• 文献检索
  • 文档翻译
  • 深度研究
  • 学术资讯
  • Suppr Zotero 插件Zotero 插件
  • 邀请有礼
  • 套餐&价格
  • 历史记录
应用&插件
Suppr Zotero 插件Zotero 插件浏览器插件Mac 客户端Windows 客户端微信小程序
定价
高级版会员购买积分包购买API积分包
服务
文献检索文档翻译深度研究API 文档MCP 服务
关于我们
关于 Suppr公司介绍联系我们用户协议隐私条款
关注我们

Suppr 超能文献

核心技术专利:CN118964589B侵权必究
粤ICP备2023148730 号-1Suppr @ 2026

文献检索

告别复杂PubMed语法,用中文像聊天一样搜索,搜遍4000万医学文献。AI智能推荐,让科研检索更轻松。

立即免费搜索

文件翻译

保留排版,准确专业,支持PDF/Word/PPT等文件格式,支持 12+语言互译。

免费翻译文档

深度研究

AI帮你快速写综述,25分钟生成高质量综述,智能提取关键信息,辅助科研写作。

立即免费体验

肾细胞癌的实际管理:将当前方法与骨转移治疗进展相结合。

Practical management of renal cell carcinoma: integrating current approaches with advances in bone metastasis treatment.

作者信息

Eremia Irina-Anca, Serban Bogdan, Popa Mihnea, Iancu Adela, Nica Silvia, Cirstoiu Catalin

机构信息

Carol Davila University of Medicine and Pharmacy, Bucharest, Romania.

Department of Emergency Medicine, Emergency University Hospital, Bucharest, Romania.

出版信息

EFORT Open Rev. 2024 Jun 3;9(6):488-502. doi: 10.1530/EOR-23-0178.

DOI:10.1530/EOR-23-0178
PMID:38828980
原文链接:https://pmc.ncbi.nlm.nih.gov/articles/PMC11195343/
Abstract

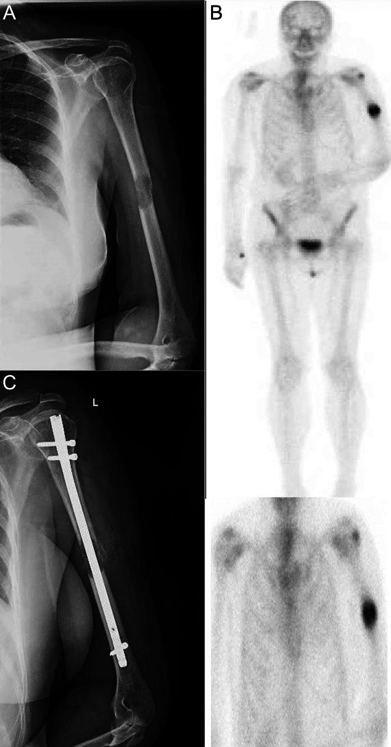
Renal cell carcinoma (RCC) is a common type of tumor that can develop in the kidney. It is responsible for around one-third of all cases of neoplasms. RCC manifests itself in a variety of distinct subtypes. The most frequent of which is clear cell RCC, followed by papillary and chromophobe RCC. RCC has the potential for metastasis to a variety of organs; nevertheless, bone metastases are one of the most common and potentially fatal complications. These bone metastases are characterized by osteolytic lesions that can result in pathological fractures, hypercalcemia, and other complications, which can ultimately lead to a deterioration in quality of life and an increase morbidity. While nephrectomy remains a foundational treatment for RCC, emerging evidence suggests that targeted therapies, including tyrosine kinase inhibitors and T cell checkpoint inhibitors, may offer effective alternatives, potentially obviating the need for adjuvant nephrectomy in certain cases of metastatic RCC Bone metastases continue to be a difficult complication of RCC, which is why more research is required to enhance patient outcome.

摘要

肾细胞癌(RCC)是一种可在肾脏发生的常见肿瘤类型。它约占所有肿瘤病例的三分之一。肾细胞癌表现为多种不同的亚型。其中最常见的是透明细胞肾细胞癌,其次是乳头状和嫌色性肾细胞癌。肾细胞癌有可能转移至多种器官;然而,骨转移是最常见且可能致命的并发症之一。这些骨转移的特征是溶骨性病变,可导致病理性骨折、高钙血症和其他并发症,最终可导致生活质量下降和发病率增加。虽然肾切除术仍然是肾细胞癌的基础治疗方法,但新出现的证据表明,包括酪氨酸激酶抑制剂和T细胞检查点抑制剂在内的靶向治疗可能提供有效的替代方案,在某些转移性肾细胞癌病例中可能无需进行辅助肾切除术。骨转移仍然是肾细胞癌的一种棘手并发症,这就是为什么需要更多研究来改善患者预后的原因。

