• 文献检索
  • 文档翻译
  • 深度研究
  • 学术资讯
  • Suppr Zotero 插件Zotero 插件
  • 邀请有礼
  • 套餐&价格
  • 历史记录
应用&插件
Suppr Zotero 插件Zotero 插件浏览器插件Mac 客户端Windows 客户端微信小程序
定价
高级版会员购买积分包购买API积分包
服务
文献检索文档翻译深度研究API 文档MCP 服务
关于我们
关于 Suppr公司介绍联系我们用户协议隐私条款
关注我们

Suppr 超能文献

核心技术专利:CN118964589B侵权必究
粤ICP备2023148730 号-1Suppr @ 2026

文献检索

告别复杂PubMed语法,用中文像聊天一样搜索,搜遍4000万医学文献。AI智能推荐,让科研检索更轻松。

立即免费搜索

文件翻译

保留排版,准确专业,支持PDF/Word/PPT等文件格式,支持 12+语言互译。

免费翻译文档

深度研究

AI帮你快速写综述,25分钟生成高质量综述,智能提取关键信息,辅助科研写作。

立即免费体验

载脂蛋白L3通过P53途径抑制乳腺癌增殖并调节细胞周期。

Apolipoprotein L3 inhibits breast cancer proliferation and modulates cell cycle via the P53 pathway.

作者信息

Yu Hao, Li Siyan, Li Xing, Liu Yanbiao, Wang Zhaobu, Cui Mengyao, Jin Feng, Yu Xinmiao

机构信息

Department of Breast Surgery, The 1st Affiliated Hospital of China Medical University, Shenyang, Liaoning, China.

出版信息

J Cancer. 2024 Jul 2;15(14):4623-4635. doi: 10.7150/jca.96903. eCollection 2024.

DOI:10.7150/jca.96903
PMID:39006089
原文链接:https://pmc.ncbi.nlm.nih.gov/articles/PMC11242351/
Abstract

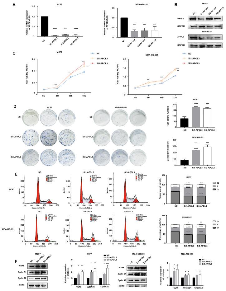
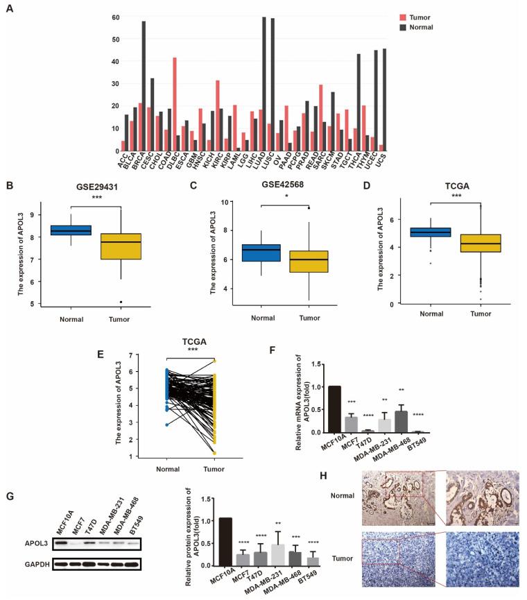
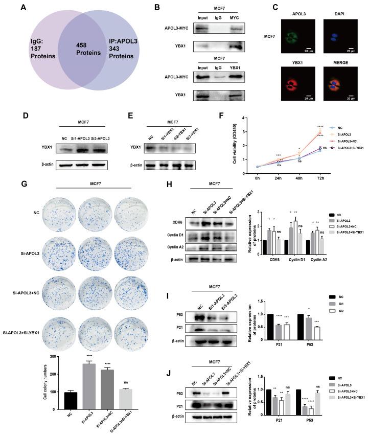
Breast cancer is the second most common cause of cancer-related mortality globally. Apolipoprotein L3 (APOL3), a member of the apolipoprotein family, has been implicated in the pathogenesis of cardiovascular diseases. Nevertheless, the functions and underlying mechanisms of APOL3 in breast cancer have yet to be elucidated. The patient data were sourced from The Cancer Genome Atlas (TCGA) and Gene Expression Omnibus (GEO) database. Quantitative real-time PCR (qRT-PCR), western blotting, and immunohistochemistry (IHC) assays were used to assess expression of APOL3. Cell proliferation rates were determined by Cell Counting Kit-8 (CCK-8) and colony formation assays. Flow cytometry was used to examine cell cycle distribution. Western blotting was conducted to investigate the expression of cell cycle related proteins. A xenograft model was used to evaluate the effect of APOL3 . APOL3-binding proteins were identified through mass spectrometry, co-immunoprecipitation (CO-IP) assay and immunofluorescence assay. APOL3 expression was significantly downregulated in breast cancer, and its low expression was correlated with poor prognostic outcomes. Overexpression of APOL3 suppressed breast cancer cell proliferation, induced cell cycle disruption. Conversely, knockdown of APOL3 promoted cell proliferation. animal experiments demonstrated that APOL3 overexpression can inhibit tumor proliferation. Mass spectrometry, CO-IP and immunofluorescence assay confirmed the interaction between APOL3 and Y-box binding protein 1 (YBX1). Furthermore, YBX1 knockdown following APOL3 knockdown mitigated the enhanced proliferation. These results provide new ideas for clinically targeting APOL3 to inhibit proliferation in breast cancer. Our findings indicate that APOL3 inhibits breast cancer cell proliferation and cell cycle modulating P53 pathway through the interaction of YBX1.

