• 文献检索
  • 文档翻译
  • 深度研究
  • 学术资讯
  • Suppr Zotero 插件Zotero 插件
  • 邀请有礼
  • 套餐&价格
  • 历史记录
应用&插件
Suppr Zotero 插件Zotero 插件浏览器插件Mac 客户端Windows 客户端微信小程序
定价
高级版会员购买积分包购买API积分包
服务
文献检索文档翻译深度研究API 文档MCP 服务
关于我们
关于 Suppr公司介绍联系我们用户协议隐私条款
关注我们

Suppr 超能文献

核心技术专利:CN118964589B侵权必究
粤ICP备2023148730 号-1Suppr @ 2026

文献检索

告别复杂PubMed语法,用中文像聊天一样搜索,搜遍4000万医学文献。AI智能推荐,让科研检索更轻松。

立即免费搜索

文件翻译

保留排版,准确专业,支持PDF/Word/PPT等文件格式,支持 12+语言互译。

免费翻译文档

深度研究

AI帮你快速写综述,25分钟生成高质量综述,智能提取关键信息,辅助科研写作。

立即免费体验

茴香(Foeniculum vulgare)和大茴香(Pimpinella anisum)精油作为麻醉剂在鲤鱼(Cyprinus carpio L. 1758)中的功效。

Efficacy of fennel (Foeniculum vulgare) and anise (Pimpinella anisum) essential oils as anaesthesics in common carp (Cyprinus carpio L. 1758).

机构信息

Egirdir Fisheries Faculty, Isparta University of Applied Sciences, Isparta, Turkey.

Yalvaç Vocational School of Technical Sciences, Isparta University of Applied Sciences, Isparta, Turkey.

出版信息

Fish Physiol Biochem. 2024 Jun;50(3):1305-1314. doi: 10.1007/s10695-024-01341-6. Epub 2024 Apr 17.

DOI:10.1007/s10695-024-01341-6
PMID:38630160
原文链接:https://pmc.ncbi.nlm.nih.gov/articles/PMC11213784/
Abstract

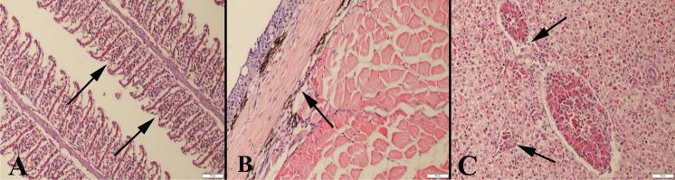
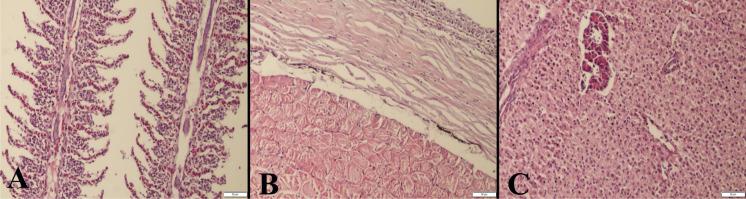
In this study, the anaesthetic effects of fennel and anise essential oils were investigated on common carp. Fish (10 ± 0.45 g) were exposed to nine concentrations of essential oils (5, 10, 20, 50, 100, 200, 300, 400 and 500 mg L). Additionally, the histopathological effects on the fish tissues including gill, skin and hepatopancreas and physiological effects on some blood parameters (Na, K, Ca, Cl, total plasma protein and glucose) of essential oils were investigated in carp. At the end of the experiment, fennel oil showed an anaesthetic effect at a concentration of 500 mg L in carp (anaesthesia induction and recovery times were 308 and 472 s, respectively). Anise essential oil showed deep anaesthesia at a concentration of 100 mg L, but anaesthesia induction time was found to be very long (20 min). In addition, anise oil at concentrations above 100 mg L caused 10% mortality in fish. Blood parameters except glucose level in both essential oils were unchanged during deep anaesthesia in carp. However, plasma glucose levels were found lower in fish anaesthetized with anise oil than control and fennel groups (P < 0.05). At the histopathological examination, no pathological findings were observed in any organ of fish in the fennel group. However, severe hyperemia and inflammatory cell infiltrations in gills, erosive lesions in the skin and slight inflammatory reactions in the skin were observed in the anise group. The present study demonstrated that fennel essential oil at 500 mg L concentration can be used as an effective and safe anaesthetic in common carp, but anise essential oil is not suitable.

