Suppr超能文献

一名64岁男性神经结节病的罕见表现:病例报告

An Unusual Presentation of Neurosarcoidosis in a 64-Year-Old Man: A Case Report.

作者信息

Gopal Kalashree, Howard Jeremiah, Ramaraj Shyamalee, Shroff Ahaj H, Gamard Christopher

机构信息

Internal Medicine, Alabama College of Osteopathic Medicine, Dothan, USA.

Neurology, Alabama College of Osteopathic Medicine, Dothan, USA.

出版信息

Cureus. 2024 May 12;16(5):e60146. doi: 10.7759/cureus.60146. eCollection 2024 May.

Abstract

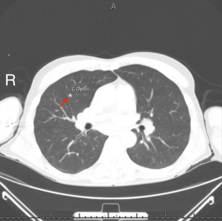
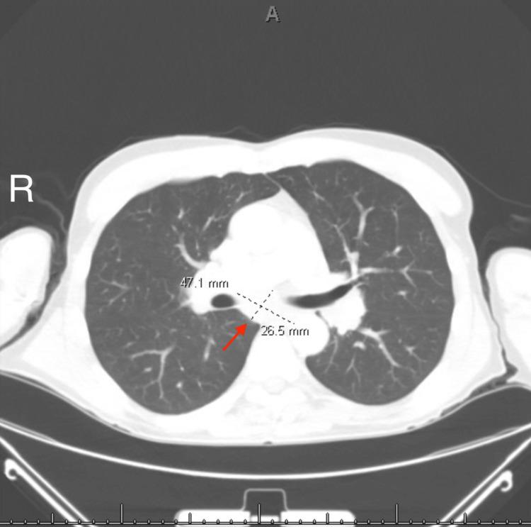
Sarcoidosis is a multisystem granulomatous disorder with an unknown etiology that typically involves the lungs, skin, and lymph nodes, with neurological involvement being relatively rare. We discuss a case of neurosarcoidosis in a 64-year-old man who initially presented with unexplained cognitive impairment, insomnia, hyponatremia, paresthesias, and weight loss and later developed uveitis, diplopia, and dysphagia. Ultimately, findings of hilar and mediastinal lymphadenopathy on chest computed tomography (CT) resulted in bronchoscopy, which led to the diagnosis. This case highlights a rare presentation of sarcoidosis with an unusual constellation of symptoms. We discuss the difficulty involved in diagnosing this disorder as well as its highly variable course.

摘要

结节病是一种病因不明的多系统肉芽肿性疾病,通常累及肺部、皮肤和淋巴结,神经系统受累相对少见。我们讨论一例64岁男性神经结节病病例,该患者最初表现为不明原因的认知障碍、失眠、低钠血症、感觉异常和体重减轻,后来出现葡萄膜炎、复视和吞咽困难。最终,胸部计算机断层扫描(CT)显示肺门和纵隔淋巴结肿大,进而进行了支气管镜检查,从而确诊。该病例突出了结节病一种罕见的表现形式,伴有一系列不寻常的症状。我们讨论了诊断这种疾病的困难以及其高度多变的病程。

https://cdn.ncbi.nlm.nih.gov/pmc/blobs/e57e/11166250/982d99dc4105/cureus-0016-00000060146-i01.jpg

文献检索

告别复杂PubMed语法,用中文像聊天一样搜索,搜遍4000万医学文献。AI智能推荐,让科研检索更轻松。

立即免费搜索

文件翻译

保留排版,准确专业,支持PDF/Word/PPT等文件格式,支持 12+语言互译。

免费翻译文档

深度研究

AI帮你快速写综述,25分钟生成高质量综述,智能提取关键信息,辅助科研写作。

立即免费体验