摘要

乳腺癌是全球癌症相关死亡的第二大常见原因。载脂蛋白L3(APOL3)是载脂蛋白家族的一员,与心血管疾病的发病机制有关。然而,APOL3在乳腺癌中的功能和潜在机制尚未阐明。患者数据来自癌症基因组图谱(TCGA)和基因表达综合数据库(GEO)。采用定量实时聚合酶链反应(qRT-PCR)、蛋白质免疫印迹法和免疫组织化学(IHC)分析来评估APOL3的表达。通过细胞计数试剂盒-8(CCK-8)和集落形成试验测定细胞增殖率。采用流式细胞术检测细胞周期分布。进行蛋白质免疫印迹法以研究细胞周期相关蛋白的表达。使用异种移植模型评估APOL3的作用。通过质谱分析、免疫共沉淀(CO-IP)试验和免疫荧光试验鉴定APOL3结合蛋白。APOL3在乳腺癌中表达明显下调,其低表达与不良预后结果相关。APOL3的过表达抑制乳腺癌细胞增殖,诱导细胞周期紊乱。相反,敲低APOL3可促进细胞增殖。动物实验表明,APOL3过表达可抑制肿瘤增殖。质谱分析、CO-IP和免疫荧光试验证实了APOL3与Y盒结合蛋白1(YBX1)之间的相互作用。此外,在敲低APOL3后敲低YBX1可减轻增殖增强。这些结果为临床上靶向APOL3抑制乳腺癌增殖提供了新思路。我们的研究结果表明,APOL3通过与YBX1相互作用抑制乳腺癌细胞增殖并调节细胞周期的P53途径。

https://cdn.ncbi.nlm.nih.gov/pmc/blobs/de6a/11242351/ce581c34e63b/jcav15p4623g007.jpg
https://cdn.ncbi.nlm.nih.gov/pmc/blobs/de6a/11242351/34b61a428ed0/jcav15p4623g001.jpg
https://cdn.ncbi.nlm.nih.gov/pmc/blobs/de6a/11242351/696df5211cc1/jcav15p4623g002.jpg
https://cdn.ncbi.nlm.nih.gov/pmc/blobs/de6a/11242351/839885552bed/jcav15p4623g003.jpg
https://cdn.ncbi.nlm.nih.gov/pmc/blobs/de6a/11242351/b664471fd449/jcav15p4623g004.jpg
https://cdn.ncbi.nlm.nih.gov/pmc/blobs/de6a/11242351/b571c21a0929/jcav15p4623g005.jpg
https://cdn.ncbi.nlm.nih.gov/pmc/blobs/de6a/11242351/b9fde4cdc171/jcav15p4623g006.jpg
https://cdn.ncbi.nlm.nih.gov/pmc/blobs/de6a/11242351/ce581c34e63b/jcav15p4623g007.jpg
https://cdn.ncbi.nlm.nih.gov/pmc/blobs/de6a/11242351/34b61a428ed0/jcav15p4623g001.jpg
https://cdn.ncbi.nlm.nih.gov/pmc/blobs/de6a/11242351/696df5211cc1/jcav15p4623g002.jpg
https://cdn.ncbi.nlm.nih.gov/pmc/blobs/de6a/11242351/839885552bed/jcav15p4623g003.jpg
https://cdn.ncbi.nlm.nih.gov/pmc/blobs/de6a/11242351/b664471fd449/jcav15p4623g004.jpg
https://cdn.ncbi.nlm.nih.gov/pmc/blobs/de6a/11242351/b571c21a0929/jcav15p4623g005.jpg
https://cdn.ncbi.nlm.nih.gov/pmc/blobs/de6a/11242351/b9fde4cdc171/jcav15p4623g006.jpg
https://cdn.ncbi.nlm.nih.gov/pmc/blobs/de6a/11242351/ce581c34e63b/jcav15p4623g007.jpg

