Suppr超能文献

一名年轻成年人的双侧肾梗死:揭开自身免疫之谜。

Bilateral Renal Infarct in a Young Adult: Unveiling an Autoimmune Enigma.

作者信息

Gaffar Sheima, Dhayalan Dhayanithi, Li Han, Doraiswamy Mohankumar, Baskaran Naveen

机构信息

Internal Medicine, Sree Mookambika Institute of Medical Sciences, Kulasekharam, IND.

Nephrology, Kaweah Health Medical Center, Visalia, USA.

出版信息

Cureus. 2024 Apr 26;16(4):e59095. doi: 10.7759/cureus.59095. eCollection 2024 Apr.

Abstract

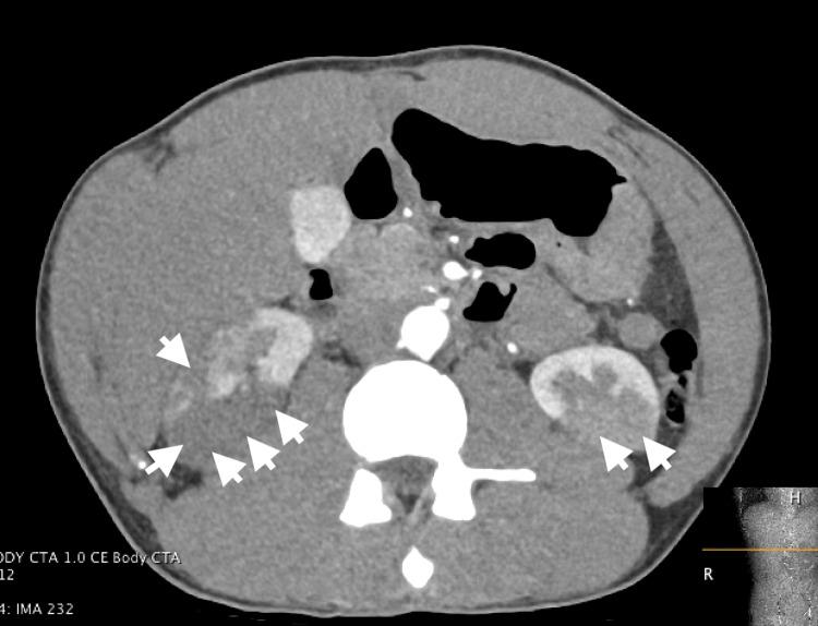
A man in his late 20s presented to the emergency department with sudden-onset abdominal pain. Urinalysis was significant for hematuria and slightly elevated creatinine. A computed tomography (CT) scan with IV contrast revealed bilateral renal infarcts, which was corroborated by a computed tomography angiogram (CTA). Further evaluation by an autoimmune panel demonstrated a positive antinuclear antibody, while echocardiography showed left ventricular non-compaction cardiomyopathy. The workup included consultations with multiple specialities and additional investigations to assess hypercoagulability, vasculitis, and infectious etiologies. Following supportive care, the patient was discharged in stable condition with a plan for outpatient follow-up and further workup, including screening of first-degree family members for left ventricular non-compaction and associated cardiovascular risks. Here we describe a report of a rare case of bilateral renal infarct of possible thromboembolic etiology due to an underlying rare genetic cardiovascular condition.

摘要

一名28岁左右的男性因突发腹痛被送往急诊科。尿液分析显示有血尿且肌酐略有升高。静脉注射造影剂的计算机断层扫描(CT)显示双侧肾梗死,计算机断层血管造影(CTA)证实了这一结果。自身免疫检查进一步评估显示抗核抗体呈阳性,而超声心动图显示左心室心肌致密化不全。检查包括与多个专科会诊以及进行额外检查以评估高凝状态、血管炎和感染病因。经过支持治疗,患者病情稳定出院,计划进行门诊随访和进一步检查,包括对一级家庭成员进行左心室心肌致密化不全及相关心血管风险的筛查。在此,我们报告一例罕见病例,其双侧肾梗死可能由潜在的罕见遗传性心血管疾病导致血栓栓塞病因引起。

https://cdn.ncbi.nlm.nih.gov/pmc/blobs/cc88/11128336/b4854e034b25/cureus-0016-00000059095-i01.jpg

文献AI研究员

20分钟写一篇综述,助力文献阅读效率提升50倍。

立即体验

用中文搜PubMed

大模型驱动的PubMed中文搜索引擎

马上搜索

文档翻译

学术文献翻译模型,支持多种主流文档格式。

立即体验