https://cdn.ncbi.nlm.nih.gov/pmc/blobs/8e7f/11195343/dc96156ff6d6/EOR-23-0178fig6.jpg
https://cdn.ncbi.nlm.nih.gov/pmc/blobs/8e7f/11195343/bd14ff2a1188/EOR-23-0178fig1.jpg
https://cdn.ncbi.nlm.nih.gov/pmc/blobs/8e7f/11195343/0afde1deadf0/EOR-23-0178fig2.jpg
https://cdn.ncbi.nlm.nih.gov/pmc/blobs/8e7f/11195343/5481d01c0d3b/EOR-23-0178fig3.jpg
https://cdn.ncbi.nlm.nih.gov/pmc/blobs/8e7f/11195343/016e97e09dc1/EOR-23-0178fig4.jpg
https://cdn.ncbi.nlm.nih.gov/pmc/blobs/8e7f/11195343/c7842759d783/EOR-23-0178fig5.jpg
https://cdn.ncbi.nlm.nih.gov/pmc/blobs/8e7f/11195343/dc96156ff6d6/EOR-23-0178fig6.jpg
https://cdn.ncbi.nlm.nih.gov/pmc/blobs/8e7f/11195343/bd14ff2a1188/EOR-23-0178fig1.jpg
https://cdn.ncbi.nlm.nih.gov/pmc/blobs/8e7f/11195343/0afde1deadf0/EOR-23-0178fig2.jpg
https://cdn.ncbi.nlm.nih.gov/pmc/blobs/8e7f/11195343/5481d01c0d3b/EOR-23-0178fig3.jpg
https://cdn.ncbi.nlm.nih.gov/pmc/blobs/8e7f/11195343/016e97e09dc1/EOR-23-0178fig4.jpg
https://cdn.ncbi.nlm.nih.gov/pmc/blobs/8e7f/11195343/c7842759d783/EOR-23-0178fig5.jpg
https://cdn.ncbi.nlm.nih.gov/pmc/blobs/8e7f/11195343/dc96156ff6d6/EOR-23-0178fig6.jpg

相似文献

1
Practical management of renal cell carcinoma: integrating current approaches with advances in bone metastasis treatment.肾细胞癌的实际管理:将当前方法与骨转移治疗进展相结合。
EFORT Open Rev. 2024 Jun 3;9(6):488-502. doi: 10.1530/EOR-23-0178.
2
Effect of papillary and chromophobe cell type on disease-free survival after nephrectomy for renal cell carcinoma.乳头状和嫌色细胞类型对肾细胞癌肾切除术后无病生存期的影响。
Ann Surg Oncol. 2004 Jan;11(1):71-7. doi: 10.1007/BF02524349.
3
The Metastasis Pattern of Renal Cell Carcinoma Is Influenced by Histologic Subtype, Grade, and Sarcomatoid Differentiation.肾细胞癌的转移模式受组织学亚型、分级和肉瘤样分化的影响。
Medicina (Kaunas). 2023 Oct 17;59(10):1845. doi: 10.3390/medicina59101845.
4
[Chromophobe renal cell carcinoma: a clinicopathological study of 16 cases].[嫌色性肾细胞癌:16例临床病理研究]
Hinyokika Kiyo. 2006 Jan;52(1):1-6.
5
Outcomes of palliative surgery for bone metastasis of metastatic renal cell carcinoma in the era of targeted therapy.靶向治疗时代转移性肾细胞癌骨转移姑息性手术的疗效。
Eur J Surg Oncol. 2023 May;49(5):928-933. doi: 10.1016/j.ejso.2022.11.094. Epub 2022 Nov 25.
6
Identification and validation of novel prognostic markers in Renal Cell Carcinoma.肾细胞癌中新型预后标志物的鉴定与验证
Dan Med J. 2017 Oct;64(10).
7
Chromophobe Renal Cell Carcinoma With Retrograde Venous Invasion and Gain of Chromosome 21: Potential Harbingers of Aggressive Clinical Behavior.伴有逆行静脉侵犯及21号染色体获得的嫌色性肾细胞癌:侵袭性临床行为的潜在预兆
Int J Surg Pathol. 2018 Sep;26(6):536-541. doi: 10.1177/1066896918763948. Epub 2018 Mar 21.
8
Synchronous Metastasis Rates in T1 Renal Cell Carcinoma: A Surveillance, Epidemiology, and End Results Database-based Study.T1 期肾细胞癌的同步转移率:基于监测、流行病学和最终结果数据库的研究。
Eur Urol Focus. 2021 Jul;7(4):818-826. doi: 10.1016/j.euf.2020.02.011. Epub 2020 Mar 10.
9
Metastatic renal cell carcinoma to the urinary bladder: a report of 11 cases.转移性肾细胞癌至膀胱:11 例报告。
Am J Surg Pathol. 2014 Nov;38(11):1516-21. doi: 10.1097/PAS.0000000000000257.
10
Metastases from renal cell carcinoma-Report of three unpredictable cases and literature review.肾细胞癌转移——三例意外病例报告及文献综述
Indian J Cancer. 2021 Apr-Jun;58(2):273-277. doi: 10.4103/ijc.IJC_160_20.

