Suppr超能文献

一种用于全身摄影注释的协议,用于机器学习以分析皮肤表型和病变分类。

A protocol for annotation of total body photography for machine learning to analyze skin phenotype and lesion classification.

作者信息

Primiero Clare A, Betz-Stablein Brigid, Ascott Nathan, D'Alessandro Brian, Gaborit Seraphin, Fricker Paul, Goldsteen Abigail, González-Villà Sandra, Lee Katie, Nazari Sana, Nguyen Hang, Ntouskos Valsamis, Pahde Frederik, Pataki Balázs E, Quintana Josep, Puig Susana, Rezze Gisele G, Garcia Rafael, Soyer H Peter, Malvehy Josep

机构信息

Dermatology Department, Hospital Clinic and Fundació Clínic per la Recerca Biomèdica-IDIBAPS, Barcelona, Spain.

Frazer Institute, The University of Queensland, Dermatology Research Centre, Brisbane, QLD, Australia.

出版信息

Front Med (Lausanne). 2024 Apr 9;11:1380984. doi: 10.3389/fmed.2024.1380984. eCollection 2024.

Abstract

INTRODUCTION

Artificial Intelligence (AI) has proven effective in classifying skin cancers using dermoscopy images. In experimental settings, algorithms have outperformed expert dermatologists in classifying melanoma and keratinocyte cancers. However, clinical application is limited when algorithms are presented with 'untrained' or out-of-distribution lesion categories, often misclassifying benign lesions as malignant, or misclassifying malignant lesions as benign. Another limitation often raised is the lack of clinical context (e.g., medical history) used as input for the AI decision process. The increasing use of Total Body Photography (TBP) in clinical examinations presents new opportunities for AI to perform holistic analysis of the whole patient, rather than a single lesion. Currently there is a lack of existing literature or standards for image annotation of TBP, or on preserving patient privacy during the machine learning process.

METHODS

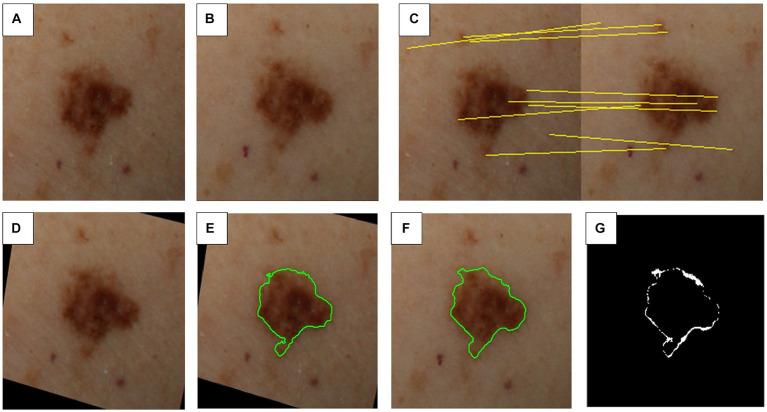
This protocol describes the methods for the acquisition of patient data, including TBP, medical history, and genetic risk factors, to create a comprehensive dataset for machine learning. 500 patients of various risk profiles will be recruited from two clinical sites (Australia and Spain), to undergo temporal total body imaging, complete surveys on sun behaviors and medical history, and provide a DNA sample. This patient-level metadata is applied to image datasets using DICOM labels. Anonymization and masking methods are applied to preserve patient privacy. A two-step annotation process is followed to label skin images for lesion detection and classification using deep learning models. Skin phenotype characteristics are extracted from images, including innate and facultative skin color, nevi distribution, and UV damage. Several algorithms will be developed relating to skin lesion detection, segmentation and classification, 3D mapping, change detection, and risk profiling. Simultaneously, explainable AI (XAI) methods will be incorporated to foster clinician and patient trust. Additionally, a publicly released dataset of anonymized annotated TBP images will be released for an international challenge to advance the development of new algorithms using this type of data.

CONCLUSION

The anticipated results from this protocol are validated AI-based tools to provide holistic risk assessment for individual lesions, and risk stratification of patients to assist clinicians in monitoring for skin cancer.

摘要

引言

人工智能(AI)已被证明在使用皮肤镜图像对皮肤癌进行分类方面是有效的。在实验环境中,算法在对黑色素瘤和角质形成细胞癌进行分类时表现优于皮肤科专家。然而,当算法面对“未训练的”或分布外的病变类别时,临床应用受到限制,常常将良性病变误分类为恶性,或将恶性病变误分类为良性。另一个经常被提及的限制是缺乏作为人工智能决策过程输入的临床背景信息(如病史)。全身摄影(TBP)在临床检查中的使用日益增加,为人工智能对整个患者而非单个病变进行全面分析提供了新机会。目前,缺乏关于TBP图像标注或在机器学习过程中保护患者隐私的现有文献或标准。

方法

本方案描述了获取患者数据的方法,包括TBP、病史和遗传风险因素,以创建用于机器学习的综合数据集。将从两个临床地点(澳大利亚和西班牙)招募500名具有不同风险特征的患者,进行定期全身成像,完成关于日晒行为和病史的调查,并提供DNA样本。使用DICOM标签将这种患者级元数据应用于图像数据集。应用匿名化和掩码方法来保护患者隐私。采用两步标注过程,使用深度学习模型对皮肤图像进行病变检测和分类标注。从图像中提取皮肤表型特征,包括先天性和适应性肤色、痣分布以及紫外线损伤。将开发几种与皮肤病变检测、分割和分类、三维映射、变化检测以及风险评估相关的算法。同时,将纳入可解释人工智能(XAI)方法以增强临床医生和患者的信任。此外,将发布一个公开的匿名标注TBP图像数据集,用于国际挑战赛,以推动使用此类数据开发新算法。

结论

本方案预期的结果是经过验证的基于人工智能的工具,可为个体病变提供全面风险评估,并对患者进行风险分层,以协助临床医生监测皮肤癌。

https://cdn.ncbi.nlm.nih.gov/pmc/blobs/2943/11035726/749ba7c9b220/fmed-11-1380984-g001.jpg

文献AI研究员

20分钟写一篇综述,助力文献阅读效率提升50倍。

立即体验

用中文搜PubMed

大模型驱动的PubMed中文搜索引擎

马上搜索

文档翻译

学术文献翻译模型,支持多种主流文档格式。

立即体验