• 文献检索
  • 文档翻译
  • 深度研究
  • 学术资讯
  • Suppr Zotero 插件Zotero 插件
  • 邀请有礼
  • 套餐&价格
  • 历史记录
应用&插件
Suppr Zotero 插件Zotero 插件浏览器插件Mac 客户端Windows 客户端微信小程序
定价
高级版会员购买积分包购买API积分包
服务
文献检索文档翻译深度研究API 文档MCP 服务
关于我们
关于 Suppr公司介绍联系我们用户协议隐私条款
关注我们

Suppr 超能文献

核心技术专利:CN118964589B侵权必究
粤ICP备2023148730 号-1Suppr @ 2026

文献检索

告别复杂PubMed语法,用中文像聊天一样搜索,搜遍4000万医学文献。AI智能推荐,让科研检索更轻松。

立即免费搜索

文件翻译

保留排版,准确专业,支持PDF/Word/PPT等文件格式,支持 12+语言互译。

免费翻译文档

深度研究

AI帮你快速写综述,25分钟生成高质量综述,智能提取关键信息,辅助科研写作。

立即免费体验

孕期/哺乳期单独暴露于草甘膦或与2,4-滴和麦草畏共同暴露后大鼠乳腺组织结构的变化

Changes in Rat Mammary Tissue Architecture Following Pregnancy/Lactation Exposure to Glyphosate Alone or with 2,4-D and Dicamba.

作者信息

Cirstea Andrei Eugen, Docea Anca Oana, Cercelaru Liliana, Drocas Andrei Ioan, Mesnage Robin, Marginean Cristina, Marinas Cristian, Diaconu Magdalena, Golokhvast Kirill S, Mitrut Radu, Antoniou Michael N, Tsatsakis Aristidis, Calina Daniela

机构信息

Doctoral School, University of Medicine and Pharmacy of Craiova, Romania.

Department of Toxicology, University of Medicine and Pharmacy of Craiova, Romania.

出版信息

Curr Health Sci J. 2024 Jan-Mar;50(1):94-105. doi: 10.12865/CHSJ.50.01.13. Epub 2024 Mar 31.

DOI:10.12865/CHSJ.50.01.13
PMID:38846475
原文链接:https://pmc.ncbi.nlm.nih.gov/articles/PMC11151954/
Abstract

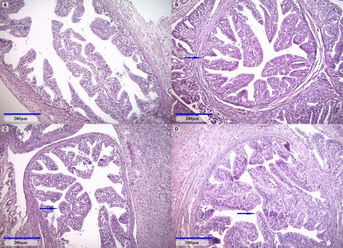
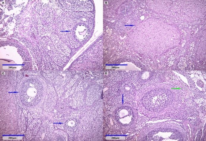
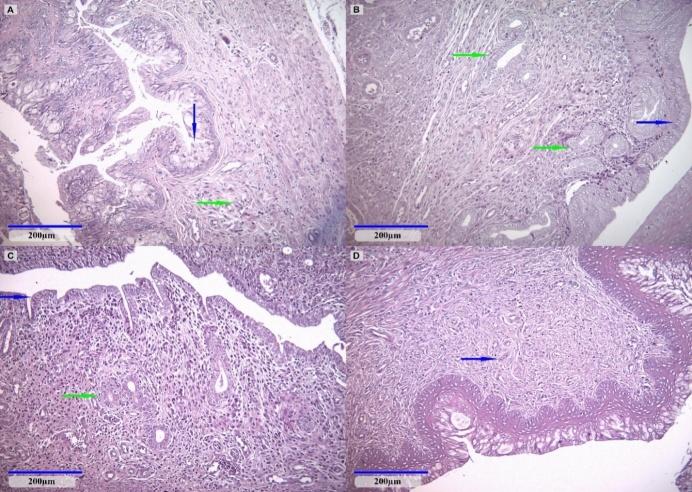
The current study aimed to assess the possible endocrine disruptor effects on rat mammary tissue and reproductive organs during pregnancy and lactation when exposed to low doses of glyphosate and its combination with 2,4-dichlorophenoxyacetic acid (2,4-D) and dicamba. The study involved the exposure of pregnant Wistar rats to various regulatory-relevant doses of glyphosate, ranging from gestational day 6 until fine of the lactation period. Glyphosate doses corresponded to the European Union's glyphosate-acceptable daily intake (ADI; 0.5mg/kg bw/day) and no observed adverse effect level (NOAEL; 50mg/kg bw/day). The dose of the mixture of glyphosate, dicamba, and 2,4-D was at the European Union ADI for each herbicide namely 0.5, 0.002, and 0.3mg/kg bw/day, respectively. In the animals exposed to glyphosate NOAEL serum estradiol levels were increased compared to untreated animals, along with an upregulation of TNF-?, MMP-2, and MMP-9 as measured in mammary gland homogenates compared to non-treated animals. Moreover, in this group, a focally acute inflammatory infiltrate was observed in the mammary gland. Our study showed that short-term exposure to glyphosate at doses that are set as safe by regulators and thus without risk corroborated with a particular physiological state as gestation and lactation, can give rise to inflammatory changes in breast tissue in rats. These findings support the need for further evaluation of glyphosate and mixtures of glyphosate with other pesticides for public health protection, especially for those categories vulnerable to the potential endocrine disruptor properties of these pesticides such as pregnant women, newborns, and children.

