Suppr超能文献

用于临床应用的全厚度去细胞冻干人胎盘膜的特性描述。

Characterization of a full-thickness decellularized and lyophilized human placental membrane for clinical applications.

机构信息

Global Scientific Affairs and Clinical Engagement, LifeNet Health®, Virginia Beach, Virginia, USA.

Institute of Regenerative Medicine, LifeNet Health, Virginia Beach, Virginia, USA.

出版信息

Int Wound J. 2024 May;21(5):e14888. doi: 10.1111/iwj.14888.

Abstract

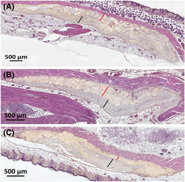
Allografts derived from live-birth tissue obtained with donor consent have emerged as an important treatment option for wound and soft tissue repairs. Placental membrane derived from the amniotic sac consists of the amnion and chorion, the latter of which contains the trophoblast layer. For ease of cleaning and processing, these layers are often separated with or without re-lamination and the trophoblast layer is typically discarded, both of which can negatively affect the abundance of native biological factors and make the grafts difficult to handle. Thus, a full-thickness placental membrane that includes a fully-intact decellularized trophoblast layer was developed for homologous clinical use as a protective barrier and scaffold in soft tissue repairs. Here, we demonstrate that this full-thickness placental membrane is effectively decellularized while retaining native extracellular matrix (ECM) scaffold and biological factors, including the full trophoblast layer. Following processing, it is porous, biocompatible, supports cell proliferation in vitro, and retains its biomechanical strength and the ability to pass through a cannula without visible evidence of movement or damage. Finally, it was accepted as a natural scaffold in vivo with evidence of host-cell infiltration, angiogenesis, tissue remodelling, and structural layer retention for up to 10 weeks in a murine subcutaneous implant model.

摘要

从获得供体同意的活体组织获得的同种异体移植物已成为治疗伤口和软组织修复的重要选择。胎盘膜来源于羊膜囊,由羊膜和绒毛膜组成,后者包含滋养层。为了便于清洁和处理,这些层通常在不重新层压或重新层压的情况下分离,而滋养层通常被丢弃,这两者都会对天然生物因子的丰度产生负面影响,并使移植物难以处理。因此,开发了一种全厚度胎盘膜,包括完整的去细胞化滋养层,作为同源临床应用的软组织修复中的保护屏障和支架。在这里,我们证明这种全厚度胎盘膜在保留天然细胞外基质(ECM)支架和生物因子的同时,有效地去细胞化,包括完整的滋养层。经过处理后,它具有多孔性、生物相容性,可支持体外细胞增殖,并保留其生物力学强度和通过套管的能力,而不会出现明显的移动或损坏迹象。最后,它在体内被接受为天然支架,在鼠皮下植入模型中长达 10 周的时间内,有宿主细胞浸润、血管生成、组织重塑和结构层保留的证据。

https://cdn.ncbi.nlm.nih.gov/pmc/blobs/d1bf/11058634/8075ceb80fb7/IWJ-21-e14888-g005.jpg

文献AI研究员

20分钟写一篇综述,助力文献阅读效率提升50倍。

立即体验

用中文搜PubMed

大模型驱动的PubMed中文搜索引擎

马上搜索

文档翻译

学术文献翻译模型,支持多种主流文档格式。

立即体验