Suppr超能文献

自发性冠状动脉夹层伴肺出血:一例报告

Spontaneous Coronary Artery Dissection Associated with Pulmonary Hemorrhage: A Case Report.

作者信息

Alali Rudaynah A

机构信息

Department of Internal Medicine, Cardiology Unit, King Fahd Hospital of the University, Al Khobar, Saudi Arabia.

College of Medicine, Imam Abdulrahman Bin Faisal University, Dammam 31441, Saudi Arabia.

出版信息

Saudi J Med Med Sci. 2024 Apr-Jun;12(2):194-197. doi: 10.4103/sjmms.sjmms_471_23. Epub 2024 Apr 5.

Abstract

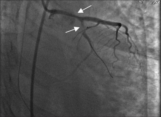
Spontaneous coronary artery dissection is becoming an important cause of acute coronary syndrome, particularly among young women. Its association with female gender, pregnancy, and postpartum period and emotional stress differentiate it from atherosclerotic heart disease. In recent years, there has been more awareness and improved diagnostic and management capabilities, which in turn has increased the diagnostic yield, although knowledge gaps remain. In the present case, a 36-year-old female, who was at 1-month postpartum period, presented with ventricular fibrillation and cardiac arrest. The clinical course was associated with pulmonary hemorrhage. The patient had no current atherosclerotic risk factors, only a family history of sudden cardiac arrest in her mother and sister. She underwent a coronary angiogram, which revealed spontaneous coronary artery dissection (SCAD) in both the left anterior descending and left circumflex artery. Percutaneous coronary intervention was performed but the clinical course was associated with pulmonary hemorrhage. Bronchopulmonary lavage was performed as a diagnostic and therapeutic intervention, and she was discharged in good health. SCAD is an important differential diagnosis in young females presenting with acute coronary syndrome or cardiac arrest. Early recognition and diagnosis are important to decrease the high mortality rate of this disease.

摘要

自发性冠状动脉夹层正成为急性冠状动脉综合征的一个重要病因,尤其是在年轻女性中。它与女性性别、妊娠、产后时期以及情绪应激的关联使其有别于动脉粥样硬化性心脏病。近年来,人们对此病的认识有所提高,诊断和管理能力也有所改善,这反过来提高了诊断率,尽管仍存在知识空白。在本病例中,一名36岁处于产后1个月的女性出现心室颤动和心脏骤停。临床过程伴有肺出血。该患者目前没有动脉粥样硬化危险因素,仅有其母亲和姐姐有心脏骤停家族史。她接受了冠状动脉造影,结果显示左前降支和左旋支均有自发性冠状动脉夹层(SCAD)。进行了经皮冠状动脉介入治疗,但临床过程伴有肺出血。进行了支气管肺灌洗作为诊断和治疗干预,她最终健康出院。SCAD是年轻女性出现急性冠状动脉综合征或心脏骤停时的一个重要鉴别诊断。早期识别和诊断对于降低该病的高死亡率很重要。

https://cdn.ncbi.nlm.nih.gov/pmc/blobs/9a0e/11098270/c89e6162a31d/SJMMS-12-194-g001.jpg

文献检索

告别复杂PubMed语法,用中文像聊天一样搜索,搜遍4000万医学文献。AI智能推荐,让科研检索更轻松。

立即免费搜索

文件翻译

保留排版,准确专业,支持PDF/Word/PPT等文件格式,支持 12+语言互译。

免费翻译文档

深度研究

AI帮你快速写综述,25分钟生成高质量综述,智能提取关键信息,辅助科研写作。

立即免费体验