摘要

本研究旨在评估低剂量草甘膦及其与2,4-二氯苯氧乙酸(2,4-D)和麦草畏组合在妊娠和哺乳期对大鼠乳腺组织和生殖器官可能产生的内分泌干扰作用。该研究包括从妊娠第6天到哺乳期结束,让怀孕的Wistar大鼠接触各种与监管相关剂量的草甘膦。草甘膦剂量相当于欧盟的草甘膦每日允许摄入量(ADI;0.5mg/kg体重/天)和未观察到有害作用水平(NOAEL;50mg/kg体重/天)。草甘膦、麦草畏和2,4-D混合物的剂量分别为每种除草剂的欧盟ADI,即0.5、0.002和0.3mg/kg体重/天。与未处理动物相比,暴露于草甘膦NOAEL的动物血清雌二醇水平升高,与未处理动物相比,乳腺匀浆中TNF-?、MMP-2和MMP-9的表达上调。此外,在该组中,乳腺中观察到局灶性急性炎症浸润。我们的研究表明,在妊娠和哺乳期等特定生理状态下,短期接触监管机构设定为安全剂量的草甘膦,即无风险剂量,可导致大鼠乳腺组织发生炎症变化。这些发现支持有必要进一步评估草甘膦以及草甘膦与其他农药的混合物对公众健康的影响,特别是对孕妇、新生儿和儿童等易受这些农药潜在内分泌干扰特性影响的人群。

https://cdn.ncbi.nlm.nih.gov/pmc/blobs/98ec/11151954/d142310f7bb1/CHSJ-50-01-94-fig4.jpg
https://cdn.ncbi.nlm.nih.gov/pmc/blobs/98ec/11151954/2f88f054e98f/CHSJ-50-01-94-fig1.jpg
https://cdn.ncbi.nlm.nih.gov/pmc/blobs/98ec/11151954/8465281a16ad/CHSJ-50-01-94-fig2.jpg
https://cdn.ncbi.nlm.nih.gov/pmc/blobs/98ec/11151954/5e4417da72c4/CHSJ-50-01-94-fig3.jpg
https://cdn.ncbi.nlm.nih.gov/pmc/blobs/98ec/11151954/d142310f7bb1/CHSJ-50-01-94-fig4.jpg
https://cdn.ncbi.nlm.nih.gov/pmc/blobs/98ec/11151954/2f88f054e98f/CHSJ-50-01-94-fig1.jpg
https://cdn.ncbi.nlm.nih.gov/pmc/blobs/98ec/11151954/8465281a16ad/CHSJ-50-01-94-fig2.jpg
https://cdn.ncbi.nlm.nih.gov/pmc/blobs/98ec/11151954/5e4417da72c4/CHSJ-50-01-94-fig3.jpg
https://cdn.ncbi.nlm.nih.gov/pmc/blobs/98ec/11151954/d142310f7bb1/CHSJ-50-01-94-fig4.jpg