相似文献

1
Apolipoprotein L3 inhibits breast cancer proliferation and modulates cell cycle via the P53 pathway.载脂蛋白L3通过P53途径抑制乳腺癌增殖并调节细胞周期。
J Cancer. 2024 Jul 2;15(14):4623-4635. doi: 10.7150/jca.96903. eCollection 2024.
2
Downregulation of CPT2 promotes proliferation and inhibits apoptosis through p53 pathway in colorectal cancer.CPT2的下调通过p53通路促进结直肠癌的增殖并抑制其凋亡。
Cell Signal. 2022 Apr;92:110267. doi: 10.1016/j.cellsig.2022.110267. Epub 2022 Jan 30.
3
Urocortin-1 promotes colorectal cancer cell migration and proliferation and inhibits apoptosis via inhibition of the p53 signaling pathway.尿皮质素-1 通过抑制 p53 信号通路促进结直肠癌细胞迁移、增殖和抑制凋亡。
J Cancer Res Clin Oncol. 2024 Mar 28;150(3):163. doi: 10.1007/s00432-024-05693-7.
4
Intratumor APOL3 delineates a distinctive immunogenic ferroptosis subset with prognosis prediction in colorectal cancer.肿瘤内 APOL3 划定了具有预后预测能力的独特免疫原性铁死亡亚群,该亚群存在于结直肠癌中。
Cancer Sci. 2024 Jan;115(1):257-269. doi: 10.1111/cas.16009. Epub 2023 Nov 20.
5
CTPS1 promotes malignant progression of triple-negative breast cancer with transcriptional activation by YBX1.CTPS1 通过 YBX1 的转录激活促进三阴性乳腺癌的恶性进展。
J Transl Med. 2022 Jan 6;20(1):17. doi: 10.1186/s12967-021-03206-5.
6
Knockdown of tripartite motif 59 (TRIM59) inhibits proliferation in cholangiocarcinoma via the PI3K/AKT/mTOR signalling pathway.三结构域蛋白 59(TRIM59)的敲低通过 PI3K/AKT/mTOR 信号通路抑制胆管癌细胞的增殖。
Gene. 2019 May 25;698:50-60. doi: 10.1016/j.gene.2019.02.044. Epub 2019 Feb 27.
7
Function of AXL and molecular mechanisms in regulation of nasopharyngeal carcinoma.AXL 的功能及其对鼻咽癌的调控的分子机制。
Zhong Nan Da Xue Xue Bao Yi Xue Ban. 2022 Jun 28;47(6):685-697. doi: 10.11817/j.issn.1672-7347.2022.210786.
8
Downregulation of the FBXO43 gene inhibits tumor growth in human breast cancer by limiting its interaction with PCNA.下调 FBXO43 基因通过限制其与 PCNA 的相互作用抑制人乳腺癌肿瘤生长。
J Transl Med. 2021 Oct 13;19(1):425. doi: 10.1186/s12967-021-03100-0.
9
BTNL9 is frequently downregulated and inhibits proliferation and metastasis via the P53/CDC25C and P53/GADD45 pathways in breast cancer.BTNL9 常被下调,通过 P53/CDC25C 和 P53/GADD45 通路抑制乳腺癌的增殖和转移。
Biochem Biophys Res Commun. 2021 May 14;553:17-24. doi: 10.1016/j.bbrc.2021.03.022. Epub 2021 Mar 20.
10
RNA-binding protein YBX1 promotes cell proliferation and invasiveness of nasopharyngeal carcinoma cells binding to AURKA mRNA.RNA 结合蛋白 YBX1 通过与 AURKA mRNA 结合促进鼻咽癌细胞的增殖和侵袭。
J Cancer. 2021 Apr 7;12(11):3315-3324. doi: 10.7150/jca.56262. eCollection 2021.

