• 文献检索
  • 文档翻译
  • 深度研究
  • 学术资讯
  • Suppr Zotero 插件Zotero 插件
  • 邀请有礼
  • 套餐&价格
  • 历史记录
应用&插件
Suppr Zotero 插件Zotero 插件浏览器插件Mac 客户端Windows 客户端微信小程序
定价
高级版会员购买积分包购买API积分包
服务
文献检索文档翻译深度研究API 文档MCP 服务
关于我们
关于 Suppr公司介绍联系我们用户协议隐私条款
关注我们

Suppr 超能文献

核心技术专利:CN118964589B侵权必究
粤ICP备2023148730 号-1Suppr @ 2026

文献检索

告别复杂PubMed语法,用中文像聊天一样搜索,搜遍4000万医学文献。AI智能推荐,让科研检索更轻松。

立即免费搜索

文件翻译

保留排版,准确专业,支持PDF/Word/PPT等文件格式,支持 12+语言互译。

免费翻译文档

深度研究

AI帮你快速写综述,25分钟生成高质量综述,智能提取关键信息,辅助科研写作。

立即免费体验

一种多功能纳米催化金属有机框架作为用于温和热疗光热疗法的铁死亡放大器

A Multifunctional Nanocatalytic Metal-Organic Framework as a Ferroptosis Amplifier for Mild Hyperthermia Photothermal Therapy.

作者信息

Deng Ying, Wang Duo, Zhao Wenhua, Qiu Guanhua, Zhu Xiaoqi, Wang Qin, Qin Tian, Tang Jiali, Jiang Jinghang, Lin Ningjing, Wei Lili, Liu Yichen, Xie Yuan, Chen Jie, Deng Liu, Liu Junjie

机构信息

Department of Medical Ultrasound, Guangxi Medical University Cancer Hospital, Guangxi Medical University, Nanning, Guangxi, China.

Center of Interventional Radiology and Vascular Surgery, Department of Radiology, Zhongda Hospital, Medical School, Southeast University, Nanjing, Jiangsu, China.

出版信息

Research (Wash D C). 2024 Jul 1;7:0397. doi: 10.34133/research.0397. eCollection 2024.

DOI:10.34133/research.0397
PMID:38952997
原文链接:https://pmc.ncbi.nlm.nih.gov/articles/PMC11214948/
Abstract

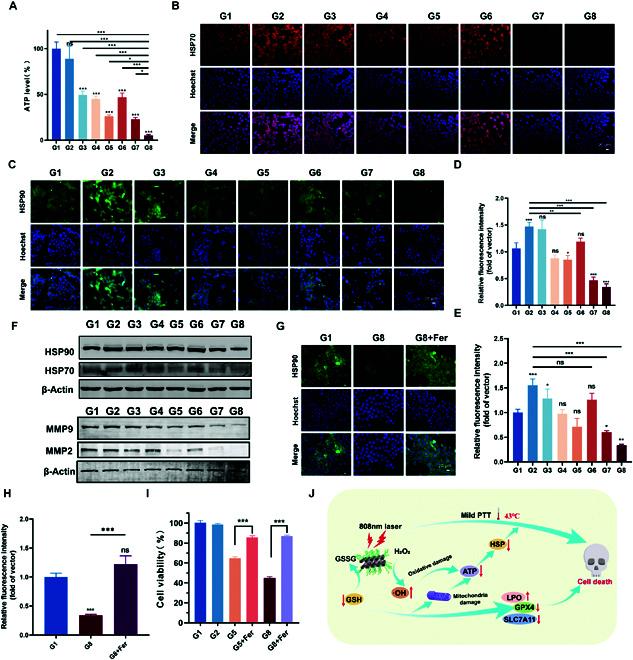
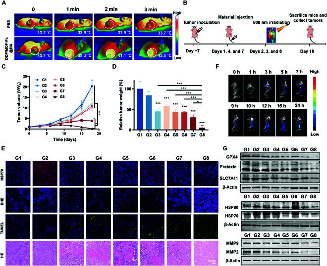
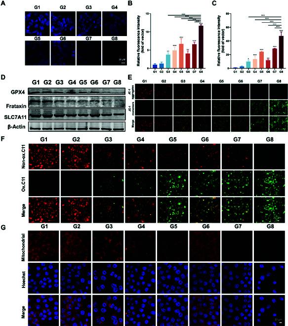
Hyperthermia therapy is considered an effective anticancer strategy. However, high temperature can trigger an excessive inflammatory response, leading to tumor self-protection, immunosuppression, metastasis, and recurrence. To address this issue, we reported a multifunctional photothermal nanoplatform to achieve mild hyperthermia photothermal therapy (mild PTT) based on cisplatin (DDP) and a ferrocene metal-organic framework (MOF-Fc) nanocomposite, which can specifically enhance ferroptosis-triggered oxidative stress levels and synchronously amplify mild hyperthermia PTT-mediated anticancer responses. Both in vitro and in vivo antineoplastic results verify the superiority of mild PTT with DDP/MOF-Fc@HA. The combination of DDP and MOF-Fc exhibits Fenton catalytic activity and glutathione depletion capacity, magnifying mild hyperthermia effects via the radical oxygen species (ROS)-adenosine triphosphate (ATP)-HSP silencing pathway, with important implications for clinical hyperthermia therapy.