相似文献

1
Changes in Rat Mammary Tissue Architecture Following Pregnancy/Lactation Exposure to Glyphosate Alone or with 2,4-D and Dicamba.孕期/哺乳期单独暴露于草甘膦或与2,4-滴和麦草畏共同暴露后大鼠乳腺组织结构的变化
Curr Health Sci J. 2024 Jan-Mar;50(1):94-105. doi: 10.12865/CHSJ.50.01.13. Epub 2024 Mar 31.
2
Effect of perinatal exposure to glyphosate and its mixture with 2,4-D and dicamba on rat dam kidney and thyroid function and offspring's health.围产期接触草甘膦及其与2,4-滴和麦草畏的混合物对大鼠母鼠肾脏和甲状腺功能以及子代健康的影响。
Environ Res. 2023 Nov 15;237(Pt 1):116908. doi: 10.1016/j.envres.2023.116908. Epub 2023 Aug 17.
3
Evaluation of perinatal exposure of glyphosate and its mixture with 2,4-D and dicamba οn liver redox status in Wistar rats.评价草甘膦及其与 2,4-D 和麦草畏混合物对 Wistar 大鼠肝脏氧化还原状态的围产期暴露影响。
Environ Res. 2023 Jul 1;228:115906. doi: 10.1016/j.envres.2023.115906. Epub 2023 Apr 14.
4
Exposure to a Glyphosate-based Herbicide Alters the Expression of Key Regulators of Mammary Gland Development on Pre-pubertal Male Rats.暴露于草甘膦除草剂会改变未成年雄性大鼠乳腺发育的关键调节因子的表达。
Toxicology. 2020 Jun;439:152477. doi: 10.1016/j.tox.2020.152477. Epub 2020 Apr 29.
5
Glyphosate-based herbicide exposure during pregnancy and lactation malprograms the male reproductive morphofunction in F1 offspring.孕期和哺乳期接触草甘膦除草剂会导致 F1 代雄性生殖形态功能异常。
J Dev Orig Health Dis. 2020 Apr;11(2):146-153. doi: 10.1017/S2040174419000382. Epub 2019 Jul 16.
6
7
Male mammary gland development and methylation status of estrogen receptor alpha in Wistar rats are modified by the developmental exposure to a glyphosate-based herbicide.雄性乳腺发育和 Wistar 大鼠雌激素受体α的甲基化状态受草甘膦基除草剂发育暴露的影响。
Mol Cell Endocrinol. 2019 Feb 5;481:14-25. doi: 10.1016/j.mce.2018.11.005. Epub 2018 Nov 14.
8
Exposure to a glyphosate-based herbicide during pregnancy and lactation induces neurobehavioral alterations in rat offspring.孕期和哺乳期接触草甘膦基除草剂会导致大鼠后代出现神经行为改变。
Neurotoxicology. 2016 Mar;53:20-28. doi: 10.1016/j.neuro.2015.11.015. Epub 2015 Nov 26.
9
A mixture of glyphosate and 2,4-D herbicides enhances the deleterious reproductive outcomes induced by Western diet in obese male mice.草甘膦和 2,4-D 除草剂的混合物增强了西方饮食诱导肥胖雄性小鼠生殖损害的不良后果。
Environ Toxicol. 2024 Jan;39(1):31-43. doi: 10.1002/tox.23937. Epub 2023 Aug 24.
10
Glyphosate (Pesticides).草甘膦(农药)。
Food Saf (Tokyo). 2016 Sep 30;4(3):93-102. doi: 10.14252/foodsafetyfscj.2016014s. eCollection 2016 Sep.