本文引用的文献

1
Identification and validation of an immunotherapeutic signature for colon cancer based on the regulatory patterns of ferroptosis and their association with the tumor microenvironment.基于铁死亡调控模式及其与肿瘤微环境相关性的结直肠癌免疫治疗特征的鉴定和验证。
Biochim Biophys Acta Mol Cell Res. 2024 Apr;1871(4):119698. doi: 10.1016/j.bbamcr.2024.119698. Epub 2024 Feb 20.
2
Apolipoprotein L3 enhances CD8+ T cell antitumor immunity of colorectal cancer by promoting LDHA-mediated ferroptosis.载脂蛋白 L3 通过促进 LDHA 介导的铁死亡增强结直肠癌 CD8+T 细胞抗肿瘤免疫。
Int J Biol Sci. 2023 Feb 13;19(4):1284-1298. doi: 10.7150/ijbs.74985. eCollection 2023.
3
FCN3 inhibits the progression of hepatocellular carcinoma by suppressing SBDS-mediated blockade of the p53 pathway.
FCN3 通过抑制 SBDS 介导的 p53 通路阻断来抑制肝细胞癌的进展。
Int J Biol Sci. 2023 Jan 1;19(2):362-376. doi: 10.7150/ijbs.69784. eCollection 2023.
4
Circadian regulator BMAL1::CLOCK promotes cell proliferation in hepatocellular carcinoma by controlling apoptosis and cell cycle.生物钟调节因子 BMAL1::CLOCK 通过调控细胞凋亡和细胞周期促进肝癌细胞增殖。
Proc Natl Acad Sci U S A. 2023 Jan 10;120(2):e2214829120. doi: 10.1073/pnas.2214829120. Epub 2023 Jan 3.
5
Identification of Ten-Gene Related to Lipid Metabolism for Predicting Overall Survival of Breast Invasive Carcinoma.鉴定与脂代谢相关的十个基因,用于预测乳腺浸润性癌的总生存期。
Contrast Media Mol Imaging. 2022 Jul 11;2022:8348780. doi: 10.1155/2022/8348780. eCollection 2022.
6
Long non‑coding RNA CASC11 interacts with YBX1 to promote prostate cancer progression by suppressing the p53 pathway.长非编码 RNA CASC11 与 YBX1 相互作用,通过抑制 p53 通路促进前列腺癌的进展。
Int J Oncol. 2022 Sep;61(3). doi: 10.3892/ijo.2022.5400. Epub 2022 Jul 29.
7
Long noncoding RNA Linc01612 represses hepatocellular carcinoma progression by regulating miR-494/ATF3/p53 axis and promoting ubiquitination of YBX1.长链非编码 RNA Linc01612 通过调控 miR-494/ATF3/p53 轴并促进 YBX1 的泛素化来抑制肝癌进展。
Int J Biol Sci. 2022 Apr 11;18(7):2932-2948. doi: 10.7150/ijbs.69514. eCollection 2022.
8
Cancer statistics, 2022.癌症统计数据,2022 年。
CA Cancer J Clin. 2022 Jan;72(1):7-33. doi: 10.3322/caac.21708. Epub 2022 Jan 12.
9
A comprehensive review of the functions of YB-1 in cancer stemness, metastasis and drug resistance.YB-1 在癌症干性、转移和耐药性中的功能的全面综述。
Cell Signal. 2021 Sep;85:110073. doi: 10.1016/j.cellsig.2021.110073. Epub 2021 Jul 3.
10
Global Cancer Statistics 2020: GLOBOCAN Estimates of Incidence and Mortality Worldwide for 36 Cancers in 185 Countries.《全球癌症统计数据 2020:全球 185 个国家和地区 36 种癌症的发病率和死亡率估计》。
CA Cancer J Clin. 2021 May;71(3):209-249. doi: 10.3322/caac.21660. Epub 2021 Feb 4.