• 文献检索
  • 文档翻译
  • 深度研究
  • 学术资讯
  • Suppr Zotero 插件Zotero 插件
  • 邀请有礼
  • 套餐&价格
  • 历史记录
应用&插件
Suppr Zotero 插件Zotero 插件浏览器插件Mac 客户端Windows 客户端微信小程序
定价
高级版会员购买积分包购买API积分包
服务
文献检索文档翻译深度研究API 文档MCP 服务
关于我们
关于 Suppr公司介绍联系我们用户协议隐私条款
关注我们

Suppr 超能文献

核心技术专利:CN118964589B侵权必究
粤ICP备2023148730 号-1Suppr @ 2026

文献检索

告别复杂PubMed语法,用中文像聊天一样搜索,搜遍4000万医学文献。AI智能推荐,让科研检索更轻松。

立即免费搜索

文件翻译

保留排版,准确专业,支持PDF/Word/PPT等文件格式,支持 12+语言互译。

免费翻译文档

深度研究

AI帮你快速写综述,25分钟生成高质量综述,智能提取关键信息,辅助科研写作。

立即免费体验

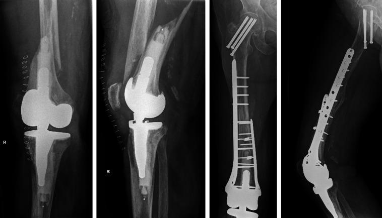
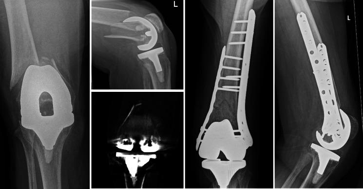
与单钢板固定和股骨远端关节成形术相比,双钢板固定是治疗人工关节周围股骨远端骨折的一种合适选择。

Double plating is a suitable option for periprosthetic distal femur fracture compared to single plate fixation and distal femoral arthroplasty.

作者信息

Kriechling Philipp, Bowley Abigail L W, Ross Lauren A, Moran Matthew, Scott Chloe E H

机构信息

Edinburgh Orthopaedics, Royal Infirmary of Edinburgh, Edinburgh, UK.

Department of Orthopaedics, University of Edinburgh, Edinburgh, UK.

出版信息

Bone Jt Open. 2024 Jun 12;5(6):489-498. doi: 10.1302/2633-1462.56.BJO-2023-0145.R1.

DOI:10.1302/2633-1462.56.BJO-2023-0145.R1
PMID:38862133
原文链接:https://pmc.ncbi.nlm.nih.gov/articles/PMC11166487/
Abstract

AIMS

The purpose of this study was to compare reoperation and revision rates of double plating (DP), single plating using a lateral locking plate (SP), or distal femoral arthroplasty (DFA) for the treatment of periprosthetic distal femur fractures (PDFFs).

METHODS

All patients with PDFF primarily treated with DP, SP, or DFA between 2008 and 2022 at a university teaching hospital were included in this retrospective cohort study. The primary outcome was revision surgery for failure following DP, SP, or DFA. Secondary outcome measures included any reoperation, length of hospital stay, and mortality. All basic demographic and relevant implant and injury details were collected. Radiological analysis included fracture classification and evaluation of metaphyseal and medial comminution.

RESULTS

A total of 111 PDFFs (111 patients, median age 82 years (interquartile range (IQR) 75 to 88), 86% female) with 32 (29%) Su classification 1, 37 (34%) Su 2, and 40 (37%) Su 3 fractures were included. The median follow-up was 2.5 years (IQR 1.2 to 5.0). DP, SP, and DFA were used in 15, 66, and 30 patients, respectively. Compared to SP, patients treated with DP were more likely to have metaphyseal comminution (47% vs 14%; p = 0.009), to be low fractures (47% vs 11%; p = 0.009), and to be anatomically reduced (100% vs 71%; p = 0.030). Patients selected for DFA displayed comparable amounts of medial/metaphyseal comminution as those who underwent DP. At a minimum follow-up of two years, revision surgery for failure was performed in 11 (9.9%) cases at a median of five months (IQR 2 to 9): 0 DP patients (0%), 9 SP (14%), and 2 DFA (6.7%) (p = 0.249).

