Suppr超能文献

冠状动脉扩张:病例报告与文献综述

Coronary Artery Ectasia: Case Reports and Literature Review.

作者信息

Lamtai Mouad, Fihri Youssef, Faid Soumia, Nabil Laktib, Britel Driss, Faliouni Hicham, Mouine Najat, Lakhal Zouhair, Benyass Aatif

机构信息

Cardiology Center, Military Hospital Mohamed V, Rabat, MAR.

出版信息

Cureus. 2024 Jun 9;16(6):e62011. doi: 10.7759/cureus.62011. eCollection 2024 Jun.

Abstract

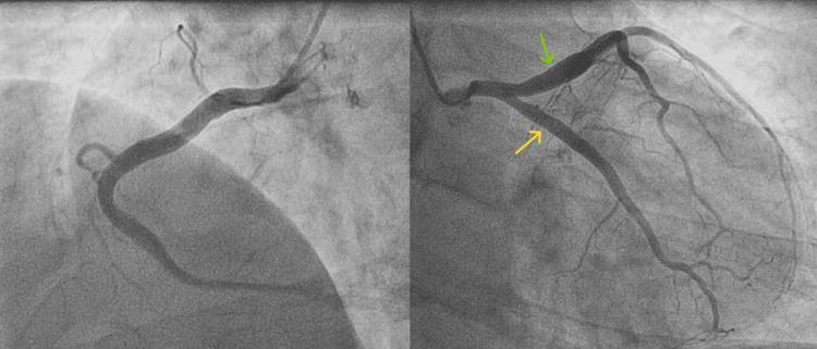
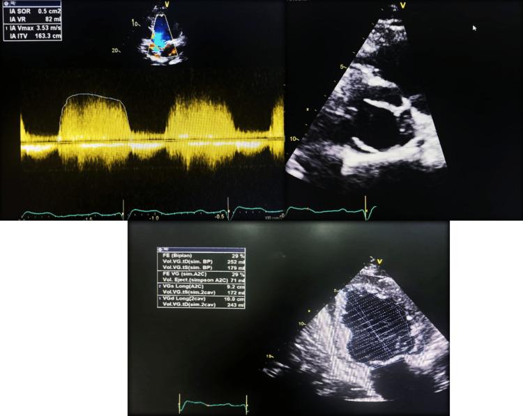
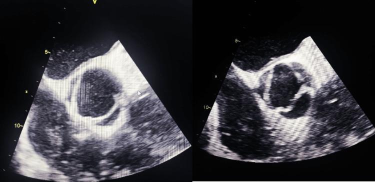
Coronary artery ectasia (CAE) is a rare condition, affecting 3%-8% of patients with atherosclerotic coronary artery disease, and is characterized by the abnormal dilatation of the coronary arteries. While the etiology of coronary artery ectasia encompasses a myriad of acquired and genetic factors, its pathogenesis still remains a subject of investigation. The clinical manifestations are varied, ranging from asymptomatic cases to chest angina and myocardial infarction. Coronary angiography remains the gold standard for diagnosing CAE. We herein report four cases of coronary ectasia: the first involving myocardial infarction, the second associated with bicuspid aortic valve with severe aortic regurgitation, the third detected during coronary angiography for moderate left ventricular dysfunction, and the last one detected during coronary angiography for stable angina. The aims of our study are to highlight the diversity of clinical presentations as well as the challenge of management, given that there are no universal treatments or guidelines.

摘要

冠状动脉扩张(CAE)是一种罕见病症,在动脉粥样硬化性冠状动脉疾病患者中占3%-8%,其特征为冠状动脉异常扩张。虽然冠状动脉扩张的病因包括众多后天因素和遗传因素,但其发病机制仍是一个研究课题。临床表现多样,从无症状病例到心绞痛和心肌梗死不等。冠状动脉造影仍然是诊断CAE的金标准。我们在此报告4例冠状动脉扩张病例:第一例伴有心肌梗死,第二例与二叶式主动脉瓣伴严重主动脉瓣反流相关,第三例在冠状动脉造影时因中度左心室功能障碍被检测出,最后一例在冠状动脉造影时因稳定型心绞痛被检测出。鉴于目前尚无通用的治疗方法或指南,我们研究的目的是强调临床表现的多样性以及管理方面的挑战。

https://cdn.ncbi.nlm.nih.gov/pmc/blobs/07c5/11233094/6fd57884c51c/cureus-0016-00000062011-i01.jpg

文献AI研究员

20分钟写一篇综述,助力文献阅读效率提升50倍。

立即体验

用中文搜PubMed

大模型驱动的PubMed中文搜索引擎

马上搜索

文档翻译

学术文献翻译模型,支持多种主流文档格式。

立即体验