Suppr超能文献

使用增强型ResNet50对卵巢肿瘤分类进行解释的可解释人工智能。

Explainable AI for Interpretation of Ovarian Tumor Classification Using Enhanced ResNet50.

作者信息

Guha Srirupa, Kodipalli Ashwini, Fernandes Steven L, Dasar Santosh

机构信息

Department of Computer Science and Engineering, National Institute of Technology Durgapur, Durgapur 713209, India.

Department of Artificial Intelligence and Data Science, Global Academy of Technology, Bengaluru 560098, India.

出版信息

Diagnostics (Basel). 2024 Jul 19;14(14):1567. doi: 10.3390/diagnostics14141567.

Abstract

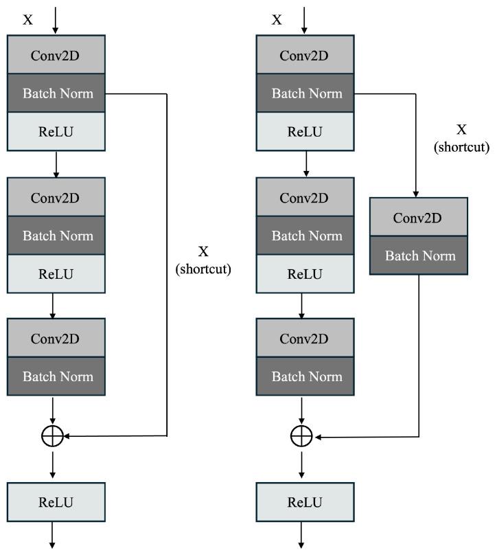
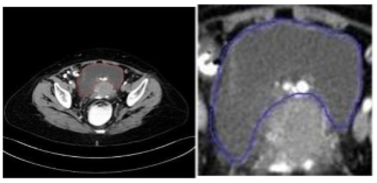
Deep learning architectures like ResNet and Inception have produced accurate predictions for classifying benign and malignant tumors in the healthcare domain. This enables healthcare institutions to make data-driven decisions and potentially enable early detection of malignancy by employing computer-vision-based deep learning algorithms. These CNN algorithms, in addition to requiring huge amounts of data, can identify higher- and lower-level features that are significant while classifying tumors into benign or malignant. However, the existing literature is limited in terms of the explainability of the resultant classification, and identifying the exact features that are of importance, which is essential in the decision-making process for healthcare practitioners. Thus, the motivation of this work is to implement a custom classifier on the ovarian tumor dataset, which exhibits high classification performance and subsequently interpret the classification results qualitatively, using various Explainable AI methods, to identify which pixels or regions of interest are given highest importance by the model for classification. The dataset comprises CT scanned images of ovarian tumors taken from to the axial, saggital and coronal planes. State-of-the-art architectures, including a modified ResNet50 derived from the standard pre-trained ResNet50, are implemented in the paper. When compared to the existing state-of-the-art techniques, the proposed modified ResNet50 exhibited a classification accuracy of 97.5 % on the test dataset without increasing the the complexity of the architecture. The results then were carried for interpretation using several explainable AI techniques. The results show that the shape and localized nature of the tumors play important roles for qualitatively determining the ability of the tumor to metastasize and thereafter to be classified as benign or malignant.

摘要

像ResNet和Inception这样的深度学习架构在医疗保健领域对良性和恶性肿瘤的分类中产生了准确的预测。这使医疗机构能够做出数据驱动的决策,并有可能通过采用基于计算机视觉的深度学习算法实现恶性肿瘤的早期检测。这些卷积神经网络(CNN)算法除了需要大量数据外,在将肿瘤分类为良性或恶性时,还能识别出重要的高层和低层特征。然而,现有文献在所得分类的可解释性方面有限,并且难以确定哪些确切特征是重要的,而这在医疗从业者的决策过程中至关重要。因此,这项工作的动机是在卵巢肿瘤数据集上实现一个定制分类器,该分类器具有高分类性能,随后使用各种可解释人工智能方法对分类结果进行定性解释,以确定模型在分类时赋予哪些像素或感兴趣区域最高的重要性。该数据集包括从轴向、矢状面和冠状面获取的卵巢肿瘤CT扫描图像。本文实现了包括从标准预训练的ResNet50派生而来的改进版ResNet50在内的先进架构。与现有先进技术相比,所提出的改进版ResNet50在测试数据集上表现出97.5%的分类准确率,且没有增加架构的复杂性。然后使用几种可解释人工智能技术对结果进行解释。结果表明,肿瘤的形状和局部特征在定性确定肿瘤转移能力从而将其分类为良性或恶性方面起着重要作用。

https://cdn.ncbi.nlm.nih.gov/pmc/blobs/f7ef/11276149/5fef8dff262c/diagnostics-14-01567-g001.jpg

文献检索

告别复杂PubMed语法,用中文像聊天一样搜索,搜遍4000万医学文献。AI智能推荐,让科研检索更轻松。

立即免费搜索

文件翻译

保留排版,准确专业,支持PDF/Word/PPT等文件格式,支持 12+语言互译。

免费翻译文档

深度研究

AI帮你快速写综述,25分钟生成高质量综述,智能提取关键信息,辅助科研写作。

立即免费体验