• 文献检索
  • 文档翻译
  • 深度研究
  • 学术资讯
  • Suppr Zotero 插件Zotero 插件
  • 邀请有礼
  • 套餐&价格
  • 历史记录
应用&插件
Suppr Zotero 插件Zotero 插件浏览器插件Mac 客户端Windows 客户端微信小程序
定价
高级版会员购买积分包购买API积分包
服务
文献检索文档翻译深度研究API 文档MCP 服务
关于我们
关于 Suppr公司介绍联系我们用户协议隐私条款
关注我们

Suppr 超能文献

核心技术专利:CN118964589B侵权必究
粤ICP备2023148730 号-1Suppr @ 2026

文献检索

告别复杂PubMed语法,用中文像聊天一样搜索,搜遍4000万医学文献。AI智能推荐,让科研检索更轻松。

立即免费搜索

文件翻译

保留排版,准确专业,支持PDF/Word/PPT等文件格式,支持 12+语言互译。

免费翻译文档

深度研究

AI帮你快速写综述,25分钟生成高质量综述,智能提取关键信息,辅助科研写作。

立即免费体验

大型根尖周病变的非手术治疗:改良三联抗菌糊剂成功应用的病例报告

Non-surgical Management of a Large Periapical Lesion: A Case Study of the Successful Application of a Modified Triple Antibacterial Paste.

作者信息

Awghad Srushti, Mahapatra Joyeeta, Reche Amit, Burse Ankita, Kibe Aradhana

机构信息

Conservative Dentistry and Endodontics, Sharad Pawar Dental College and Hospital, Datta Meghe Institute of Higher Education and Research, Wardha, IND.

Public Health Dentistry, Sharad Pawar Dental College and Hospital, Datta Meghe Institute of Higher Education and Research, Wardha, IND.

出版信息

Cureus. 2024 Jun 14;16(6):e62349. doi: 10.7759/cureus.62349. eCollection 2024 Jun.

DOI:10.7759/cureus.62349
PMID:39006717
原文链接:https://pmc.ncbi.nlm.nih.gov/articles/PMC11246771/
Abstract

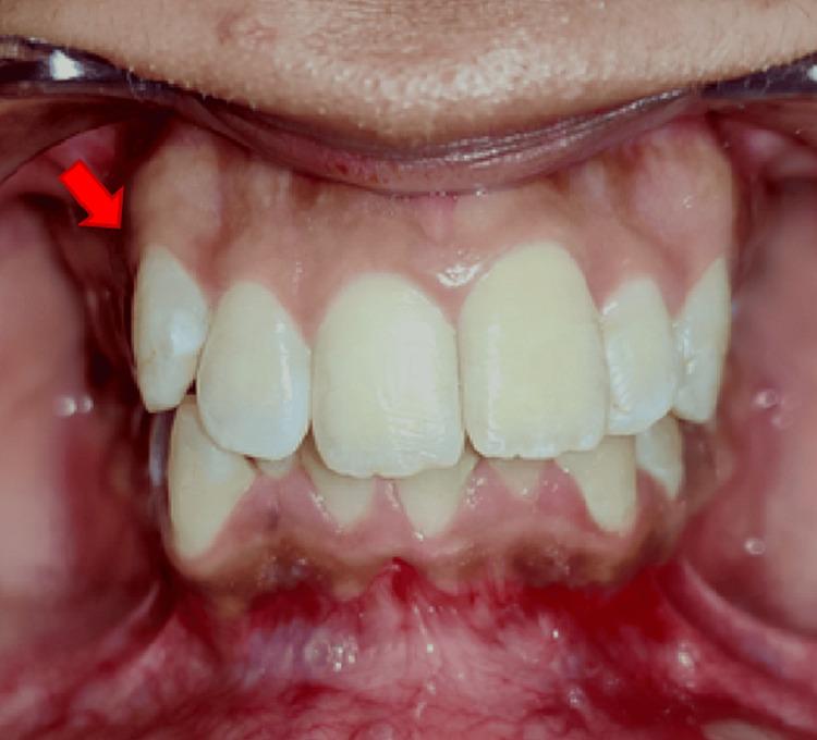
Infection of the dental pulp involves mainly Gram-negative, anaerobic bacterial flora and due to this infection, the periapical area experiences an immunological response, which is termed a periapical lesion. This lesion may appear as a radiolucent (dark) area on X-rays, which indicates periapical inflammation and infection. Its prevalence depends on factors such as age, oral health maintenance, and dental care. Men are more likely to be affected by this infection than women. There are two modalities for the treatment of periapical lesions: surgical or non-surgical endodontic therapy. The modified triple antibiotic paste (TAP) comprising ciprofloxacin, metronidazole, and clindamycin in the ratio of 1:1:1 was first prepared expressly to treat the teeth with necrotic pulp and to support the protocol for revitalization and regrowth. The treatment was very successful in eliminating germs from the root canal system. It provides broad-spectrum antimicrobial activity against a wide range of bacteria commonly associated with endodontic infections. The modified TAP is usually inserted into the canal for a predetermined amount of time and then removed followed by the irrigation of root canal, which helps to eliminate the microorganisms from the root canal. The non-surgical treatment should always be the first choice over the surgical approach so as to avoid a more invasive procedure.