CONCLUSION

Using a strategy of DP fixation in fractures, where the fracture was low but there was enough distal bone to accommodate locking screws, and where there is metaphyseal comminution, resulted in equivalent survival free from revision or reoperation compared to DFA and SP fixation.

摘要

目的

本研究旨在比较双钢板固定(DP)、使用外侧锁定钢板的单钢板固定(SP)或股骨远端关节成形术(DFA)治疗股骨假体周围远端骨折(PDFF)的再次手术率和翻修率。

方法

本回顾性队列研究纳入了2008年至2022年期间在一所大学教学医院接受DP、SP或DFA初步治疗的所有PDFF患者。主要结局是DP、SP或DFA失败后的翻修手术。次要结局指标包括任何再次手术、住院时间和死亡率。收集了所有基本人口统计学资料以及相关植入物和损伤细节。影像学分析包括骨折分类以及干骺端和内侧粉碎情况的评估。

结果

共纳入111例PDFF(111例患者,中位年龄82岁(四分位间距(IQR)75至88岁),86%为女性),其中32例(29%)为苏(Su)分类1型骨折,37例(34%)为Su 2型骨折,40例(37%)为Su 3型骨折。中位随访时间为2.5年(IQR 1.2至5.0)。分别有15例、66例和30例患者使用了DP、SP和DFA。与SP相比,接受DP治疗的患者更易出现干骺端粉碎(47%对14%;p = 0.009)、低位骨折(47%对11%;p = 0.009)以及解剖复位(100%对71%;p = 0.030)。选择DFA治疗的患者其内侧/干骺端粉碎程度与接受DP治疗的患者相当。在至少两年的随访中,11例(9.9%)患者因失败接受了翻修手术,中位时间为5个月(IQR 2至9):0例DP患者(0%)、9例SP患者(14%)和2例DFA患者(6.7%)(p = 0.249)。

结论

对于骨折位置低但有足够远侧骨来容纳锁定螺钉且存在干骺端粉碎的骨折,采用DP固定策略与DFA和SP固定相比,在无需翻修或再次手术方面具有相同的生存率。

https://cdn.ncbi.nlm.nih.gov/pmc/blobs/c281/11166487/cfbd7204b658/BJO-2023-0145.R1-galleyfig4.jpg
https://cdn.ncbi.nlm.nih.gov/pmc/blobs/c281/11166487/7797e8fcdea5/BJO-2023-0145.R1-galleyfig1.jpg
https://cdn.ncbi.nlm.nih.gov/pmc/blobs/c281/11166487/3e320febc6a4/BJO-2023-0145.R1-galleyfig2.jpg
https://cdn.ncbi.nlm.nih.gov/pmc/blobs/c281/11166487/e27daabce539/BJO-2023-0145.R1-galleyfig3.jpg
https://cdn.ncbi.nlm.nih.gov/pmc/blobs/c281/11166487/cfbd7204b658/BJO-2023-0145.R1-galleyfig4.jpg
https://cdn.ncbi.nlm.nih.gov/pmc/blobs/c281/11166487/7797e8fcdea5/BJO-2023-0145.R1-galleyfig1.jpg
https://cdn.ncbi.nlm.nih.gov/pmc/blobs/c281/11166487/3e320febc6a4/BJO-2023-0145.R1-galleyfig2.jpg
https://cdn.ncbi.nlm.nih.gov/pmc/blobs/c281/11166487/e27daabce539/BJO-2023-0145.R1-galleyfig3.jpg
https://cdn.ncbi.nlm.nih.gov/pmc/blobs/c281/11166487/cfbd7204b658/BJO-2023-0145.R1-galleyfig4.jpg

