1):75-77.

Abstract

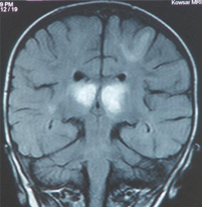
Acute Necrotizing Encephalopathy of childhood (ANEC) is a specific type of encephalopathy. After viral infection, it can be diagnosed by bilateral symmetrical lesions predominantly observed in thalami & brainstem of infants & children. Although, it is commonly occurred in Japanese and Taiwanese population. The goal of this article is to report a rare case of ANEC in a 15 months old girl infant from Thaleghani Hospital, Ramian, Gorgan, northern Iran.

摘要

儿童急性坏死性脑病(ANEC)是一种特殊类型的脑病。病毒感染后,可通过婴幼儿丘脑和脑干主要出现的双侧对称性病变进行诊断。尽管该病常见于日本和台湾地区人群。本文的目的是报告伊朗北部戈尔甘拉米安的塔莱哈尼医院一名15个月大女婴患ANEC的罕见病例。

https://cdn.ncbi.nlm.nih.gov/pmc/blobs/d5c5/5329764/90dedd205d7c/ijcn-11-075-g001.jpg

文献AI研究员

20分钟写一篇综述,助力文献阅读效率提升50倍。

立即体验

用中文搜PubMed

大模型驱动的PubMed中文搜索引擎

马上搜索

文档翻译

学术文献翻译模型,支持多种主流文档格式。

立即体验