引用本文的文献

1
Revealing the Mechanism of Esculin in Treating Renal Cell Carcinoma Based on Network Pharmacology and Experimental Validation.基于网络药理学和实验验证揭示秦皮乙素治疗肾细胞癌的机制。
Biomolecules. 2024 Aug 22;14(8):1043. doi: 10.3390/biom14081043.

本文引用的文献

1
Prediction of Subclinical and Clinical Multiple Organ Failure Dysfunction in Breast Cancer Patients-A Review Using AI Tools.乳腺癌患者亚临床和临床多器官功能衰竭功能障碍的预测——使用人工智能工具的综述
Cancers (Basel). 2024 Jan 16;16(2):0. doi: 10.3390/cancers16020381.
2
An Examination of Personalized Approaches in the Management of Ankle Fractures: A Thorough Evaluation of Soft Tissue Factors, Treatment Methods, and Patient Adherence.踝关节骨折管理中个性化方法的考察:对软组织因素、治疗方法及患者依从性的全面评估
Cureus. 2023 Sep 18;15(9):e45507. doi: 10.7759/cureus.45507. eCollection 2023 Sep.
3
The Conditioning of Adjuvant Chemotherapy for Stage II and III Rectal Cancer Determined by Postoperative Pathological Characteristics in Romania.
罗马尼亚:基于术后病理特征的Ⅱ期和Ⅲ期直肠癌辅助化疗条件
Medicina (Kaunas). 2023 Jun 29;59(7):1224. doi: 10.3390/medicina59071224.
4
Incidence and Distribution of New Renal Cell Carcinoma Cases: 27-Year Trends from a Statewide Cancer Registry.新发肾细胞癌病例的发病率及分布情况:来自全州癌症登记处的27年趋势
J Kidney Cancer VHL. 2022 Apr 18;9(2):7-12. doi: 10.15586/jkcvhl.v9i2.219. eCollection 2022.
5
Understanding orthopedic infections through a different perspective: Microcalorimetry growth curves.从不同角度理解骨科感染:微量热法生长曲线
Exp Ther Med. 2022 Apr;23(4):263. doi: 10.3892/etm.2022.11189. Epub 2022 Feb 4.
6
Incidental case of primary renal lymphoma (PRL) in a patient with chronic hepatitis C infection. Report of a rare case.慢性丙型肝炎感染患者偶然发生原发性肾淋巴瘤(PRL)。罕见病例报告。
Rom J Morphol Embryol. 2020 Jul-Sep;61(3):929-934. doi: 10.47162/RJME.61.3.33.
7
Evaluation of Clear Cell, Papillary, and Chromophobe Renal Cell Carcinoma Metastasis Sites and Association With Survival.评估透明细胞癌、乳头状癌和嫌色细胞肾癌的转移部位及其与生存的关系。
JAMA Netw Open. 2021 Jan 4;4(1):e2021869. doi: 10.1001/jamanetworkopen.2020.21869.
8
Radiographical efficacy of systemic treatment for bone metastasis from renal cell carcinoma.肾细胞癌骨转移全身治疗的影像学疗效
Oncol Lett. 2020 Nov;20(5):267. doi: 10.3892/ol.2020.12130. Epub 2020 Sep 21.
9
Bone metastasis is associated with poor prognosis in metastatic papillary renal cell carcinoma patients treated with first agent angiogenesis inhibitors.在接受一线血管生成抑制剂治疗的转移性乳头状肾细胞癌患者中,骨转移与预后不良相关。
Urol Oncol. 2020 Aug;38(8):686.e1-686.e9. doi: 10.1016/j.urolonc.2020.04.031. Epub 2020 May 17.
10
Pancreatic tropism of metastatic renal cell carcinoma.转移性肾细胞癌的胰腺趋向性。
JCI Insight. 2020 Apr 9;5(7):134564. doi: 10.1172/jci.insight.134564.