摘要

牙髓感染主要涉及革兰氏阴性厌氧菌菌群,由于这种感染,根尖周区域会发生免疫反应,这被称为根尖周病变。这种病变在X射线上可能表现为透射(暗)区,表明根尖周炎症和感染。其患病率取决于年龄、口腔卫生维护和牙科护理等因素。男性比女性更容易受到这种感染的影响。根尖周病变有两种治疗方式:手术或非手术牙髓治疗。改良三联抗生素糊剂(TAP)由环丙沙星、甲硝唑和克林霉素按1:1:1的比例配制而成,最初是专门为治疗牙髓坏死的牙齿而制备的,并支持牙齿复活和再生方案。该治疗在消除根管系统中的细菌方面非常成功。它对多种通常与牙髓感染相关的细菌具有广谱抗菌活性。改良TAP通常在根管内放置预定时间,然后取出,接着进行根管冲洗,这有助于从根管中清除微生物。非手术治疗应始终优先于手术方法,以避免更具侵入性的操作。

https://cdn.ncbi.nlm.nih.gov/pmc/blobs/26dc/11246771/a29b1811d55c/cureus-0016-00000062349-i09.jpg
https://cdn.ncbi.nlm.nih.gov/pmc/blobs/26dc/11246771/d5f72d2a4f4a/cureus-0016-00000062349-i01.jpg
https://cdn.ncbi.nlm.nih.gov/pmc/blobs/26dc/11246771/448a3f654595/cureus-0016-00000062349-i02.jpg
https://cdn.ncbi.nlm.nih.gov/pmc/blobs/26dc/11246771/1888a3c9a825/cureus-0016-00000062349-i03.jpg
https://cdn.ncbi.nlm.nih.gov/pmc/blobs/26dc/11246771/6152aae8ff34/cureus-0016-00000062349-i04.jpg
https://cdn.ncbi.nlm.nih.gov/pmc/blobs/26dc/11246771/ef9f8a245b00/cureus-0016-00000062349-i05.jpg
https://cdn.ncbi.nlm.nih.gov/pmc/blobs/26dc/11246771/574f390075b6/cureus-0016-00000062349-i06.jpg
https://cdn.ncbi.nlm.nih.gov/pmc/blobs/26dc/11246771/d748484c12df/cureus-0016-00000062349-i07.jpg
https://cdn.ncbi.nlm.nih.gov/pmc/blobs/26dc/11246771/b282eca19d28/cureus-0016-00000062349-i08.jpg
https://cdn.ncbi.nlm.nih.gov/pmc/blobs/26dc/11246771/a29b1811d55c/cureus-0016-00000062349-i09.jpg
https://cdn.ncbi.nlm.nih.gov/pmc/blobs/26dc/11246771/d5f72d2a4f4a/cureus-0016-00000062349-i01.jpg
https://cdn.ncbi.nlm.nih.gov/pmc/blobs/26dc/11246771/448a3f654595/cureus-0016-00000062349-i02.jpg
https://cdn.ncbi.nlm.nih.gov/pmc/blobs/26dc/11246771/1888a3c9a825/cureus-0016-00000062349-i03.jpg
https://cdn.ncbi.nlm.nih.gov/pmc/blobs/26dc/11246771/6152aae8ff34/cureus-0016-00000062349-i04.jpg
https://cdn.ncbi.nlm.nih.gov/pmc/blobs/26dc/11246771/ef9f8a245b00/cureus-0016-00000062349-i05.jpg
https://cdn.ncbi.nlm.nih.gov/pmc/blobs/26dc/11246771/574f390075b6/cureus-0016-00000062349-i06.jpg
https://cdn.ncbi.nlm.nih.gov/pmc/blobs/26dc/11246771/d748484c12df/cureus-0016-00000062349-i07.jpg
https://cdn.ncbi.nlm.nih.gov/pmc/blobs/26dc/11246771/b282eca19d28/cureus-0016-00000062349-i08.jpg
https://cdn.ncbi.nlm.nih.gov/pmc/blobs/26dc/11246771/a29b1811d55c/cureus-0016-00000062349-i09.jpg