摘要

热疗被认为是一种有效的抗癌策略。然而,高温会引发过度的炎症反应,导致肿瘤自我保护、免疫抑制、转移和复发。为了解决这个问题,我们报道了一种基于顺铂(DDP)和二茂铁金属有机框架(MOF-Fc)纳米复合材料的多功能光热纳米平台,以实现温和热光热疗法(温和PTT),该平台可以特异性提高铁死亡引发的氧化应激水平,并同步放大温和热PTT介导的抗癌反应。体外和体内抗肿瘤结果均证实了DDP/MOF-Fc@HA温和PTT的优越性。DDP和MOF-Fc的组合表现出芬顿催化活性和谷胱甘肽消耗能力,通过活性氧(ROS)-三磷酸腺苷(ATP)-热休克蛋白沉默途径放大温和热疗效果,对临床热疗具有重要意义。

https://cdn.ncbi.nlm.nih.gov/pmc/blobs/55c7/11214948/20bd70c2e2ff/research.0397.fig.006.jpg
https://cdn.ncbi.nlm.nih.gov/pmc/blobs/55c7/11214948/1b9aa090069a/research.0397.fig.001.jpg
https://cdn.ncbi.nlm.nih.gov/pmc/blobs/55c7/11214948/e4ce227504cf/research.0397.fig.002.jpg
https://cdn.ncbi.nlm.nih.gov/pmc/blobs/55c7/11214948/4fcb494e3cf4/research.0397.fig.003.jpg
https://cdn.ncbi.nlm.nih.gov/pmc/blobs/55c7/11214948/17577dc0483e/research.0397.fig.004.jpg
https://cdn.ncbi.nlm.nih.gov/pmc/blobs/55c7/11214948/b25b97d1d895/research.0397.fig.005.jpg
https://cdn.ncbi.nlm.nih.gov/pmc/blobs/55c7/11214948/20bd70c2e2ff/research.0397.fig.006.jpg
https://cdn.ncbi.nlm.nih.gov/pmc/blobs/55c7/11214948/1b9aa090069a/research.0397.fig.001.jpg
https://cdn.ncbi.nlm.nih.gov/pmc/blobs/55c7/11214948/e4ce227504cf/research.0397.fig.002.jpg
https://cdn.ncbi.nlm.nih.gov/pmc/blobs/55c7/11214948/4fcb494e3cf4/research.0397.fig.003.jpg
https://cdn.ncbi.nlm.nih.gov/pmc/blobs/55c7/11214948/17577dc0483e/research.0397.fig.004.jpg
https://cdn.ncbi.nlm.nih.gov/pmc/blobs/55c7/11214948/b25b97d1d895/research.0397.fig.005.jpg
https://cdn.ncbi.nlm.nih.gov/pmc/blobs/55c7/11214948/20bd70c2e2ff/research.0397.fig.006.jpg