摘要

在这项研究中,研究了茴香和大茴香精油对鲤鱼的麻醉效果。将鱼(10±0.45g)暴露于九种精油浓度(5、10、20、50、100、200、300、400 和 500mg/L)下。此外,还研究了精油对鱼组织(包括鳃、皮肤和肝胰腺)的组织学影响以及对一些血液参数(Na、K、Ca、Cl、总血浆蛋白和葡萄糖)的生理影响。实验结束时,在鲤鱼中,茴香油在 500mg/L 浓度下表现出麻醉效果(麻醉诱导和恢复时间分别为 308 和 472s)。大茴香精油在 100mg/L 浓度下表现出深度麻醉,但麻醉诱导时间非常长(20 分钟)。此外,在浓度高于 100mg/L 的大茴香油会导致鱼的死亡率达到 10%。在深度麻醉期间,两种精油中的血液参数除葡萄糖水平外均保持不变。然而,与对照组和茴香组相比,用大茴香油麻醉的鱼的血浆葡萄糖水平较低(P<0.05)。在组织病理学检查中,茴香组鱼的任何器官均未观察到病理发现。然而,在大茴香组中,观察到鳃严重充血和炎性细胞浸润、皮肤侵蚀性病变以及皮肤轻微炎症反应。本研究表明,茴香精油在 500mg/L 浓度下可作为鲤鱼的有效和安全麻醉剂,但大茴香精油不适用。

https://cdn.ncbi.nlm.nih.gov/pmc/blobs/119b/11213784/36fae5f336c9/10695_2024_1341_Fig4_HTML.jpg
https://cdn.ncbi.nlm.nih.gov/pmc/blobs/119b/11213784/9bcf8f3f0950/10695_2024_1341_Fig1_HTML.jpg
https://cdn.ncbi.nlm.nih.gov/pmc/blobs/119b/11213784/20395d33bd2e/10695_2024_1341_Fig2_HTML.jpg
https://cdn.ncbi.nlm.nih.gov/pmc/blobs/119b/11213784/73a37f28cfb3/10695_2024_1341_Fig3_HTML.jpg
https://cdn.ncbi.nlm.nih.gov/pmc/blobs/119b/11213784/36fae5f336c9/10695_2024_1341_Fig4_HTML.jpg
https://cdn.ncbi.nlm.nih.gov/pmc/blobs/119b/11213784/9bcf8f3f0950/10695_2024_1341_Fig1_HTML.jpg
https://cdn.ncbi.nlm.nih.gov/pmc/blobs/119b/11213784/20395d33bd2e/10695_2024_1341_Fig2_HTML.jpg
https://cdn.ncbi.nlm.nih.gov/pmc/blobs/119b/11213784/73a37f28cfb3/10695_2024_1341_Fig3_HTML.jpg
https://cdn.ncbi.nlm.nih.gov/pmc/blobs/119b/11213784/36fae5f336c9/10695_2024_1341_Fig4_HTML.jpg