相似文献

1
Non-surgical Management of a Large Periapical Lesion: A Case Study of the Successful Application of a Modified Triple Antibacterial Paste.大型根尖周病变的非手术治疗:改良三联抗菌糊剂成功应用的病例报告
Cureus. 2024 Jun 14;16(6):e62349. doi: 10.7759/cureus.62349. eCollection 2024 Jun.
2
Nonsurgical endodontic treatment of teeth associated with large periapical lesion using triple antibiotic paste and mineral trioxide aggregate apical plug: A case series.使用三联抗生素糊剂和矿物三氧化物凝聚体根尖充填物对伴有大根尖周病变的牙齿进行非手术根管治疗:病例系列
J Conserv Dent. 2017 Mar-Apr;20(2):141-145. doi: 10.4103/0972-0707.212232.
3
[Effect of triple antibiotic paste on microorganisms in root canals of deciduous teeth].[三联抗生素糊剂对乳牙根管内微生物的影响]
Shanghai Kou Qiang Yi Xue. 2021 Aug;30(4):374-378.
4
Efficacy of propolis and triple antibiotic paste as intra-canal medicaments for revascularisation of immature teeth in dogs: a comparative study.蜂胶和三联抗生素糊剂作为犬未成熟牙再血管化的根管内药物的疗效:一项比较研究。
Eur Arch Paediatr Dent. 2023 Jun;24(3):321-326. doi: 10.1007/s40368-023-00806-1. Epub 2023 Jun 14.
5
Triple antibiotic paste in root canal therapy.根管治疗中的三联抗生素糊剂。
J Pharm Bioallied Sci. 2012 Aug;4(Suppl 2):S230-3. doi: 10.4103/0975-7406.100214.
6
Non-surgical Management of Periapical Lesions With the Use of Newer Modalities in Adjunct to the Conventional: A Case Series.在传统方法基础上使用更新模式对根尖周病变进行非手术治疗:病例系列
Cureus. 2024 Mar 31;16(3):e57314. doi: 10.7759/cureus.57314. eCollection 2024 Mar.
7
Use of triple antibiotic paste in the treatment of large periradicular lesions.三联抗生素糊剂在治疗大型根尖周病变中的应用。
J Investig Clin Dent. 2012 Feb;3(1):72-6. doi: 10.1111/j.2041-1626.2011.00082.x. Epub 2011 Aug 11.
8
Efficacy of Triple Antibiotic Paste and Bromelain Paste As Intracanal Medicament Against Enterococcus faecalis: An In-Vivo Study.三联抗生素糊剂和菠萝蛋白酶糊剂作为根管内药物对粪肠球菌的疗效:一项体内研究。
Cureus. 2023 Nov 1;15(11):e48098. doi: 10.7759/cureus.48098. eCollection 2023 Nov.
9
Assessment of Nitrofurantoin as an Experimental Intracanal Medicament in Endodontics.评估呋喃妥因作为牙髓腔内药物的实验研究。
Biomed Res Int. 2020 Feb 18;2020:2128473. doi: 10.1155/2020/2128473. eCollection 2020.
10
Nonsurgical management of a large periapical lesion using aspiration in combination with a triple antibiotic paste and calcium hydroxide.使用抽吸术联合三联抗生素糊剂和氢氧化钙对大型根尖周病变进行非手术治疗。
Iran Endod J. 2010 Fall;5(4):179-82. Epub 2010 Nov 15.

