Suppr超能文献

一名9个月大男童颅内动脉瘤破裂的成功手术治疗:一例罕见的儿科病例

Successful Surgical Management of a Ruptured Intracranial Aneurysm in a Nine-Month-Old Male: A Rare Pediatric Case.

作者信息

Kommareddy Anirudh, Varma Ashish, Vagha Keta, Javvaji Chaitanya Kumar, Vagha Jayant D, Manchineni Sai Bhavani, Reddy Naramreddy Sudheesh

机构信息

Pediatrics, Jawaharlal Nehru Medical College, Datta Meghe Institute of Higher Education and Research, Wardha, IND.

出版信息

Cureus. 2024 Jul 2;16(7):e63684. doi: 10.7759/cureus.63684. eCollection 2024 Jul.

Abstract

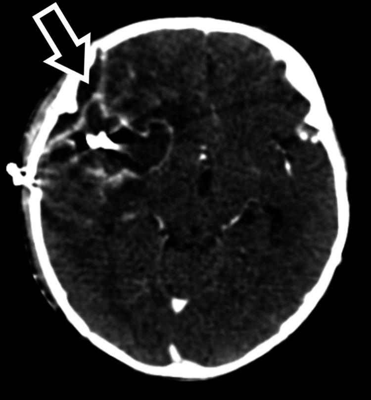
Intracranial aneurysms in pediatric populations are rare, with a distinct clinical profile compared to adult cases. This case report describes the clinical presentation, diagnosis, and treatment of a nine-month-old male with an intracranial aneurysm. The child presented with convulsions, a depressed sensorium, and subsequent neurological deficits. Initial imaging revealed subarachnoid hemorrhage, and further angiographic studies identified an aneurysm rupture from the parietal branch of the right middle cerebral artery. The patient underwent successful neurosurgical intervention, including right craniotomy and aneurysm clipping. Post-operative recovery was marked by gradual neurological improvement and the absence of further seizures. This case underscores the importance of prompt diagnostic imaging and surgical management in pediatric intracranial aneurysms, contributing to favorable outcomes despite the rarity of the condition in this age group.

摘要

小儿颅内动脉瘤较为罕见,与成人病例相比具有独特的临床特征。本病例报告描述了一名9个月大患有颅内动脉瘤男性患儿的临床表现、诊断及治疗过程。该患儿出现惊厥、意识不清,随后出现神经功能缺损。初始影像学检查显示蛛网膜下腔出血,进一步血管造影研究确定为右大脑中动脉顶叶分支的动脉瘤破裂。患者接受了成功的神经外科手术干预,包括右开颅手术和动脉瘤夹闭术。术后恢复表现为神经功能逐渐改善且未再发生惊厥。本病例强调了小儿颅内动脉瘤及时进行诊断性影像学检查和手术治疗的重要性,尽管该疾病在这个年龄组中罕见,但仍有助于取得良好预后。

https://cdn.ncbi.nlm.nih.gov/pmc/blobs/a82e/11293608/3a53287c36d8/cureus-0016-00000063684-i01.jpg

文献检索

告别复杂PubMed语法,用中文像聊天一样搜索,搜遍4000万医学文献。AI智能推荐,让科研检索更轻松。

立即免费搜索

文件翻译

保留排版,准确专业,支持PDF/Word/PPT等文件格式,支持 12+语言互译。

免费翻译文档

深度研究

AI帮你快速写综述,25分钟生成高质量综述,智能提取关键信息,辅助科研写作。

立即免费体验