• 文献检索
  • 文档翻译
  • 深度研究
  • 学术资讯
  • Suppr Zotero 插件Zotero 插件
  • 邀请有礼
  • 套餐&价格
  • 历史记录
应用&插件
Suppr Zotero 插件Zotero 插件浏览器插件Mac 客户端Windows 客户端微信小程序
定价
高级版会员购买积分包购买API积分包
服务
文献检索文档翻译深度研究API 文档MCP 服务
关于我们
关于 Suppr公司介绍联系我们用户协议隐私条款
关注我们

Suppr 超能文献

核心技术专利:CN118964589B侵权必究
粤ICP备2023148730 号-1Suppr @ 2026

文献检索

告别复杂PubMed语法,用中文像聊天一样搜索,搜遍4000万医学文献。AI智能推荐,让科研检索更轻松。

立即免费搜索

文件翻译

保留排版,准确专业,支持PDF/Word/PPT等文件格式,支持 12+语言互译。

免费翻译文档

深度研究

AI帮你快速写综述,25分钟生成高质量综述,智能提取关键信息,辅助科研写作。

立即免费体验

温水浸泡对糖尿病大鼠肾组织损伤的长期影响。

Long-term effects of warm water immersion on kidney tissue damage in diabetic rats.

作者信息

Jozi Faezeh, Kheiripour Nejat, Akhavan Taheri Maryam, Ghavipanjeh Gholamreza, Nasehi Zahra, Esmaeil Shahaboddin Mohammad

机构信息

Institute for Basic Sciences, Research Center for Biochemistry and Nutrition in Metabolic Diseases, Kashan University of Medical Sciences.

Kashan, Iran.

出版信息

Iran J Basic Med Sci. 2024;27(9):1162-1171. doi: 10.22038/IJBMS.2024.74307.16141.

DOI:10.22038/IJBMS.2024.74307.16141
PMID:39055872
原文链接:https://pmc.ncbi.nlm.nih.gov/articles/PMC11266743/
Abstract

OBJECTIVES

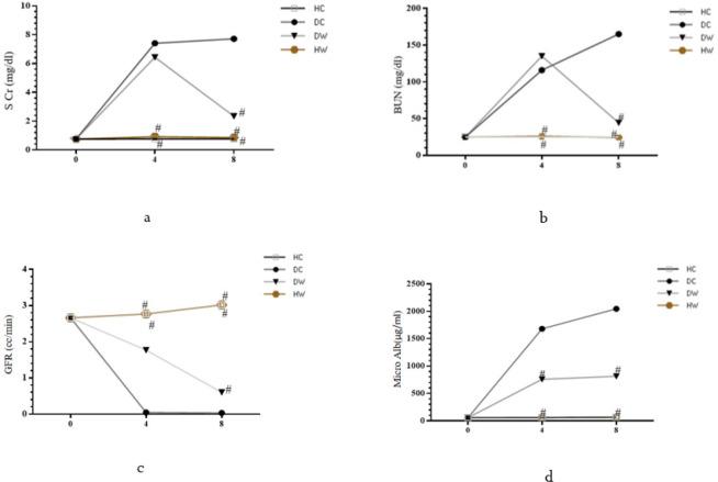
This study aimed to investigate the effects of Warm Water Immersion (WWI) on inflammation, kidney function, and kidney tissue damage in rats with diabetes mellitus (DM).

MATERIALS AND METHODS

Forty male rats were divided into four groups: Healthy Control (HC), Diabetic Control (DC), Diabetic Rats treated with WWI (DW), and Healthy Rats treated with WWI (HW). Daily 15-minute WWI sessions at 43 °C were administered for eight weeks. Various parameters including lipids, fasting blood sugar (FBS), HbA1C, insulin, advanced glycation end products (AGEs), HSP70, glomerular filtration rate (GFR), urinary albumin excretion, creatinine, blood urea nitrogen (BUN), oxidative stress, anti-oxidant parameters, and gene expression of RAGE, VEGF, and TGFß1 were assessed. Histological examination of kidney tissue was also conducted.