引用本文的文献

1
Toxicological concerns regarding glyphosate, its formulations, and co-formulants as environmental pollutants: a review of published studies from 2010 to 2025.关于草甘膦及其制剂和混合制剂作为环境污染物的毒理学问题:对2010年至2025年已发表研究的综述
Arch Toxicol. 2025 May 26. doi: 10.1007/s00204-025-04076-2.

本文引用的文献

1
Association between mammographic breast density and breast carcinoma.乳腺 X 线摄影密度与乳腺癌的关系。
Ceylon Med J. 2022 Nov 30;67(3):108-112. doi: 10.4038/cmj.v67i3.9698.
2
Effect of perinatal exposure to glyphosate and its mixture with 2,4-D and dicamba on rat dam kidney and thyroid function and offspring's health.围产期接触草甘膦及其与2,4-滴和麦草畏的混合物对大鼠母鼠肾脏和甲状腺功能以及子代健康的影响。
Environ Res. 2023 Nov 15;237(Pt 1):116908. doi: 10.1016/j.envres.2023.116908. Epub 2023 Aug 17.
3
Peer review of the pesticide risk assessment of the active substance glyphosate.
活性物质草甘膦农药风险评估的同行评审。
EFSA J. 2023 Jul 26;21(7):e08164. doi: 10.2903/j.efsa.2023.8164. eCollection 2023 Jul.
4
Glyphosate mimics 17β-estradiol effects promoting estrogen receptor alpha activity in breast cancer cells.草甘膦模拟17β-雌二醇的作用,促进乳腺癌细胞中雌激素受体α的活性。
Chemosphere. 2023 Feb;313:137201. doi: 10.1016/j.chemosphere.2022.137201. Epub 2022 Nov 12.
5
Epigenetics in neurodegenerative disorders induced by pesticides.农药诱导的神经退行性疾病中的表观遗传学
Genes Environ. 2021 Dec 10;43(1):55. doi: 10.1186/s41021-021-00224-z.
6
Pesticide applicators and cancer: a systematic review.农药施用者与癌症:一项系统综述。
Rev Environ Health. 2020 Dec 10;36(4):467-476. doi: 10.1515/reveh-2020-0121. Print 2021 Dec 20.
7
Oxidative Stress as a Molecular Mechanism of Exposure to Organophosphorus Pesticides: A Review.氧化应激作为暴露于有机磷杀虫剂的分子机制:综述。
Curr Protein Pept Sci. 2021 Dec 27;22(12):890-897. doi: 10.2174/1389203722666211122092309.
8
TNF-α differentially modulates subunit levels of respiratory electron transport complexes of ER/PR +ve/-ve breast cancer cells to regulate mitochondrial complex activity and tumorigenic potential.肿瘤坏死因子-α(TNF-α)以不同方式调节雌激素受体/孕激素受体阳性/阴性乳腺癌细胞呼吸电子传递复合体的亚基水平,以调控线粒体复合体活性和致瘤潜力。
Cancer Metab. 2021 Apr 29;9(1):19. doi: 10.1186/s40170-021-00254-9.
9
Multi-omics phenotyping of the gut-liver axis reveals metabolic perturbations from a low-dose pesticide mixture in rats.肠道-肝脏轴的多组学表型分析揭示了低剂量农药混合物对大鼠代谢的干扰。
Commun Biol. 2021 Apr 14;4(1):471. doi: 10.1038/s42003-021-01990-w.
10
Controversies on Endocrine and Reproductive Effects of Glyphosate and Glyphosate-Based Herbicides: A Mini-Review.草甘膦及草甘膦类除草剂的内分泌和生殖毒性争议:小型综述。
Front Endocrinol (Lausanne). 2021 Mar 15;12:627210. doi: 10.3389/fendo.2021.627210. eCollection 2021.