Suppr超能文献

巴西圣马克斯树蜂原蜂胶水提物抗寨卡、基孔肯雅和马雅罗病毒的抗病毒作用。

Antiviral action of aqueous extracts of propolis from Scaptotrigona aff. postica (Hymenoptera; Apidae) against Zica, Chikungunya, and Mayaro virus.

机构信息

Laboratory of Parasitology, Butantan Institute, São Paulo, Brazil.

Laboratory for Applied Toxinology (LETA), Center of Toxins, Immune-Response and Cell Signaling (CeTICS/CEPID), Butantan Institute, São Paulo, Brazil.

出版信息

Sci Rep. 2024 Jul 3;14(1):15289. doi: 10.1038/s41598-024-65636-7.

Abstract

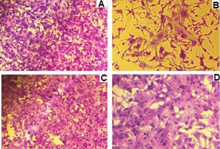
The limited availability of antivirals for new highly pathogenic strains of virus has become a serious public health. Therefore, news products against these pathogens has become an urgent necessity. Among the multiple sources for news antibiotics and antivirals, insect exudates or their products has become an increasingly frequent option. Insects emerged 350 million years ago and have showed a high adaptability and resistance to the most varied biomes. Their survival for so long, in such different environments, is an indication that they have a very efficient protection against environmental infections, despite not having a developed immune system like mammals. Since the ancient civilizations, the products obtained from the bee have been of great pharmacological importance, being used as antimicrobial, anti-inflammatory, antitumor and several other functions. Investigations of biological activity of propolis have been carried out, mainly in the species Apis mellifera, and its product have showed activity against some important viruses. However, for the Meliponini species, known as stingless bees, there are few studies, either on their chemical composition or on their biological activities. The importance of studying these bees is because they come from regions with native forests, and therefore with many species of plants not yet studied, in addition to which they are regions still free of pesticides, which guarantees a greater fidelity of the obtained data. Previous studies by our group with crude hydroalcoholic extract of propolis demonstrated an intense antiviral activity against Herpes, influenza, and rubella viruses. In this work, we chose to use aqueous extracts, which eliminates the presence of other compounds besides those originally present in propolis, in addition to extracting substances different from those obtained in alcoholic extracts. Therefore, this study aimed to identify, isolate and characterize compounds with antiviral effects from aqueous propolis extracts from Scaptotrigona aff postica, in emerging viruses such as zicavirus, chikungunya, and mayaro virus. The evaluation of the antiviral activity of the crude and purified material was performed by reducing infectious foci in VERO cell cultures. The results obtained with crude propolis, indicate a high reduction of zica virus (64×) and mayaro (128×) when was used 10% v/v of propolis. The reduction of chikungunya virus was of 256 fold, even when was used 5% v/v of propolis. The chemical characterization of the compounds present in the extracts was performed by high-pressure liquid chromatography. Through the purification of propolis by HPLC and mass spectrometry, it was possible to identify and isolate a peak with antiviral activity. This substance showed activity against all viruses tested. When purified fraction was used, the reduction observed was of 16 fold for zicavirus, 32 fold for mayaro virus and 512 fold for chikungunya virus. Likewise, it was observed that the antiviral response was concentration dependent, being more intense when propolis was added 2 h after the viral infection. Now we are carrying out the chemical characterization of the purified compounds that showed antiviral action.

摘要

新型高致病性病毒的抗病毒药物供应有限,已成为严重的公共卫生问题。因此,开发针对这些病原体的新药已成为当务之急。在寻找新抗生素和抗病毒药物的多种来源中,昆虫分泌物或其产品已成为越来越常见的选择。昆虫出现在 3.5 亿年前,对各种生物群落表现出高度的适应性和抵抗力。它们在如此不同的环境中生存了这么长时间,表明它们对环境感染有非常有效的保护,尽管它们没有像哺乳动物那样发达的免疫系统。自古以来,从蜜蜂身上获得的产品就具有重要的药理学意义,被用作抗菌、抗炎、抗肿瘤等多种功能。对蜂胶的生物活性进行了研究,主要是在蜜蜂属物种中,其产品对一些重要病毒表现出活性。然而,对于被称为无刺蜜蜂的梅利皮尼物种,对其化学成分或生物活性的研究很少。研究这些蜜蜂的重要性在于,它们来自拥有原始森林的地区,因此有许多尚未研究的植物物种,此外,这些地区还没有使用农药,这保证了获得的数据更可靠。我们小组之前使用粗制的蜂胶水醇提取物对疱疹、流感和风疹病毒进行的研究表明,其具有强烈的抗病毒活性。在这项工作中,我们选择使用水提物,除了提取醇提物中原本存在的物质外,还可以去除其他化合物,此外,还可以提取出与醇提物不同的物质。因此,本研究旨在从 Scaptotrigona aff postica 的水提蜂胶中鉴定、分离和表征具有抗病毒作用的化合物,用于研究新兴病毒,如齐卡病毒、基孔肯雅热病毒和马亚罗病毒。通过在 VERO 细胞培养物中减少感染灶来评估粗提取物和纯化材料的抗病毒活性。结果表明,使用 10%v/v 的蜂胶时,齐卡病毒(64×)和马亚罗病毒(128×)的减少率很高。当使用 5%v/v 的蜂胶时,基孔肯雅热病毒的减少率为 256 倍。通过高效液相色谱对提取物中存在的化合物进行了化学表征。通过高效液相色谱和质谱对蜂胶进行纯化,我们可以鉴定和分离出具有抗病毒活性的峰。该物质对所有测试的病毒均表现出活性。当使用纯化的部分时,观察到的齐卡病毒的减少率为 16 倍,马亚罗病毒的减少率为 32 倍,基孔肯雅热病毒的减少率为 512 倍。同样,观察到抗病毒反应呈浓度依赖性,当在病毒感染后 2 小时加入蜂胶时,反应更强烈。现在我们正在对表现出抗病毒作用的纯化化合物进行化学表征。

https://cdn.ncbi.nlm.nih.gov/pmc/blobs/4bf0/11222429/c3d17cbd6797/41598_2024_65636_Fig1_HTML.jpg

文献AI研究员

20分钟写一篇综述,助力文献阅读效率提升50倍。

立即体验

用中文搜PubMed

大模型驱动的PubMed中文搜索引擎

马上搜索

文档翻译

学术文献翻译模型,支持多种主流文档格式。

立即体验