RESULTS

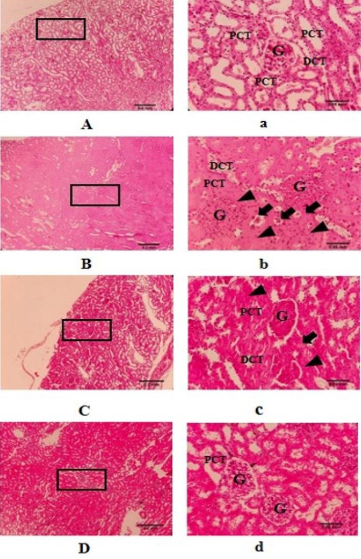
Significant reductions in FBS, AGEs, glutathione, superoxide dismutase (SOD), and nitric oxide (NO) levels were observed in the DW group compared to DC. Expression of RAGE, VEGF, and TGFß1 genes decreased in DW. Triglycerides, total cholesterol, and LDL cholesterol were lower in DW. Insulin, HDL cholesterol, catalase, total anti-oxidant capacity (TAC), and tissue HSP70 were higher in DW. Histological assessment revealed reduced kidney damage in DW compared to DC.

CONCLUSION

WWI for eight weeks shows promise in mitigating diabetic nephropathy in rats, suggesting its potential as a non-invasive adjunctive therapy for managing diabetes complications.

摘要

目的

本研究旨在探讨温水浸泡(WWI)对糖尿病(DM)大鼠炎症、肾功能及肾组织损伤的影响。

材料与方法

40只雄性大鼠分为四组:健康对照组(HC)、糖尿病对照组(DC)、接受WWI治疗的糖尿病大鼠(DW)和接受WWI治疗的健康大鼠(HW)。每天在43℃下进行15分钟的WWI,持续8周。评估了包括血脂、空腹血糖(FBS)、糖化血红蛋白(HbA1C)、胰岛素、晚期糖基化终产物(AGEs)、热休克蛋白70(HSP70)、肾小球滤过率(GFR)、尿白蛋白排泄、肌酐、血尿素氮(BUN)、氧化应激、抗氧化参数以及RAGE、VEGF和TGFβ1的基因表达等各种参数。还对肾组织进行了组织学检查。

结果

与DC组相比,DW组的FBS、AGEs、谷胱甘肽、超氧化物歧化酶(SOD)和一氧化氮(NO)水平显著降低。DW组中RAGE、VEGF和TGFβ1基因的表达下降。DW组的甘油三酯、总胆固醇和低密度脂蛋白胆固醇较低。DW组的胰岛素、高密度脂蛋白胆固醇、过氧化氢酶、总抗氧化能力(TAC)和组织HSP70较高。组织学评估显示,与DC组相比,DW组的肾损伤减轻。

结论

8周的WWI有望减轻大鼠糖尿病肾病,表明其作为管理糖尿病并发症的非侵入性辅助治疗方法的潜力。

https://cdn.ncbi.nlm.nih.gov/pmc/blobs/6e1b/11266743/e716f6782551/IJBMS-27-1162-g007.jpg
https://cdn.ncbi.nlm.nih.gov/pmc/blobs/6e1b/11266743/8a73b8f37526/IJBMS-27-1162-g001.jpg
https://cdn.ncbi.nlm.nih.gov/pmc/blobs/6e1b/11266743/d892d8697f5d/IJBMS-27-1162-g002.jpg
https://cdn.ncbi.nlm.nih.gov/pmc/blobs/6e1b/11266743/87e1f9ac13db/IJBMS-27-1162-g003.jpg
https://cdn.ncbi.nlm.nih.gov/pmc/blobs/6e1b/11266743/0efe7fb0dc04/IJBMS-27-1162-g004.jpg
https://cdn.ncbi.nlm.nih.gov/pmc/blobs/6e1b/11266743/f1df5467f473/IJBMS-27-1162-g005.jpg
https://cdn.ncbi.nlm.nih.gov/pmc/blobs/6e1b/11266743/7abf935d9b2e/IJBMS-27-1162-g006.jpg
https://cdn.ncbi.nlm.nih.gov/pmc/blobs/6e1b/11266743/e716f6782551/IJBMS-27-1162-g007.jpg
https://cdn.ncbi.nlm.nih.gov/pmc/blobs/6e1b/11266743/8a73b8f37526/IJBMS-27-1162-g001.jpg
https://cdn.ncbi.nlm.nih.gov/pmc/blobs/6e1b/11266743/d892d8697f5d/IJBMS-27-1162-g002.jpg
https://cdn.ncbi.nlm.nih.gov/pmc/blobs/6e1b/11266743/87e1f9ac13db/IJBMS-27-1162-g003.jpg
https://cdn.ncbi.nlm.nih.gov/pmc/blobs/6e1b/11266743/0efe7fb0dc04/IJBMS-27-1162-g004.jpg
https://cdn.ncbi.nlm.nih.gov/pmc/blobs/6e1b/11266743/f1df5467f473/IJBMS-27-1162-g005.jpg
https://cdn.ncbi.nlm.nih.gov/pmc/blobs/6e1b/11266743/7abf935d9b2e/IJBMS-27-1162-g006.jpg
https://cdn.ncbi.nlm.nih.gov/pmc/blobs/6e1b/11266743/e716f6782551/IJBMS-27-1162-g007.jpg

