Suppr超能文献

一种新发现的病原体——大鼠纤毛相关呼吸道杆菌(慢性呼吸道疾病的病原体)的分离、增殖及特性研究

Isolation, propagation, and characterization of a newly recognized pathogen, cilia-associated respiratory bacillus of rats, an etiological agent of chronic respiratory disease.

作者信息

Ganaway J R, Spencer T H, Moore T D, Allen A M

出版信息

Infect Immun. 1985 Feb;47(2):472-9. doi: 10.1128/iai.47.2.472-479.1985.

Abstract

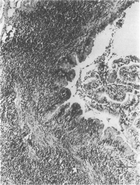
A Gram-negative, filamentous, rod-shaped bacillus which failed to grow in cell-free media was isolated in apparently pure culture from the bronchial scraping and washing of a laboratory rat suffering from chronic respiratory disease by inoculating embryonated chicken eggs via the allantoic route. None of the embryos died during 20 serial passages at weekly intervals. The bacillus was reisolated in embryonated eggs from cesarean-derived barrier-maintained N:SD(SD) rats 8 and 12 weeks after intranasal inoculation with 10th-passage allantoic fluid. The inoculated rats were housed in Horsfall-type units and remained free from other known respiratory pathogens, including mycoplasmas and murine viruses, throughout the study. The bacillus colonized the ciliated epithelial cells of the respiratory tract and caused a marked peribronchial infiltration and hyperplasia of mononuclear cells which progressed with time. The bacillus, ca. 0.2 micron wide by 4 to 6 micron long, stained very poorly with basic aniline dyes but was readily demonstrated with the Warthin-Starry silver technique. It was heat labile (56 degrees C for 30 min); spore forms were not observed. It withstood freeze-thawing and was successfully stored at -70 degrees C. Although no visible means of locomotion was observed with the electron microscope, a slow gliding motility, sometimes with bending and flexing of bacilli apparently adherent to the glass surface, was observed with phase microscopy. As an etiological agent of chronic respiratory disease of rats, this cilia-associated respiratory bacillus (tentatively designated the CAR bacillus) may be the first recognized gliding bacterium known to cause disease in a warm-blooded vertebrate.

摘要

从一只患有慢性呼吸道疾病的实验大鼠的支气管刮片和冲洗液中,通过尿囊途径接种鸡胚,分离出一种革兰氏阴性、丝状、杆状的杆菌,该杆菌在无细胞培养基中无法生长,且分离得到的培养物显然是纯培养物。在每周一次的连续20次传代过程中,没有胚胎死亡。在用第10代尿囊液经鼻接种后8周和12周,从剖宫产来源的屏障维持的N:SD(SD)大鼠的鸡胚中重新分离出该杆菌。在整个研究过程中,接种的大鼠饲养在霍斯福尔型饲养单元中,未感染包括支原体和鼠病毒在内的其他已知呼吸道病原体。该杆菌定殖于呼吸道的纤毛上皮细胞,并随着时间的推移导致明显的支气管周围单核细胞浸润和增生。该杆菌宽约0.2微米,长4至6微米,用碱性苯胺染料染色很差,但用沃辛-斯塔里银染色技术很容易显示出来。它对热不稳定(56℃30分钟);未观察到芽孢形成。它能耐受冻融,并成功保存在-70℃。虽然在电子显微镜下未观察到明显的运动方式,但在相差显微镜下观察到一种缓慢的滑行运动,有时杆菌会弯曲和屈曲,显然附着在玻璃表面。作为大鼠慢性呼吸道疾病的病原体,这种与纤毛相关的呼吸道杆菌(暂定为CAR杆菌)可能是已知的第一种能在温血脊椎动物中致病的滑行细菌。

https://cdn.ncbi.nlm.nih.gov/pmc/blobs/37d5/263194/ecf970435c3d/iai00119-0138-a.jpg

相似文献

3
Pathology of rats intranasally inoculated with the cilia-associated respiratory bacillus.
Lab Anim. 1989 Apr;23(2):89-95. doi: 10.1258/002367789780863600.
4
Pathogenicity of cilia-associated respiratory (CAR) bacillus isolates for F344, LEW, and SD rats.
Vet Pathol. 1997 Jul;34(4):263-70. doi: 10.1177/030098589703400401.
5
Cilia-associated respiratory (CAR) bacillus infection of obese mice.
Vet Pathol. 1988 Jan;25(1):72-6. doi: 10.1177/030098588802500110.
6
Cilia-associated respiratory bacillus in wild rats in central Iowa.
J Wildl Dis. 1993 Jan;29(1):123-6. doi: 10.7589/0090-3558-29.1.123.
7
Pathogenicities of two CAR bacillus strains in mice and rats.
Jikken Dobutsu. 1988 Oct;37(4):447-53. doi: 10.1538/expanim1978.37.4_447.
8
Naturally occurring CAR bacillus infection in a laboratory rat colony and epizootiological observations.
Jikken Dobutsu. 1987 Oct;36(4):387-93. doi: 10.1538/expanim1978.36.4_387.
10
Cilia-associated respiratory bacillus infection in laboratory rats with chronic respiratory disease.
Aust Vet J. 1994 Oct;71(10):350-1. doi: 10.1111/j.1751-0813.1994.tb00920.x.

引用本文的文献

1
Respiratory dysbiosis in cats with spontaneous allergic asthma.
Front Vet Sci. 2022 Sep 8;9:930385. doi: 10.3389/fvets.2022.930385. eCollection 2022.
2
A novel Filobacterium sp can cause chronic bronchitis in cats.
PLoS One. 2021 Jun 9;16(6):e0251968. doi: 10.1371/journal.pone.0251968. eCollection 2021.
3
Health Monitoring of Laboratory Rodent Colonies-Talking about (R)evolution.
Animals (Basel). 2021 May 14;11(5):1410. doi: 10.3390/ani11051410.
4
PCR and RT-PCR in the Diagnosis of Laboratory Animal Infections and in Health Monitoring.
J Am Assoc Lab Anim Sci. 2020 Sep 1;59(5):458-468. doi: 10.30802/AALAS-JAALAS-20-000008. Epub 2020 Jun 24.
5
Pathology of wild Norway rats in Vancouver, Canada.
J Vet Diagn Invest. 2019 Mar;31(2):184-199. doi: 10.1177/1040638719833436.
7
Antibody and cytokine responses to the cilium-associated respiratory bacillus in BALB/c and C57BL/6 mice.
Infect Immun. 2000 Sep;68(9):4961-7. doi: 10.1128/IAI.68.9.4961-4967.2000.
9
Detection of cilia-associated respiratory bacillus by PCR.
J Clin Microbiol. 1994 Aug;32(8):1930-4. doi: 10.1128/jcm.32.8.1930-1934.1994.
10

文献AI研究员

20分钟写一篇综述,助力文献阅读效率提升50倍。

立即体验

用中文搜PubMed

大模型驱动的PubMed中文搜索引擎

马上搜索

文档翻译

学术文献翻译模型,支持多种主流文档格式。

立即体验