相似文献

1
Double plating is a suitable option for periprosthetic distal femur fracture compared to single plate fixation and distal femoral arthroplasty.与单钢板固定和股骨远端关节成形术相比,双钢板固定是治疗人工关节周围股骨远端骨折的一种合适选择。
Bone Jt Open. 2024 Jun 12;5(6):489-498. doi: 10.1302/2633-1462.56.BJO-2023-0145.R1.
2
Management of low periprosthetic distal femoral fractures.人工膝关节置换术后低位股骨假体周围骨折的处理。
Bone Joint J. 2021 Apr;103-B(4):635-643. doi: 10.1302/0301-620X.103B4.BJJ-2020-1710.R1.
3
Dual plate fixation results in improved union rates in comminuted distal femur fractures compared to single plate fixation.与单钢板固定相比,双钢板固定可提高股骨远端粉碎性骨折的愈合率。
J Orthop. 2019 Sep 15;18:76-79. doi: 10.1016/j.jor.2019.09.022. eCollection 2020 Mar-Apr.
4
The double-plate fixation technique prevents varus collapse in AO type C3 supra-intercondylar fracture of the distal femur.双钢板固定技术可防止 AO 分型 C3 型股骨远端髁上骨折发生内翻塌陷。
Arch Orthop Trauma Surg. 2023 Oct;143(10):6209-6217. doi: 10.1007/s00402-023-04953-4. Epub 2023 Jun 22.
5
[Treatment of Periprosthetic Distal Femoral Fractures].[人工关节周围股骨远端骨折的治疗]
Acta Chir Orthop Traumatol Cech. 2019;86(3):205-211.
6
Novel classification system for periprosthetic distal femoral fractures: a consideration for comminution.新型假体周围股骨远端骨折分类系统:粉碎性骨折的考虑因素。
Eur J Orthop Surg Traumatol. 2023 Aug;33(6):2541-2546. doi: 10.1007/s00590-022-03468-9. Epub 2023 Jan 12.
7
[Osteosynthesis for periprosthetic supracondylar fracture above a total knee arthroplasty using a locking compression plate].使用锁定加压钢板治疗全膝关节置换术后假体周围髁上骨折的接骨术
Acta Chir Orthop Traumatol Cech. 2009 Dec;76(6):473-8.
8
Risk Factors for Nonunion After Lateral Locked Plating of Periprosthetic Distal Femur Fractures.人工关节周围股骨远端骨折外侧锁定钢板固定术后骨不连的危险因素
J Orthop Trauma. 2025 Apr 23. doi: 10.1097/BOT.0000000000003001.
9
A multicentre comparative analysis of fixation versus revision surgery for periprosthetic femoral fractures following total hip arthroplasty with a cemented polished taper-slip femoral component.全髋关节置换术后应用骨水泥型抛光锥形滑丝股骨柄假体治疗股骨假体周围骨折的固定与翻修手术的多中心对比分析
Bone Joint J. 2023 Feb;105-B(2):124-134. doi: 10.1302/0301-620X.105B2.BJJ-2022-0685.R1.
10
Primary versus secondary distal femoral arthroplasty for treatment of total knee arthroplasty periprosthetic femur fractures.初次与二次股骨远端置换术治疗全膝关节置换术后股骨假体周围骨折。
J Arthroplasty. 2013 Oct;28(9):1580-4. doi: 10.1016/j.arth.2013.02.030. Epub 2013 Mar 26.

引用本文的文献

1
The influence of "kickstand" screws on the mechanical performance of a lateral distal femoral plate : a finite element analysis.“支架”螺钉对股骨远端外侧钢板力学性能的影响:有限元分析
Bone Joint Res. 2025 Aug 19;14(8):713-720. doi: 10.1302/2046-3758.148.BJR-2024-0479.R1.
2
Biomechanical effects of six internal fixation methods for distal femoral AO/OTA 33C1 fractures: finite element analysis.六种用于股骨远端AO/OTA 33C1骨折的内固定方法的生物力学效应:有限元分析
BMC Musculoskelet Disord. 2025 Jul 26;26(1):715. doi: 10.1186/s12891-025-08996-z.
3
Dual Construct for Very Low Periprosthetic Distal Femur Fracture-Case Series and Extensile Medial Parapatellar Single Incision Approach.

