• 文献检索
  • 文档翻译
  • 深度研究
  • 学术资讯
  • Suppr Zotero 插件Zotero 插件
  • 邀请有礼
  • 套餐&价格
  • 历史记录
应用&插件
Suppr Zotero 插件Zotero 插件浏览器插件Mac 客户端Windows 客户端微信小程序
定价
高级版会员购买积分包购买API积分包
服务
文献检索文档翻译深度研究API 文档MCP 服务
关于我们
关于 Suppr公司介绍联系我们用户协议隐私条款
关注我们

Suppr 超能文献

核心技术专利:CN118964589B侵权必究
粤ICP备2023148730 号-1Suppr @ 2026

文献检索

告别复杂PubMed语法,用中文像聊天一样搜索,搜遍4000万医学文献。AI智能推荐,让科研检索更轻松。

立即免费搜索

文件翻译

保留排版,准确专业,支持PDF/Word/PPT等文件格式,支持 12+语言互译。

免费翻译文档

深度研究

AI帮你快速写综述,25分钟生成高质量综述,智能提取关键信息,辅助科研写作。

立即免费体验

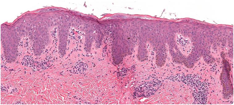
Dupilumab for the treatment of pityriasis lichenoides chronica.

作者信息

Obeng-Nyarko Charissa N, Puerta Durango Kevin, Jackson Shanelle, Rodriguez Olaf, Mollanazar Nicholas K

机构信息

Florida State University College of Medicine, Tallahassee, Florida.

Geisel School of Medicine at Dartmouth College, Hanover, New Hampshire.

出版信息

JAAD Case Rep. 2024 May 30;50:9-11. doi: 10.1016/j.jdcr.2024.05.021. eCollection 2024 Aug.

DOI:10.1016/j.jdcr.2024.05.021
PMID:39036617
原文链接:https://pmc.ncbi.nlm.nih.gov/articles/PMC11254521/
Abstract
摘要
https://cdn.ncbi.nlm.nih.gov/pmc/blobs/79df/11254521/759d45b1647c/gr3.jpg
https://cdn.ncbi.nlm.nih.gov/pmc/blobs/79df/11254521/65ccca0966c0/gr1.jpg
https://cdn.ncbi.nlm.nih.gov/pmc/blobs/79df/11254521/1c76c7161cbe/gr2.jpg
https://cdn.ncbi.nlm.nih.gov/pmc/blobs/79df/11254521/759d45b1647c/gr3.jpg
https://cdn.ncbi.nlm.nih.gov/pmc/blobs/79df/11254521/65ccca0966c0/gr1.jpg
https://cdn.ncbi.nlm.nih.gov/pmc/blobs/79df/11254521/1c76c7161cbe/gr2.jpg
https://cdn.ncbi.nlm.nih.gov/pmc/blobs/79df/11254521/759d45b1647c/gr3.jpg

相似文献

1
Dupilumab for the treatment of pityriasis lichenoides chronica.度普利尤单抗治疗慢性苔藓样糠疹。
JAAD Case Rep. 2024 May 30;50:9-11. doi: 10.1016/j.jdcr.2024.05.021. eCollection 2024 Aug.
2
Pityriasis lichenoides: Long-term follow-up study.点滴状副银屑病:长期随访研究。
Pediatr Dermatol. 2018 Mar;35(2):213-219. doi: 10.1111/pde.13396. Epub 2018 Jan 9.
3
Immunohistology of pityriasis lichenoides et varioliformis acuta and pityriasis lichenoides chronica. Evidence for their interrelationship with lymphomatoid papulosis.急性痘疮样苔藓样糠疹和慢性苔藓样糠疹的免疫组织学。它们与淋巴瘤样丘疹病相互关系的证据。
J Am Acad Dermatol. 1987 Mar;16(3 Pt 1):559-70. doi: 10.1016/s0190-9622(87)70074-7.
4
Pityriasis lichenoides chronica induced by COVID-19 messenger RNA vaccination.新型冠状病毒肺炎信使核糖核酸疫苗诱发的慢性苔藓样糠疹。
JAAD Case Rep. 2022 Sep;27:52-54. doi: 10.1016/j.jdcr.2022.07.017. Epub 2022 Jul 19.
5
Efficacy and safety of excimer light (308 nm) in the treatment of pityriasis lichenoides chronica.准分子光(308纳米)治疗慢性苔藓样糠疹的疗效和安全性。
Photodermatol Photoimmunol Photomed. 2024 May;40(3):e12964. doi: 10.1111/phpp.12964.
6
Oral erythromycin in pityriasis lichenoides chronica and pityriasis lichenoides et varioliformis acuta.口服红霉素治疗慢性苔藓样糠疹和急性痘疮样苔藓样糠疹。
Dermatol Ther. 2020 May;33(3):e13311. doi: 10.1111/dth.13311. Epub 2020 Mar 30.
7
The transformation of pityriasis lichenoides chronica into parakeratosis variegata in an 11-year-old girl.一名11岁女孩慢性苔藓样糠疹转变为杂色角化不全症。
Br J Dermatol. 1997 Dec;137(6):983-7.
8
Pityriasis Lichenoides Chronica in a Patient With Ankylosing Spondylitis Treated With Etanercept.慢性苔藓样糠疹在接受依那西普治疗的强直性脊柱炎患者中的表现。
J Drugs Dermatol. 2020 May 1;19(5):560-561.
9
Cytotoxic mycosis fungoides evolving from pityriasis lichenoides chronica in a seventeen-year-old girl. Report of a case.一名17岁女孩慢性苔藓样糠疹演变为细胞毒性蕈样肉芽肿。病例报告。
Dermatology. 2002;205(2):176-9. doi: 10.1159/000063906.
10
Phototherapy for Pityriasis Lichenoides in the Pediatric Population: A Review of the Published Literature.儿童点滴状副银屑病的光疗:已发表文献综述
Am J Clin Dermatol. 2016 Dec;17(6):583-591. doi: 10.1007/s40257-016-0216-2.

