Suppr超能文献

在肩部疼痛患者的运动计划中增加四节超声引导下经皮电神经刺激的效果:一项随机对照试验

Effects of Adding Four Sessions of Ultrasound-Guided Percutaneous Electrical Nerve Stimulation to an Exercise Program in Patients with Shoulder Pain: A Randomized Controlled Trial.

作者信息

Valenzuela-Rios Claudia, Arias-Buría José L, Rodríguez-Jiménez Jorge, Palacios-Ceña María, Fernández-de-Las-Peñas César

机构信息

Escuela Internacional de Doctorado, Universidad Rey Juan Carlos, 28933 Móstoles, Madrid, Spain.

Department of Physical Therapy, Occupational Therapy, Physical Medicine and Rehabilitation, Universidad Rey Juan Carlos (URJC), 28922 Alcorcón, Madrid, Spain.

出版信息

J Clin Med. 2024 May 28;13(11):3171. doi: 10.3390/jcm13113171.

Abstract

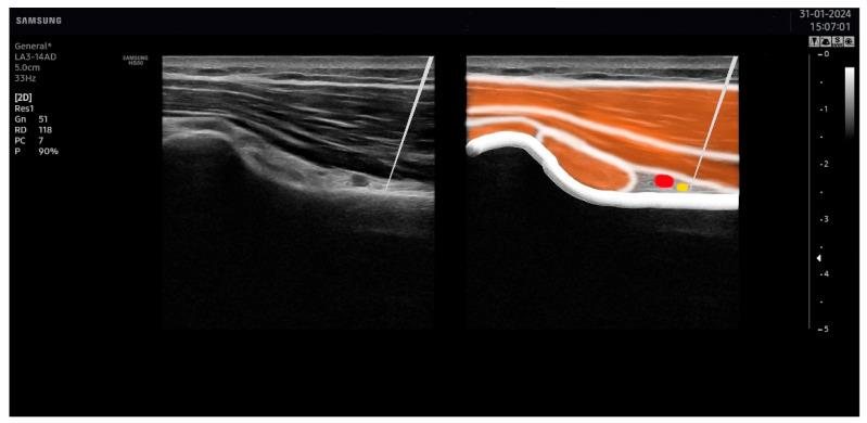
Percutaneous electrical nerve stimulation (PENS) appears to be effective for the treatment of musculoskeletal pain. The aim of this trial was to investigate the effects on disability and pain, as well as on the psychological aspects of adding PENS into an exercise program in patients with subacromial pain syndrome. A randomized, parallel-group clinical trial was conducted. Sixty patients with subacromial pain were allocated into exercise alone (n = 20), exercise plus PENS (n = 20), or exercise plus placebo PENS (n = 20) groups. Patients in all groups performed an exercise program twice daily for 3 weeks. Patients allocated to the PENS group also received four sessions of ultrasound-guided PENS targeting the axillar and suprascapular nerves. Patients allocated to the exercise plus placebo PENS received a sham PENS application. The primary outcome was related disability (Disabilities of the Arm, Shoulder, and Hand, DASH). Secondary outcomes included mean pain, anxiety levels, depressive symptoms, and sleep quality. They were assessed at baseline, one week after, and one and three months after. An analysis was performed using intention-to-treat with mixed-models ANCOVAs. : The results revealed no between-group differences for most outcomes (related disability: F = 0.292, = 0.748, n = 0.011; anxiety: F = 0.780, = 0.463, n = 0.027; depressive symptoms: F = 0.559, = 0.575, n = 0.02; or sleep quality: F = 0.294, = 0.747, n = 0.01); both groups experienced similar changes throughout the course of this study. Patients receiving exercise plus PENS exhibited greater improvement in shoulder pain at one month than those in the exercise (Δ -1.2, 95%CI -2.3 to -0.1) or the placebo (Δ -1.3, 95%CI -2.5 to -0.1) groups. The inclusion of four sessions of ultrasound-guided PENS targeting the axillar and suprascapular nerves into an exercise program did not result in better outcomes in our sample of patients with subacromial pain syndrome at one and three months after treatment.

摘要

经皮电神经刺激(PENS)似乎对治疗肌肉骨骼疼痛有效。本试验的目的是研究在肩峰下疼痛综合征患者中,将PENS添加到运动计划中对残疾和疼痛以及心理方面的影响。进行了一项随机平行组临床试验。60例肩峰下疼痛患者被分为单纯运动组(n = 20)、运动加PENS组(n = 20)或运动加安慰剂PENS组(n = 20)。所有组的患者每天进行两次运动计划,持续3周。分配到PENS组的患者还接受了针对腋神经和肩胛上神经的4次超声引导下的PENS治疗。分配到运动加安慰剂PENS组的患者接受假PENS治疗。主要结局是相关残疾(手臂、肩部和手部残疾,DASH)。次要结局包括平均疼痛、焦虑水平、抑郁症状和睡眠质量。在基线、治疗后1周、1个月和3个月时进行评估。采用意向性分析和混合模型协方差分析进行分析。结果显示,大多数结局在组间无差异(相关残疾:F = 0.292,P = 0.748,η² = 0.011;焦虑:F = 0.780,P = 0.463,η² = 0.027;抑郁症状:F = 0.559,P = 0.575,η² = 0.02;或睡眠质量:F = 0.294,P = 0.747,η² = 0.01);在本研究过程中,两组经历了相似的变化。与单纯运动组(Δ -1.2,95%CI -2.3至-0.1)或安慰剂组(Δ -1.3,95%CI -2.5至-0.1)相比,接受运动加PENS治疗的患者在1个月时肩部疼痛改善更大。在治疗后1个月和3个月时,将针对腋神经和肩胛上神经的4次超声引导下的PENS纳入运动计划,在我们的肩峰下疼痛综合征患者样本中并未产生更好的结局。

https://cdn.ncbi.nlm.nih.gov/pmc/blobs/ecc4/11172917/c6407857ee99/jcm-13-03171-g001.jpg

文献检索

告别复杂PubMed语法,用中文像聊天一样搜索,搜遍4000万医学文献。AI智能推荐,让科研检索更轻松。

立即免费搜索

文件翻译

保留排版,准确专业,支持PDF/Word/PPT等文件格式,支持 12+语言互译。

免费翻译文档

深度研究

AI帮你快速写综述,25分钟生成高质量综述,智能提取关键信息,辅助科研写作。

立即免费体验