本文引用的文献

1
Surgical approaches to periprosthetic femoral fractures for plate fixation or revision arthroplasty.用于接骨板固定或翻修关节成形术的假体周围股骨骨折的手术入路。
Bone Joint J. 2023 Jun 1;105-B(6):593-601. doi: 10.1302/0301-620X.105B6.BJJ-2022-1202.R1.
2
Double Plating Fixation vs Distal Femoral Replacement in the Management of Distal Femoral Fractures in Geriatric Patients.老年患者股骨远端骨折治疗中双钢板固定与股骨远端置换的比较
Arthroplast Today. 2023 Mar 14;20:101113. doi: 10.1016/j.artd.2023.101113. eCollection 2023 Apr.
3
Comparison of outcomes of retrograde intramedullary nailing versus locking plate fixation in distal femur fractures: A Systematic Review and Meta-analysis of 936 patients in 16 studies.
用于极低假体周围股骨远端骨折的双结构——病例系列及髌旁内侧单一延长切口入路
Geriatr Orthop Surg Rehabil. 2025 Jun 19;16:21514593251352332. doi: 10.1177/21514593251352332. eCollection 2025.
4
Operatively Managed Transverse or Short Oblique B1 Periprosthetic Fractures Around a Polished Taper-Slip Femoral Stem Are Associated With Reoperation in One Third of Cases: A Retrospective Cohort Study.在一项回顾性队列研究中发现,围绕抛光锥形滑动股骨柄的手术治疗的横向或短斜形B1型假体周围骨折,三分之一的病例会再次手术。
Arthroplast Today. 2024 Nov 13;30:101551. doi: 10.1016/j.artd.2024.101551. eCollection 2024 Dec.
股骨远端骨折逆行髓内钉与锁定钢板固定效果的比较:对16项研究中936例患者的系统评价和Meta分析
J Orthop. 2022 Dec 15;36:36-48. doi: 10.1016/j.jor.2022.12.007. eCollection 2023 Feb.
4
Treatment of supracondylar periprosthetic femoral fractures with retrograde intramedullary nailing versus distal femoral plating: A systematic review and meta-analysis of current evidence.采用逆行髓内钉与股骨远端接骨板治疗股骨假体周围髁上骨折:当前证据的系统评价和荟萃分析。
Orthop Traumatol Surg Res. 2023 Sep;109(5):103489. doi: 10.1016/j.otsr.2022.103489. Epub 2022 Nov 25.
5
Nail plate combination in fractures of the distal femur in the elderly: A new paradigm for optimum fixation and early mobilization?老年股骨远端骨折的钉板组合:最佳固定和早期活动的新模式?
Injury. 2023 Feb;54(2):288-291. doi: 10.1016/j.injury.2022.11.035. Epub 2022 Nov 12.
6
Outcomes of dual plating for unstable distal femoral fractures: a subgroup comparison between periprosthetic and non-periprosthetic fractures.双钢板治疗不稳定型股骨远端骨折的疗效:假体周围与非假体周围骨折的亚组比较。
Int Orthop. 2022 Nov;46(11):2685-2692. doi: 10.1007/s00264-022-05543-6. Epub 2022 Aug 15.
7
Double fixation for complex distal femoral fractures.复杂股骨远端骨折的双重固定
EFORT Open Rev. 2022 Apr 21;7(4):274-286. doi: 10.1530/EOR-21-0113.
8
Use of an intramedullary fibular strut allograft and dual locking plate in periprosthetic fractures above total knee arthroplasty: new application of a well-known treatment method in trauma.应用髓内腓骨支撑骨移植物和双锁定钢板治疗全膝关节置换术后假体周围骨折:创伤中一种知名治疗方法的新应用。
Eur J Trauma Emerg Surg. 2022 Oct;48(5):4105-4111. doi: 10.1007/s00068-022-01940-z. Epub 2022 Mar 6.
9
Clinical Outcomes Following Distal Femur Replacement for Periprosthetic Distal Femur Fractures: A Systematic Review and Meta-Analysis.人工关节周围股骨远端骨折行股骨远端置换后的临床疗效:一项系统评价与Meta分析
J Arthroplasty. 2022 May;37(5):1002-1008. doi: 10.1016/j.arth.2022.01.054. Epub 2022 Jan 31.
10
Distal Femoral Replacement and Periprosthetic Joint Infection After Non-Oncological Reconstruction: A Retrospective Analysis.股骨远端置换与非肿瘤重建术后假体周围关节感染:回顾性分析。
J Arthroplasty. 2021 Dec;36(12):3959-3965. doi: 10.1016/j.arth.2021.08.013. Epub 2021 Aug 20.