本文引用的文献

1
Comparative Evaluation of the Efficacy of TheraCal LC, Mineral Trioxide Aggregate, and Biodentine As Direct Pulp Capping Materials in Patients With Pulpal Exposure in Posterior Teeth: A Triple-Blinded Randomized Parallel Group Clinical Trial.后牙牙髓暴露患者中,TheraCal LC、三氧化矿物凝聚体和BioDentine作为直接盖髓材料疗效的比较评价:一项三盲随机平行组临床试验
Cureus. 2024 Feb 27;16(2):e55022. doi: 10.7759/cureus.55022. eCollection 2024 Feb.
2
Comparative Evaluation of the Efficacy of Light-Cured Calcium Hydroxide and a Fourth-Generation Calcium Silicate Cement (TheraCal LC) as Indirect Pulp Capping Materials in Patients With Deep Carious Lesions: A Randomized Parallel-Group Clinical Trial.光固化氢氧化钙与第四代硅酸钙水门汀(TheraCal LC)作为深龋病变患者间接盖髓材料疗效的比较评价:一项随机平行组临床试验
Cureus. 2022 Sep 7;14(9):e28882. doi: 10.7759/cureus.28882. eCollection 2022 Sep.
3
Outcomes of primary root canal therapy: An updated systematic review of longitudinal clinical studies published between 2003 and 2020.主要根管治疗的疗效:2003 年至 2020 年间发表的纵向临床研究的更新系统评价。
Int Endod J. 2022 Jul;55(7):714-731. doi: 10.1111/iej.13736. Epub 2022 May 4.
4
Endodontic Periapical Lesion: An Overview on the Etiology, Diagnosis and Current Treatment Modalities.牙髓根尖周病损:病因、诊断及当前治疗方法概述。
Eur Endod J. 2020 Jul 14;5(2):54-67. doi: 10.14744/eej.2020.42714. eCollection 2020.
5
Triple antibiotic paste: momentous roles and applications in endodontics: a review.三联抗生素糊剂:在牙髓病学中的重要作用及应用:综述
Restor Dent Endod. 2018 Jun 20;43(3):e28. doi: 10.5395/rde.2018.43.e28. eCollection 2018 Aug.
6
A Successful Endodontic Outcome with Non-Obturated Canals.非充填根管的成功根管治疗结果
Iran Endod J. 2015 Summer;10(3):208-10. doi: 10.7508/iej.2015.03.013. Epub 2015 Jul 1.
7
Multidisciplinary Approach in Management of a Large Cystic Lesion in Anterior Maxilla - A Case Report.上颌前部大型囊性病变管理的多学科方法——病例报告
J Clin Diagn Res. 2015 May;9(5):ZD41-3. doi: 10.7860/JCDR/2015/13540.5992. Epub 2015 May 1.
8
Pulp revascularization of immature permanent teeth: a review of the literature and a proposal of a new clinical protocol.年轻恒牙的牙髓血运重建:文献综述及新临床方案建议
ScientificWorldJournal. 2014;2014:737503. doi: 10.1155/2014/737503. Epub 2014 Oct 14.
9
Traumatic dental injuries: etiology, prevalence and possible outcomes.创伤性牙损伤:病因、患病率及可能的后果。
Stomatologija. 2014;16(1):7-14.
10
Effect of dentin conditioning with intracanal medicaments on survival of stem cells of apical papilla.根管内药物对根尖乳头干细胞存活的牙本质预处理效果。
J Endod. 2014 Apr;40(4):521-5. doi: 10.1016/j.joen.2013.11.008. Epub 2013 Dec 31.