相似文献

1
Efficacy of fennel (Foeniculum vulgare) and anise (Pimpinella anisum) essential oils as anaesthesics in common carp (Cyprinus carpio L. 1758).茴香(Foeniculum vulgare)和大茴香(Pimpinella anisum)精油作为麻醉剂在鲤鱼(Cyprinus carpio L. 1758)中的功效。
Fish Physiol Biochem. 2024 Jun;50(3):1305-1314. doi: 10.1007/s10695-024-01341-6. Epub 2024 Apr 17.
2
Ameliorative effect of Fennel (Foeniculum vulgare) essential oil on chlorpyrifos toxicity in Cyprinus carpio.小茴香精油对毒死蜱毒性在鲤鱼体内的改善作用。
Environ Sci Pollut Res Int. 2021 Jan;28(1):890-897. doi: 10.1007/s11356-020-10542-4. Epub 2020 Aug 21.
3
Chemical composition and biological activities of essential oils of seven Cultivated Apiaceae species.七种栽培伞形科植物精油的化学成分和生物活性。
Sci Rep. 2024 May 2;14(1):10052. doi: 10.1038/s41598-024-60810-3.
4
Dietary Origanum vulgare essential oil attenuates cypermethrin-induced biochemical changes, oxidative stress, histopathological alterations, apoptosis, and reduces DNA damage in Common carp (Cyprinus carpio).日粮牛至精油可减轻氯氰菊酯诱导的鲤鱼生化变化、氧化应激、组织病理学改变、细胞凋亡,并降低 DNA 损伤。
Aquat Toxicol. 2020 Nov;228:105624. doi: 10.1016/j.aquatox.2020.105624. Epub 2020 Sep 6.
5
Cananga odorata L., Illicium verum, and Foeniculum vulgare essential oils impair the reproduction of the cattle tick Rhipicephalus microplus (Acari: Ixodidae).香茅、八角茴香和茴香精油可损害牛蜱(蜱螨目:硬蜱科)的繁殖。
Vet Parasitol. 2024 Jul;329:110208. doi: 10.1016/j.vetpar.2024.110208. Epub 2024 May 14.
6
Anesthetic activity of plant essential oils on Cyprinus carpio (koi carp).
Drug Discov Ther. 2018 Mar 19;12(1):21-30. doi: 10.5582/ddt.2017.01068. Epub 2018 Feb 25.
7
The Protective Role of Anise Oil in Oxidative Stress and Genotoxicity Produced in Favism.茴芹油在蚕豆病中产生的氧化应激和遗传毒性中的保护作用。
J Diet Suppl. 2016;13(5):505-21. doi: 10.3109/19390211.2015.1119775. Epub 2016 Jan 8.
8
Chemical composition and antioxidant potential of essential oil and methanol extract from Tunisian and French fennel (Foeniculum vulgare Mill.) seeds.香芹籽精油和甲醇提取物的化学成分和抗氧化活性:来自突尼斯和法国的茴香(Foeniculum vulgare Mill.)种子。
J Food Biochem. 2019 Aug;43(8):e12935. doi: 10.1111/jfbc.12935. Epub 2019 May 31.
9
Foeniculum Vulgare and Pelargonium Graveolens Essential Oil Mixture Triggers the Cell Cycle Arrest and Apoptosis in MCF-7 Cells.甜茴香和香叶天竺葵精油混合物可诱导 MCF-7 细胞的细胞周期停滞和凋亡。
Anticancer Agents Med Chem. 2019;19(9):1103-1113. doi: 10.2174/1573399815666190326115116.
10
[Isolation and identification of flavon(ol)-O-glycosides in caraway (Carum carvi L.), fennel (Foeniculum vulgare Mill.), anise (Pimpinella anisum L.), and coriander (Coriandrum sativum L.), and of flavon-C-glycosides in anise. I. Phenolics of spices (author's transl)].葛缕子(Carum carvi L.)、茴香(Foeniculum vulgare Mill.)、茴芹(Pimpinella anisum L.)和芫荽(Coriandrum sativum L.)中黄酮(醇)-O-糖苷以及茴芹中黄酮-C-糖苷的分离与鉴定。I. 香料中的酚类物质(作者译)
Z Lebensm Unters Forsch. 1977 Jul 29;164(3):194-200. doi: 10.1007/BF01263030.

引用本文的文献

1
Effects of Dietary Anise (Pimpinella anisum L.) Oil on Growth Performance, Blood Parameters and Muscle Nutrient Content of Nile Tilapia (Oreochromis niloticus).日粮茴芹(茴芹属)油对尼罗罗非鱼(尼罗罗非鱼)生长性能、血液参数和肌肉营养成分的影响。
Vet Med Sci. 2025 Jul;11(4):e70443. doi: 10.1002/vms3.70443.

