Suppr超能文献

强直性脊柱炎患者的眼眶多普勒超声检查评估:一项前瞻性研究。

Orbital Doppler ultrasonography evaluation in patients with ankylosing spondylitis: A prospective study.

作者信息

Sevinc Omer Faruk, Alimoglu Sibel Alisan, Turk Sumeyye Merve, Gonullu Emel, Taydas Onur

机构信息

Department of Radiology, Sakarya University Faculty of Medicine, Sakarya, Turkiye.

Department of Ophthalmology, Sakarya University Faculty of Medicine, Sakarya, Turkiye.

出版信息

North Clin Istanb. 2024 Jun 26;11(3):208-212. doi: 10.14744/nci.2023.54514. eCollection 2024.

Abstract

OBJECTIVE

Our aim in this study is to compare patients with ankylosing spondylitis (AS), a rheumatologic disease that can cause eye involvement and the normal population in terms of orbital Doppler findings, which is an inexpensive and easily applicable method that can be used in early diagnosis and follow-up.

METHODS

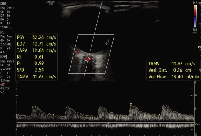
The study was planned prospectively. The data of patients with AS were compared to those of age- and gender-matched healthy volunteers. A total of 42 participants, 23 (54.8%) males and 19 (45.2%) females, with a mean age of 42.4±12.6 years were included in the study. In addition to demographic information, such as age and gender, the diameter, peak systolic velocity, end-diastolic velocity, mean velocity, resistive index, pulsatility index, and blood flow volumes of the central retinal artery of the left eye were measured using spectral Doppler ultrasonography.

RESULTS

According to the comparison of the patients with and without AS according to orbital Doppler ultrasonography findings, the mean velocity, resistive index, and volume measurements of the patients with AS were significantly higher than those without AS (p=0.028, p=0.039, and p=0.038, respectively). However, in the subgroup analysis of the AS group, the Doppler findings did not significantly differ between the patients with and without anterior uveitis.

CONCLUSION

In the patient group with AS, independent of anterior uveitis (AU), there was a difference in Doppler parameters and therefore in ophthalmic vasculature. In patients with AS, orbital vascularity changes can be detected with orbital Doppler US before clinical signs appear.

摘要

目的

本研究旨在比较强直性脊柱炎(AS)患者与正常人群的眼眶多普勒检查结果。AS是一种可导致眼部受累的风湿性疾病,而眼眶多普勒检查是一种廉价且易于应用的方法,可用于早期诊断和随访。

方法

本研究为前瞻性规划。将AS患者的数据与年龄和性别匹配的健康志愿者的数据进行比较。共有42名参与者纳入研究,其中男性23名(54.8%),女性19名(45.2%),平均年龄为42.4±12.6岁。除年龄和性别等人口统计学信息外,使用频谱多普勒超声测量左眼视网膜中央动脉的直径、收缩期峰值流速、舒张末期流速、平均流速、阻力指数、搏动指数和血流量。

结果

根据眼眶多普勒超声检查结果对AS患者和非AS患者进行比较,AS患者的平均流速、阻力指数和血流量测量值显著高于非AS患者(分别为p=0.028、p=0.039和p=0.038)。然而,在AS组的亚组分析中,有无前葡萄膜炎的患者之间多普勒检查结果无显著差异。

结论

在AS患者组中,无论有无前葡萄膜炎(AU),多普勒参数均存在差异,因此眼部血管系统也存在差异。在AS患者中,在临床体征出现之前,眼眶多普勒超声可检测到眼眶血管变化。

https://cdn.ncbi.nlm.nih.gov/pmc/blobs/c12c/11237827/2be46a447d6e/NCI-11-208-g001.jpg

文献检索

告别复杂PubMed语法,用中文像聊天一样搜索,搜遍4000万医学文献。AI智能推荐,让科研检索更轻松。

立即免费搜索

文件翻译

保留排版,准确专业,支持PDF/Word/PPT等文件格式,支持 12+语言互译。

免费翻译文档

深度研究

AI帮你快速写综述,25分钟生成高质量综述,智能提取关键信息,辅助科研写作。

立即免费体验