Suppr超能文献

韩国传统和有机奶牛场凝固酶阳性菌的抗菌药物耐药性比较及耐甲氧西林情况

Comparative Antimicrobial Resistance and Prevalence of Methicillin Resistance in Coagulase-Positive from Conventional and Organic Dairy Farms in South Korea.

作者信息

Neri Therese Ariane N, Park Hyunjung, Kang Sujin, Baek Seung Hee, Nam In Sik

机构信息

School of Animal Life Convergence Science, Hankyong National University, Anseong-si 15759, Republic of Korea.

Research Center for Environmentally Friendly and Quality Livestock Production Technology, Hankyong National University, Anseong-si 15759, Republic of Korea.

出版信息

Antibiotics (Basel). 2024 Jul 2;13(7):617. doi: 10.3390/antibiotics13070617.

Abstract

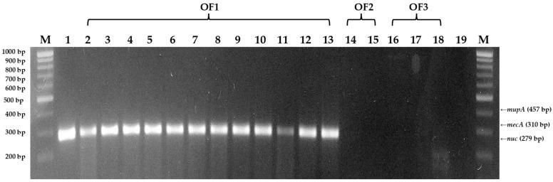
Bovine mastitis (BM) has caused huge economic and financial losses in the dairy industry worldwide, with as one of its major pathogens. BM treatment still relies on antibiotics and its extensive use often generates methicillin-resistant (MRSA) and mupirocin-resistant (MuRSA). This study compared the antimicrobial resistance trend in coagulase-positive (CoPS) isolated from BM milk in conventional and organic dairy farms and checked prevalence of MRSA and MuRSA. A total of 163 presumptive were isolated, wherein 11 out of 74 from 4 conventional farms (CF1, CF2, CF3, CF4) and 17 out of 89 from 3 organic farms (OF1, OF2, OF3) exhibited coagulase activity. Multiplex-PCR amplification confirmed at least one coagulase-positive isolate from CF1, CF2, CF3, CF4, and OF1 as , denoted by the presence of the gene. Three isolates from CF2 contained the gene, indicating MRSA prevalence, while the MuRSA gene marker, , was not detected in any of the isolates. Antimicrobial testing showed that conventional farm isolates were more resistant to antibiotics, especially ampicillin and tetracycline. This suggests a risk of developing multidrug resistance in dairy farms if antibiotic use is not properly and strictly monitored and regulated.

摘要

牛乳腺炎(BM)在全球乳制品行业造成了巨大的经济损失, 是其主要病原体之一。BM的治疗仍然依赖于抗生素,而其广泛使用往往会产生耐甲氧西林金黄色葡萄球菌(MRSA)和耐莫匹罗星金黄色葡萄球菌(MuRSA)。本研究比较了传统奶牛场和有机奶牛场从BM牛奶中分离出的凝固酶阳性葡萄球菌(CoPS)的耐药趋势,并检测了MRSA和MuRSA的流行情况。共分离出163株疑似葡萄球菌,其中来自4个传统农场(CF1、CF2、CF3、CF4)的74株中有11株,来自3个有机农场(OF1、OF2、OF3)的89株中有17株表现出凝固酶活性。多重PCR扩增证实,CF1、CF2、CF3、CF4和OF1中至少有一株凝固酶阳性分离株为金黄色葡萄球菌,这由 基因的存在表示。来自CF2的三株分离株含有 基因,表明存在MRSA流行,而在任何分离株中均未检测到MuRSA基因标记 。抗菌测试表明,传统农场分离株对抗生素更具耐药性,尤其是氨苄西林和四环素。这表明,如果不妥善且严格地监测和管理抗生素的使用,奶牛场有产生多重耐药性的风险。

https://cdn.ncbi.nlm.nih.gov/pmc/blobs/eca7/11274340/dd89d726831b/antibiotics-13-00617-g001.jpg

文献AI研究员

20分钟写一篇综述,助力文献阅读效率提升50倍。

立即体验

用中文搜PubMed

大模型驱动的PubMed中文搜索引擎

马上搜索

文档翻译

学术文献翻译模型,支持多种主流文档格式。

立即体验