相似文献

1
A Multifunctional Nanocatalytic Metal-Organic Framework as a Ferroptosis Amplifier for Mild Hyperthermia Photothermal Therapy.一种多功能纳米催化金属有机框架作为用于温和热疗光热疗法的铁死亡放大器
Research (Wash D C). 2024 Jul 1;7:0397. doi: 10.34133/research.0397. eCollection 2024.
2
Treatment of triple negative breast cancer by near infrared light triggered mild-temperature photothermal therapy combined with oxygen-independent cytotoxic free radicals.近红外光触发的温和温度光热疗法联合非氧依赖细胞毒性自由基治疗三阴性乳腺癌。
Acta Biomater. 2022 Aug;148:218-229. doi: 10.1016/j.actbio.2022.06.011. Epub 2022 Jun 12.
3
Based on polydopamine-coated metal organic framework multifunctional nanoplatform for enhanced photothermal/sonodynamicand treatment combined with checkpoint blockade therapy.基于聚多巴胺包覆的金属有机框架多功能纳米平台,用于增强光热/声动力治疗并联合检查点阻断疗法。
Int J Biol Macromol. 2024 Jun;269(Pt 2):132207. doi: 10.1016/j.ijbiomac.2024.132207. Epub 2024 May 7.
4
One Stone Two Birds: Zr-Fc Metal-Organic Framework Nanosheet for Synergistic Photothermal and Chemodynamic Cancer Therapy.一石二鸟:Zr-Fc 金属有机骨架纳米片用于协同光热和化学动力学癌症治疗。
ACS Appl Mater Interfaces. 2020 May 6;12(18):20321-20330. doi: 10.1021/acsami.0c06648. Epub 2020 Apr 27.
5
Ferrocene and glucose oxidase-installed multifunctional hydrogel reactors for local cancer therapy.载二茂铁和葡萄糖氧化酶的多功能水凝胶反应器用于局部癌症治疗。
J Control Release. 2022 Sep;349:617-633. doi: 10.1016/j.jconrel.2022.07.017. Epub 2022 Jul 26.
6
A dual-targeted hyaluronic acid-gold nanorod platform with triple-stimuli responsiveness for photodynamic/photothermal therapy of breast cancer.一种具有三重刺激响应的双靶向透明质酸-金纳米棒平台,用于乳腺癌的光动力/光热治疗。
Acta Biomater. 2019 Jan 1;83:400-413. doi: 10.1016/j.actbio.2018.11.026. Epub 2018 Nov 19.
7
Single-Atom Pd Nanozyme for Ferroptosis-Boosted Mild-Temperature Photothermal Therapy.单原子 Pd 纳米酶用于增强铁死亡的温和温度光热治疗。
Angew Chem Int Ed Engl. 2021 Jun 1;60(23):12971-12979. doi: 10.1002/anie.202101924. Epub 2021 Apr 28.
8
Chemodynamic and Photothermal Combination Therapy Based on Dual-Modified Metal-Organic Framework for Inducing Tumor Ferroptosis/Pyroptosis.基于双修饰金属有机框架的化学动力学和光热联合疗法诱导肿瘤铁死亡/细胞焦亡。
ACS Appl Mater Interfaces. 2022 Jun 1;14(21):24089-24101. doi: 10.1021/acsami.2c00574. Epub 2022 May 19.
9
A multifunctional nanodiamond-based nanoplatform for the enhanced mild-temperature photothermal/chemo combination therapy of triple negative breast cancer via an autophagy regulation strategy.一种基于多功能纳米金刚石的纳米平台,通过自噬调控策略增强三阴性乳腺癌的温和温度光热/化疗联合治疗。
Nanoscale. 2021 Aug 21;13(31):13375-13389. doi: 10.1039/d1nr03161a. Epub 2021 Jul 28.
10
Tumor Microenvironment-Modulated Nanozymes for NIR-II-Triggered Hyperthermia-Enhanced Photo-Nanocatalytic Therapy via Disrupting ROS Homeostasis.肿瘤微环境调控的纳米酶用于近红外二区触发的热疗增强光纳米催化治疗,通过破坏 ROS 平衡。
Int J Nanomedicine. 2021 Jul 5;16:4559-4577. doi: 10.2147/IJN.S309062. eCollection 2021.

引用本文的文献

1
Supramolecular Organic Framework with Multidimensional Storage Spaces for Ultrahigh-Capacity Iodine Capture from Seawater.具有多维存储空间的超分子有机框架用于从海水中超高容量捕获碘
Research (Wash D C). 2025 Feb 7;8:0608. doi: 10.34133/research.0608. eCollection 2025.
2
Near-infrared-triggered copper-doped carbon nitride nanocomposite inducing domino effect for synergistic tumor therapy and immune microenvironment reprogramming.近红外触发的铜掺杂氮化碳纳米复合材料引发多米诺效应以实现协同肿瘤治疗和免疫微环境重编程
Mater Today Bio. 2025 Jul 25;34:102132. doi: 10.1016/j.mtbio.2025.102132. eCollection 2025 Oct.
3

