Suppr超能文献

金黄色葡萄球菌质粒介导的季铵盐抗性在大肠杆菌中的克隆与表达。

Cloning and expression of Staphylococcus aureus plasmid-mediated quaternary ammonium resistance in Escherichia coli.

作者信息

Tennent J M, Lyon B R, Gillespie M T, May J W, Skurray R A

出版信息

Antimicrob Agents Chemother. 1985 Jan;27(1):79-83. doi: 10.1128/AAC.27.1.79.

Abstract

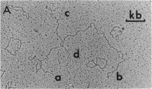
The Staphylococcus aureus plasmid pSK1 carries Tn4001, a 4.7-kilobase (kb) transposon which specifies resistance to gentamicin, tobramycin, and kanamycin. In addition, pSK1 mediates resistance to trimethoprim and linked resistance to ethidium bromide (Ebr) and to quaternary ammonium compounds (Qar). Restriction endonuclease analysis of pSK1 and a deleted derivative of pSK1 revealed that the gene(s) responsible for Ebr Qar lies within a 5.2-kb HindIII fragment. This fragment has been cloned into the Escherichia coli plasmid vector pBR322, and transformants of an E. coli K-12 strain exhibited Ebr Qar. Subcloning of the 5.2-kb insert, combined with data from electron microscopic analysis of deleted derivatives of pSK1, located the Ebr Qar determinant(s) on a 2.3-kb segment of pSK1 DNA.

摘要

金黄色葡萄球菌质粒pSK1携带转座子Tn4001,这是一个4.7千碱基(kb)的转座子,它赋予对庆大霉素、妥布霉素和卡那霉素的抗性。此外,pSK1介导对甲氧苄啶的抗性以及对溴化乙锭(Ebr)和季铵化合物(Qar)的连锁抗性。对pSK1及其缺失衍生物进行限制性内切酶分析表明,负责Ebr Qar的基因位于一个5.2 kb的HindIII片段内。该片段已被克隆到大肠杆菌质粒载体pBR322中,大肠杆菌K-12菌株的转化子表现出Ebr Qar。对5.2 kb插入片段进行亚克隆,并结合对pSK1缺失衍生物的电子显微镜分析数据,将Ebr Qar决定簇定位在pSK1 DNA的一个2.3 kb片段上。

https://cdn.ncbi.nlm.nih.gov/pmc/blobs/bbd1/176209/56cf9eb76ade/aac00179-0111-a.jpg

文献检索

告别复杂PubMed语法,用中文像聊天一样搜索,搜遍4000万医学文献。AI智能推荐,让科研检索更轻松。

立即免费搜索

文件翻译

保留排版,准确专业,支持PDF/Word/PPT等文件格式,支持 12+语言互译。

免费翻译文档

深度研究

AI帮你快速写综述,25分钟生成高质量综述,智能提取关键信息,辅助科研写作。

立即免费体验