Suppr超能文献

一名新冠肺炎患者同时发生门静脉血栓形成和脾静脉血栓形成:病例报告及文献综述

Simultaneous portal vein thrombosis and splenic vein thrombosis in a COVID-19 patient: A case report and review of literature.

作者信息

Abramowitz Binyamin Ravina, Coles Michael, Aytaman Ayse, Chander-Roland Bani, DiLeo Daniel Anthony

机构信息

Department of Gastroenterology and Hepatology, SUNY Downstate Health Sciences University, Brooklyn, NY 11203, United States.

Department of Gastroenterology and Hepatology, Brooklyn Campus of the Veterans Affairs New York Harbor Healthcare System, Brooklyn, NY 11209, United States.

出版信息

World J Clin Cases. 2024 Jun 26;12(18):3561-3566. doi: 10.12998/wjcc.v12.i18.3561.

Abstract

BACKGROUND

It is well-described that the coronavirus disease 2019 (COVID-19) infection is associated with an increased risk of thrombotic complications. While there have been many cases of pulmonary emboli and deep vein thrombosis in these patients, reports of COVID-19 associated portal vein thrombosis (PVT) have been uncommon. We present a unique case of concomitant PVT and splenic artery thrombosis in a COVID-19 patient.

CASE SUMMARY

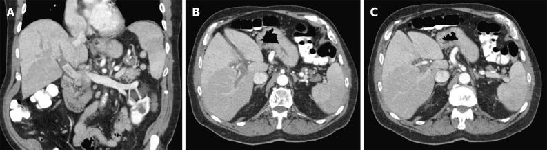
A 77-year-old-male with no history of liver disease presented with three days of left-sided abdominal pain. One week earlier, the patient was diagnosed with mildly symptomatic COVID-19 and was treated with nirmatrelvir/ritonavir. Physical exam revealed mild right and left lower quadrant tenderness, but was otherwise unremarkable. Significant laboratory findings included white blood cell count 12.5 K/μL, total bilirubin 1.6 mg/dL, aminoaspartate transferase 40 U/L, and alanine aminotransferase 61 U/L. Computed tomography of the abdomen and pelvis revealed acute PVT with thrombus extending from the distal portion of the main portal vein into the right and left branches. Also noted was a thrombus within the distal portion of the splenic artery with resulting splenic infarct. Hypercoagulable workup including prothrombin gene analysis, factor V Leiden, cardiolipin antibody, and JAK2 mutation were all negative. Anticoagulation with enoxaparin was initiated, and the patient's pain improved. He was discharged on apixaban.

CONCLUSION

It is quite uncommon for PVT to present simultaneously with an arterial thrombotic occlusion, as in the case of our patient. Unusual thrombotic manifestations are classically linked to hypercoagulable states including malignancy and hereditary and autoimmune disorders. Viral infections such as Epstein-Barr virus, cytomegalovirus, viral hepatitis, and COVID-19 have all been found to increase the risk of splanchnic venous occlusions, including PVT. In our patient, prompt abdominal imaging led to early detection of thrombus, early treatment, and an excellent outcome. This case is unique in that it is the second known case within the literature of simultaneous PVT and splenic artery thrombosis in a COVID-19 patient.

摘要

背景

已有充分描述表明,2019冠状病毒病(COVID-19)感染与血栓形成并发症风险增加相关。虽然这些患者中出现了许多肺栓塞和深静脉血栓形成的病例,但COVID-19相关门静脉血栓形成(PVT)的报告并不常见。我们报告一例COVID-19患者同时发生PVT和脾动脉血栓形成的独特病例。

病例摘要

一名77岁男性,无肝脏疾病史,出现左侧腹痛3天。一周前,该患者被诊断为症状轻微的COVID-19,并接受了奈玛特韦/利托那韦治疗。体格检查发现右下腹和左下腹轻度压痛,其他方面无异常。重要的实验室检查结果包括白细胞计数12.5K/μL、总胆红素1.6mg/dL、天门冬氨酸氨基转移酶40U/L和丙氨酸氨基转移酶61U/L。腹部和盆腔计算机断层扫描显示急性PVT,血栓从门静脉主干远端延伸至左右分支。还注意到脾动脉远端有血栓形成,导致脾梗死。包括凝血酶原基因分析、因子V莱顿、心磷脂抗体和JAK2突变在内的高凝检查均为阴性。开始使用依诺肝素进行抗凝治疗,患者的疼痛有所改善。他出院时服用阿哌沙班。

结论

如我们的患者病例所示,PVT与动脉血栓闭塞同时出现的情况相当罕见。不寻常的血栓形成表现通常与高凝状态有关,包括恶性肿瘤、遗传性和自身免疫性疾病。已发现诸如爱泼斯坦-巴尔病毒、巨细胞病毒、病毒性肝炎和COVID-19等病毒感染会增加内脏静脉闭塞的风险,包括PVT。在我们的患者中,及时的腹部成像导致血栓的早期发现、早期治疗和良好的预后。该病例独特之处在于,它是文献中已知的第二例COVID-19患者同时发生PVT和脾动脉血栓形成的病例。

https://cdn.ncbi.nlm.nih.gov/pmc/blobs/2e73/11229906/01f3d30a178a/WJCC-12-3561-g001.jpg

文献AI研究员

20分钟写一篇综述,助力文献阅读效率提升50倍。

立即体验

用中文搜PubMed

大模型驱动的PubMed中文搜索引擎

马上搜索

文档翻译

学术文献翻译模型,支持多种主流文档格式。

立即体验