本文引用的文献

1
A Paramagnetic Metal-Organic Framework Enhances Mild Magnetic Hyperthermia Therapy by Downregulating Heat Shock Proteins and Promoting Ferroptosis via Aggravation of Two-Way Regulated Redox Dyshomeostasis.一种顺磁金属有机框架通过加剧双向调节的氧化还原失衡来下调热休克蛋白并促进铁死亡,从而增强温和磁热疗。
Adv Sci (Weinh). 2024 Mar;11(11):e2306178. doi: 10.1002/advs.202306178. Epub 2023 Dec 31.
2
Mild heat treatment in vitro potentiates human adipose stem cells: delayed aging and improved quality for long term culture.体外轻度热处理可增强人脂肪干细胞的活性:延缓衰老并改善长期培养的质量。
Biomater Res. 2023 Nov 27;27(1):122. doi: 10.1186/s40824-023-00448-w.
3
A Multifunctional Fe-EGCG@RSL3 Nanomedicine Synergizes Ferroptosis Induction and Tumor Microenvironment Remodeling for Enhanced Bladder Cancer Immunotherapy.
一种多功能Fe-EGCG@RSL3纳米药物协同诱导铁死亡和重塑肿瘤微环境以增强膀胱癌免疫治疗
Research (Wash D C). 2025 Jun 17;8:0735. doi: 10.34133/research.0735. eCollection 2025.
4
The Common Hallmarks and Interconnected Pathways of Aging, Circadian Rhythms, and Cancer: Implications for Therapeutic Strategies.衰老、昼夜节律和癌症的共同特征及相互关联途径:对治疗策略的启示
Research (Wash D C). 2025 Mar 5;8:0612. doi: 10.34133/research.0612. eCollection 2025.
All-in-One Engineering Multifunctional Nanoplatforms for Sensitizing Tumor Low-Temperature Photothermal Therapy In Vivo.
用于体内敏化肿瘤低温光热治疗的一体化工程多功能纳米平台。
ACS Nano. 2023 Oct 24;17(20):20218-20236. doi: 10.1021/acsnano.3c05991. Epub 2023 Oct 15.
4
Mitochondria-specific nanocatalysts for chemotherapy-augmented sequential chemoreactive tumor therapy.用于化疗增强序贯化学活性肿瘤治疗的线粒体特异性纳米催化剂
Exploration (Beijing). 2021 Sep 1;1(1):50-60. doi: 10.1002/EXP.20210149. eCollection 2021 Aug.
5
Manganese carbonate nanoparticles-mediated mitochondrial dysfunction for enhanced sonodynamic therapy.碳酸锰纳米颗粒介导的线粒体功能障碍用于增强声动力治疗
Exploration (Beijing). 2021 Sep 30;1(2):20210010. doi: 10.1002/EXP.20210010. eCollection 2021 Oct.
6
Macrophage-inherited exosome excise tumor immunosuppression to expedite immune-activated ferroptosis.巨噬细胞继承的外泌体切除肿瘤免疫抑制作用,以加速免疫激活的铁死亡。
J Immunother Cancer. 2023 May;11(5). doi: 10.1136/jitc-2022-006516.
7
An injectable and active hydrogel induces mutually enhanced mild magnetic hyperthermia and ferroptosis.一种可注射的、有活性的水凝胶诱导相互增强的温和磁热疗和铁死亡。
Biomaterials. 2023 Jul;298:122139. doi: 10.1016/j.biomaterials.2023.122139. Epub 2023 Apr 27.
8
Ablation of Gap Junction Protein Improves the Efficiency of Nanozyme-Mediated Catalytic/Starvation/Mild-Temperature Photothermal Therapy.缝隙连接蛋白消融提高了纳米酶介导的催化/饥饿/温和温度光热治疗的效率。
Adv Mater. 2023 Jun;35(22):e2210464. doi: 10.1002/adma.202210464. Epub 2023 Apr 7.
9
Extracellular Matrix Viscosity Reprogramming by In Situ Au Bioreactor-Boosted Microwavegenetics Disables Tumor Escape in CAR-T Immunotherapy.原位 Au 生物反应器增强微波遗传学重塑细胞外基质黏度,使 CAR-T 免疫疗法中的肿瘤逃逸失效。
ACS Nano. 2023 Mar 28;17(6):5503-5516. doi: 10.1021/acsnano.2c10845. Epub 2023 Mar 14.
10
Role of HIKESHI on Hyperthermia for Castration-Resistant Prostate Cancer and Application of a Novel Magnetic Nanoparticle with Carbon Nanohorn for Magnetic Hyperthermia.徒步者(HIKESHI)在去势抵抗性前列腺癌热疗中的作用以及一种新型碳纳米角磁性纳米颗粒在磁热疗中的应用。
Pharmaceutics. 2023 Feb 13;15(2):626. doi: 10.3390/pharmaceutics15020626.