相似文献

1
Long-term effects of warm water immersion on kidney tissue damage in diabetic rats.温水浸泡对糖尿病大鼠肾组织损伤的长期影响。
Iran J Basic Med Sci. 2024;27(9):1162-1171. doi: 10.22038/IJBMS.2024.74307.16141.
2
L-Lysine Ameliorates Diabetic Nephropathy in Rats with Streptozotocin-Induced Diabetes Mellitus.L-赖氨酸可改善链脲佐菌素诱导的糖尿病大鼠的糖尿病肾病。
Biomed Res Int. 2022 Sep 12;2022:4547312. doi: 10.1155/2022/4547312. eCollection 2022.
3
[Protective effect and mechanism of electroacupuncture of "Biao-Ben" acupoints combination for mitochondrial dysfunction in diabetic nephropathy rats].[电针“标本”配穴对糖尿病肾病大鼠线粒体功能障碍的保护作用及机制]
Zhen Ci Yan Jiu. 2022 Sep 25;47(9):759-68. doi: 10.13702/j.1000-0607.20210883.
4
Triphala Ameliorates Nephropathy via Inhibition of TGF-β1 and Oxidative Stress in Diabetic Rats.三果汤通过抑制糖尿病大鼠 TGF-β1 和氧化应激改善肾病。
Pharmacology. 2020;105(11-12):681-691. doi: 10.1159/000508238. Epub 2020 Jul 16.
5
hydro alcoholic extract ameliorates diabetic nephropathy by suppressing connective tissue growth factor (CTGF) and receptor for advanced glycation endproducts (RAGE) gene expression in diabetic rats with streptozotocin.水醇提取物通过抑制链脲佐菌素诱导的糖尿病大鼠中结缔组织生长因子(CTGF)和晚期糖基化终产物受体(RAGE)基因表达来改善糖尿病肾病。
Horm Mol Biol Clin Investig. 2021 May 20;42(2):167-174. doi: 10.1515/hmbci-2020-0072.
6
Probiotics improve renal function, glucose, lipids, inflammation and oxidative stress in diabetic kidney disease: a systematic review and meta-analysis.益生菌可改善糖尿病肾病患者的肾功能、血糖、血脂、炎症和氧化应激:系统评价和荟萃分析。
Ren Fail. 2022 Dec;44(1):862-880. doi: 10.1080/0886022X.2022.2079522.
7
Downregulation of apoptosis and modulation of TGF-β1 by sodium selenate prevents streptozotocin-induced diabetic rat renal impairment.亚硒酸钠通过下调细胞凋亡和调节 TGF-β1 预防链脲佐菌素诱导的糖尿病大鼠肾损伤。
Biol Trace Elem Res. 2011 Jan;139(1):55-71. doi: 10.1007/s12011-010-8635-z. Epub 2010 Feb 20.
8
Effects of simvastatin on oxidative stress in streptozotocin-induced diabetic rats: a role for glomeruli protection.辛伐他汀对链脲佐菌素诱导的糖尿病大鼠氧化应激的影响:对肾小球保护的作用
Nephron Exp Nephrol. 2005;101(1):e1-8. doi: 10.1159/000085712. Epub 2005 May 9.
9
Diltiazem attenuates oxidative stress in diabetic rats.地尔硫卓减轻糖尿病大鼠的氧化应激。
Ren Fail. 2005;27(3):335-44.
10
Effect of irbesartan on the antioxidant defence system and nitric oxide release in diabetic rat kidney.厄贝沙坦对糖尿病大鼠肾脏抗氧化防御系统及一氧化氮释放的影响。
Am J Nephrol. 2004 Sep-Oct;24(5):488-96. doi: 10.1159/000080722. Epub 2004 Sep 7.

