Suppr超能文献

N-乙酰半胱氨酸对环磷酰胺诱导脱发小鼠模型中毛囊变化的影响:组织学和生化研究。

Effect of N-acetylcysteine on hair follicle changes in mouse model of cyclophosphamide-induced alopecia: histological and biochemical study.

机构信息

Medical Histology and Cell Biology Department, Faculty of Medicine, Mansoura University, Mansoura, Egypt.

出版信息

Histochem Cell Biol. 2024 Jun;161(6):477-491. doi: 10.1007/s00418-024-02282-0. Epub 2024 Apr 20.

Abstract

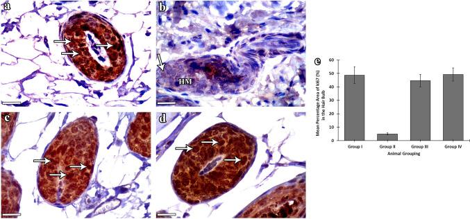
Chemotherapy-induced alopecia (CIA) represents one of the most severe side effects of chemotherapy, which forces some patients to reject cancer treatment. The exact pathophysiological mechanisms of CIA are not clearly understood, which makes it difficult to discover efficient preventive or therapeutic procedures for this adverse effect. N-acetylcysteine (NAC) has a strong antioxidant activity as it stimulates glutathione synthesis and acts as an oxygen radical scavenger. The current study tried to investigate the efficacy of NAC in preserving biochemical parameters and hair follicle structure against cyclophosphamide (CYP) administration. In total, 40 adult female C57BL/6 mice were induced to enter anagen by depilation (day 0) and divided into four groups: group I (control), group II (CYP) received a single dose of CYP [150 mg/kg body weight (B.W.)/intraperitoneal injection (IP)] at day 9, group III (CYP & NAC) received a single dose of CYP at day 9 as well as NAC (500 mg/kg B.W./day/IP) from day 6-16, and group IV (NAC) received NAC from day 6-16. CYP administration in group II induced an increase in malondialdehyde (MDA), decrease in superoxide dismutase (SOD), histological hair follicle dystrophy, disruption of follicular melanogenesis, overexpression of p53, and loss of ki67 immunoreactivity. NAC coadministration in group III reversed CYP-induced alterations in the biochemical parameters and preserved hair follicle structure, typical follicular melanin distribution as well as normal pattern of p53 and ki67 expression. These findings indicated that NAC could be used as an efficient and safe therapeutic option for hair loss induced by chemotherapy.

摘要

化疗引起的脱发(CIA)是化疗最严重的副作用之一,迫使一些患者拒绝癌症治疗。CIA 的确切病理生理机制尚不清楚,因此难以发现针对这种不良反应的有效预防或治疗措施。N-乙酰半胱氨酸(NAC)具有很强的抗氧化活性,因为它刺激谷胱甘肽合成并作为氧自由基清除剂。本研究试图探讨 NAC 对保存生物化学参数和毛发生长结构对抗环磷酰胺(CYP)给药的功效。总共 40 只成年雌性 C57BL/6 小鼠通过脱毛(第 0 天)诱导进入生长期,并分为四组:第 I 组(对照组)、第 II 组(CYP)在第 9 天接受单次 CYP 剂量[150mg/kg 体重(BW)/腹腔注射(IP)]、第 III 组(CYP 和 NAC)在第 9 天接受单次 CYP 剂量以及从第 6-16 天每天接受 NAC(500mg/kg BW/天/IP)、第 IV 组(NAC)从第 6-16 天接受 NAC。第 II 组 CYP 给药导致丙二醛(MDA)增加,超氧化物歧化酶(SOD)减少,组织学毛囊发育不良,滤泡黑色素生成中断,p53 过度表达,ki67 免疫反应性丧失。第 III 组 NAC 共给药逆转了 CYP 诱导的生化参数改变,并保存了毛囊结构、典型的滤泡黑色素分布以及 p53 和 ki67 表达的正常模式。这些发现表明 NAC 可用作化疗引起的脱发的有效和安全治疗选择。

https://cdn.ncbi.nlm.nih.gov/pmc/blobs/ffe5/11162382/e96a0c4e7cfe/418_2024_2282_Fig1_HTML.jpg

文献AI研究员

20分钟写一篇综述,助力文献阅读效率提升50倍。

立即体验

用中文搜PubMed

大模型驱动的PubMed中文搜索引擎

马上搜索

文档翻译

学术文献翻译模型,支持多种主流文档格式。

立即体验