本文引用的文献

1
Successful therapy with dupilumab for pityriasis lichenoides et varioliformis acuta.
Eur J Dermatol. 2023 Jun 1;33(3):304-305. doi: 10.1684/ejd.2023.4483.
2
Dupilumab in patients with prurigo nodularis: two randomized, double-blind, placebo-controlled phase 3 trials.度普利尤单抗治疗结节性痒疹患者的两项随机、双盲、安慰剂对照 3 期临床试验。
Nat Med. 2023 May;29(5):1180-1190. doi: 10.1038/s41591-023-02320-9. Epub 2023 May 4.
3
The role of NLRP1 and NLRP3 inflammasomes in the etiopathogeneses of pityriasis lichenoides chronica and mycosis fungoides: an immunohistochemical study.NLRP1 和 NLRP3 炎性小体在慢性蕈样肉芽肿和真菌病发病机制中的作用:一项免疫组织化学研究。
Arch Dermatol Res. 2023 Mar;315(2):231-239. doi: 10.1007/s00403-022-02363-x. Epub 2022 Jul 1.
4
Febrile Ulceronecrotic Mucha-Habermann Disease: A Rare Form of Pityriasis Lichenoides et Varioliformis Acuta.发热性溃疡坏死性穆恰-哈伯曼病:急性痘疮样苔藓样糠疹的一种罕见形式。
Cutis. 2022 Jan;109(1):E8-E11. doi: 10.12788/cutis.0437.
5
Dupilumab for the Treatment of Lichen Planus.度普利尤单抗治疗扁平苔藓
Cutis. 2021 Apr;107(4):E8-E10. doi: 10.12788/cutis.0232.
6
A systematic review of treatments for pityriasis lichenoides.一项关于 pityriasis lichenoides 治疗方法的系统评价。
J Eur Acad Dermatol Venereol. 2019 Nov;33(11):2039-2049. doi: 10.1111/jdv.15813. Epub 2019 Aug 8.
7
Chronic Pruritus Responding to Dupilumab-A Case Series.度普利尤单抗治疗有效的慢性瘙痒——病例系列
Medicines (Basel). 2019 Jun 29;6(3):72. doi: 10.3390/medicines6030072.
8
Pityriasis lichenoides et varioliformis acuta: a disease spectrum.急性苔藓样糠疹和痘疮样糠疹:一种疾病谱。
Int J Dermatol. 2010 Mar;49(3):257-61. doi: 10.1111/j.1365-4632.2008.03915.x.
9
Pityriasis lichenoides: pathophysiology, classification, and treatment.苔藓样糠疹:病理生理学、分类及治疗
Am J Clin Dermatol. 2007;8(1):29-36. doi: 10.2165/00128071-200708010-00004.
10
Pityriasis lichenoides and its subtypes.点滴状副银屑病及其亚型。
J Am Acad Dermatol. 2006 Oct;55(4):557-72; quiz 573-6. doi: 10.1016/j.jaad.2005.07.058.