引用本文的文献

1
Therapeutic potential of heat-killed Lactobacillus reuteri against bile acid-induced male reproductive toxicity.热灭活罗伊氏乳杆菌对胆汁酸诱导的雄性生殖毒性的治疗潜力
Naunyn Schmiedebergs Arch Pharmacol. 2025 Apr 15. doi: 10.1007/s00210-025-04092-0.

本文引用的文献

1
The preventive effect of heat-killed Lactobacillus plantarum on male reproductive toxicity induced by cholestasis in rats.热灭活植物乳杆菌对胆汁淤积诱导的雄性生殖毒性的预防作用。
Food Chem Toxicol. 2024 Apr;186:114571. doi: 10.1016/j.fct.2024.114571. Epub 2024 Mar 6.
2
Efficiency of Hesperidin against Liver Fibrosis Induced by Bile Duct Ligation in Rats.橙皮苷对胆管结扎诱导大鼠肝纤维化的疗效。
Biomed Res Int. 2023 Apr 11;2023:5444301. doi: 10.1155/2023/5444301. eCollection 2023.
3
Streptozotocin as a tool for induction of rat models of diabetes: a practical guide.
链脲佐菌素作为诱导大鼠糖尿病模型的工具:实用指南。
EXCLI J. 2023 Feb 21;22:274-294. doi: 10.17179/excli2022-5720. eCollection 2023.
4
Association of Oxidative Stress with Kidney Injury in a Hyperandrogenemic Female Rat Model.氧化应激与高雄性激素血症雌性大鼠模型肾损伤的关系。
Iran J Med Sci. 2023 Mar;48(2):187-197. doi: 10.30476/IJMS.2022.93594.2497.
5
The Effect of Heat-Killed Lactobacillus plantarum on Oxidative Stress and Liver Damage in Rats with Bile Duct Ligation-Induced Hepatic Fibrosis.热灭活植物乳杆菌对胆管结扎诱导肝纤维化大鼠氧化应激和肝损伤的影响。
Probiotics Antimicrob Proteins. 2024 Feb;16(1):196-211. doi: 10.1007/s12602-022-10033-7. Epub 2022 Dec 16.
6
Prevalence of diabetic nephropathy in the diabetes mellitus population: A protocol for systematic review and meta-analysis.糖尿病患者中糖尿病肾病的患病率:系统评价和荟萃分析的方案。
Medicine (Baltimore). 2022 Oct 21;101(42):e31232. doi: 10.1097/MD.0000000000031232.
7
L-Lysine Ameliorates Diabetic Nephropathy in Rats with Streptozotocin-Induced Diabetes Mellitus.L-赖氨酸可改善链脲佐菌素诱导的糖尿病大鼠的糖尿病肾病。
Biomed Res Int. 2022 Sep 12;2022:4547312. doi: 10.1155/2022/4547312. eCollection 2022.
8
Advanced Glycation End Products and Diabetes Mellitus: Mechanisms and Perspectives.糖基化终产物与糖尿病:机制与展望。
Biomolecules. 2022 Apr 4;12(4):542. doi: 10.3390/biom12040542.
9
Hsp70 in Redox Homeostasis.热休克蛋白 70 在氧化还原平衡中的作用。
Cells. 2022 Feb 28;11(5):829. doi: 10.3390/cells11050829.
10
AGE/RAGE in diabetic kidney disease and ageing kidney.AGE/RAGE 在糖尿病肾病和老化肾脏中的作用。
Free Radic Biol Med. 2021 Aug 1;171:260-271. doi: 10.1016/j.freeradbiomed.2021.05.025. Epub 2021 May 18.