本文引用的文献

1
Eugenol and Lippia alba essential oils as effective anesthetics for the Amazonian freshwater stingray Potamotrygon wallacei (Chondrichthyes, Potamotrygonidae).丁香油和白千层精油作为亚马逊淡水黄貂鱼(软骨鱼纲,黄貂鱼科)的有效麻醉剂。
Fish Physiol Biochem. 2021 Dec;47(6):2101-2120. doi: 10.1007/s10695-021-01029-1. Epub 2021 Nov 22.
2
Anesthetic Efficiency of Three Medicinal Plant Oils for Aquatic Species: Coriander Coriandrum sativum, Linaloe Tree Bursera delpechiana, and Lavender Lavandula hybrida.三种药用植物油对水生生物的麻醉效果:芫荽(Coriandrum sativum)、利纳洛依树(Bursera delpechiana)和薰衣草(Lavandula hybrida)
J Aquat Anim Health. 2019 Sep;31(3):266-273. doi: 10.1002/aah.10081. Epub 2019 Sep 12.
3
Anaesthetics and analgesics used in adult fish for research: A review.用于成年鱼类研究的麻醉剂和镇痛剂:综述。
Lab Anim. 2019 Aug;53(4):325-341. doi: 10.1177/0023677218815199. Epub 2018 Dec 4.
4
Anesthetic activity of plant essential oils on Cyprinus carpio (koi carp).
Drug Discov Ther. 2018 Mar 19;12(1):21-30. doi: 10.5582/ddt.2017.01068. Epub 2018 Feb 25.
5
Effect of blood glucose level on acute stress response of grass carp Ctenopharyngodon idella.血糖水平对草鱼(Ctenopharyngodon idella)急性应激反应的影响。
Fish Physiol Biochem. 2017 Oct;43(5):1433-1442. doi: 10.1007/s10695-017-0383-y. Epub 2017 Jun 6.
6
Fish anesthesia: effects of the essential oils of Hesperozygis ringens and Lippia alba on the biochemistry and physiology of silver catfish (Rhamdia quelen).鱼类麻醉:刺蕊草属植物环叶刺蕊草和白香蜂草的精油对银鲶(奎氏真鮰)生物化学和生理学的影响
Fish Physiol Biochem. 2014 Jun;40(3):701-14. doi: 10.1007/s10695-013-9877-4. Epub 2013 Oct 20.
7
Chemical composition, antimicrobial and antioxidant activities of anethole-rich oil from leaves of selected varieties of fennel [Foeniculum vulgare Mill. ssp. vulgare var. azoricum (Mill.) Thell].富含茴香脑的油的化学成分、抗菌和抗氧化活性,来自所选茴香品种(Foeniculum vulgare Mill. ssp. vulgare var. azoricum (Mill.) Thell)的叶子。
Fitoterapia. 2013 Oct;90:214-9. doi: 10.1016/j.fitote.2013.07.021. Epub 2013 Aug 9.
8
Inhibitory effect of anethole in nonimmune acute inflammation.茴芹素在非免疫性急性炎症中的抑制作用。
Naunyn Schmiedebergs Arch Pharmacol. 2013 Apr;386(4):331-8. doi: 10.1007/s00210-012-0820-5. Epub 2012 Dec 19.
9
The endocrinology of stress in fish: an environmental perspective.鱼类应激的内分泌学:环境视角
Gen Comp Endocrinol. 2011 Jan 15;170(2):265-75. doi: 10.1016/j.ygcen.2010.07.017. Epub 2010 Aug 3.
10
Essential oil composition of Pimpinella anisum L. fruits from various European countries.来自欧洲不同国家的茴芹果实的精油成分
Nat Prod Res. 2008 Feb 15;22(3):227-32. doi: 10.1080/14786410701424667.