• 文献检索
  • 文档翻译
  • 深度研究
  • 学术资讯
  • Suppr Zotero 插件Zotero 插件
  • 邀请有礼
  • 套餐&价格
  • 历史记录
应用&插件
Suppr Zotero 插件Zotero 插件浏览器插件Mac 客户端Windows 客户端微信小程序
定价
高级版会员购买积分包购买API积分包
服务
文献检索文档翻译深度研究API 文档MCP 服务
关于我们
关于 Suppr公司介绍联系我们用户协议隐私条款
关注我们

Suppr 超能文献

核心技术专利:CN118964589B侵权必究
粤ICP备2023148730 号-1Suppr @ 2026

文献检索

告别复杂PubMed语法,用中文像聊天一样搜索,搜遍4000万医学文献。AI智能推荐,让科研检索更轻松。

立即免费搜索

文件翻译

保留排版,准确专业,支持PDF/Word/PPT等文件格式,支持 12+语言互译。

免费翻译文档

深度研究

AI帮你快速写综述,25分钟生成高质量综述,智能提取关键信息,辅助科研写作。

立即免费体验

感染马副蛔虫抗原后 Wistar 大鼠的免疫反应、氧化应激和组织学变化。

Immune response, oxidative stress, and histological changes of Wistar rats after being administered with Parascaris equorum antigen.

机构信息

Zoology Department, Faculty of Science, Cairo University, Giza, Egypt.

Pathology Department, Faculty of Veterinary Medicine, Cairo University, Giza, Egypt.

出版信息

Sci Rep. 2024 Aug 5;14(1):18069. doi: 10.1038/s41598-024-67788-y.

DOI:10.1038/s41598-024-67788-y
PMID:39103392
原文链接:https://pmc.ncbi.nlm.nih.gov/articles/PMC11300452/
Abstract

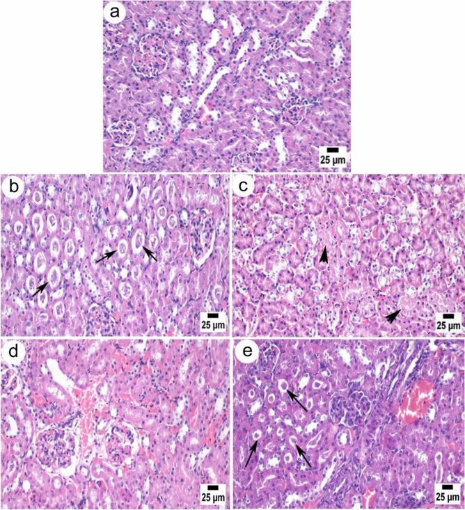
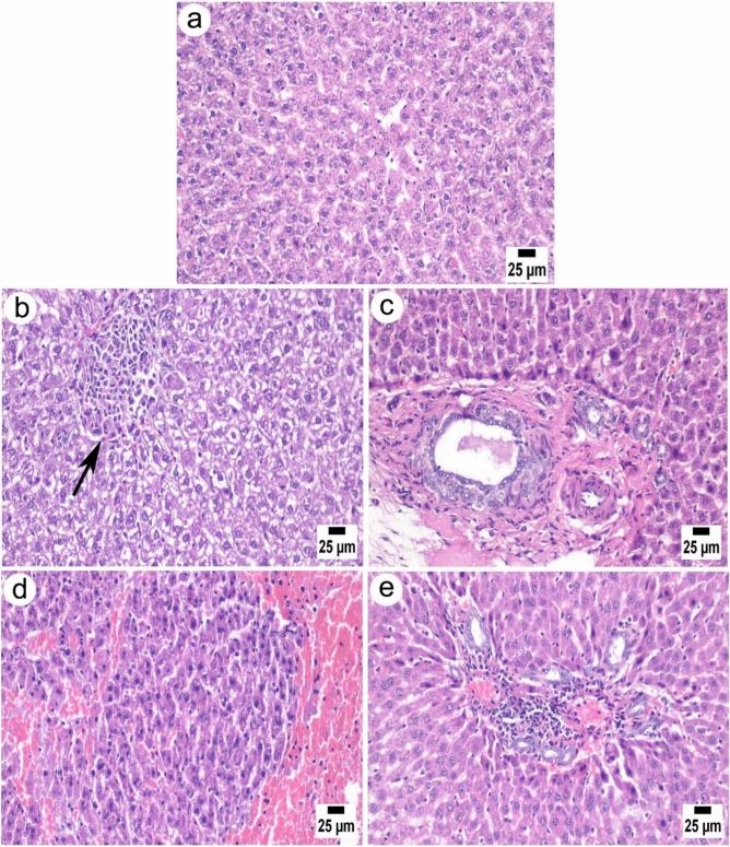
Worldwide, particularly in developing nations, helminth infections are the leading causes of livestock illness and mortality. Parascaris (P.) equorum, a parasitic worm from the Ascarididae family, significantly impacts the production, health, and working performance of equines. This study aimed to investigate the impact of intraperitoneal sensitization of P. equorum on the immune system, oxidative stress, and histology in Wistar rats. After acclimatization for 7 days, we divided the rats into five groups, each consisting of six rats. Group I, serving as the control, was administered distilled water, followed by groups II (day 7), III (day 14), IV (day 21), and V (day 33). The rats were euthanized every day mentioned (Days 7-33). On day 0, a dosage of 1ml/100 gm rat (containing 500 μg/ml protein content) emulsified crude antigen extract with an incomplete Freund's adjuvant (1:1 volume), followed by a second dose of the same antigen concentration on day 7. To assess the allergenicity of this nematode, we measured a whole blood profile, serum levels of IFN-γ, IL-5, IL-10, IL-13, and IL-33, total immunoglobulins IgE and IgG, and oxidative stress markers. Also, we examined histological changes in the liver, kidney, and spleen. The results showed that values of total leukocyte count, granulocytes, monocytes, and lymphocytes were significantly (P < 0.05) increased on day 14 post-infection relative to other days of investigation. It was found that the levels of total immunoglobulins (IgE and IgG) and cytokines (INF-γ, IL-5, IL-13, and IL-33) on days 14 and 21 were significantly higher than in the control group. At all periods of the experiment, the injected group exhibited significantly higher concentrations of MDA and NO compared to the control group (P < 0.05). Conversely, GSH and CAT levels (P < 0.05) dropped significantly on days 7, 14, and 21. Different rat tissues showed alterations. Ultimately, this study described the detrimental effects of P. equorum crude antigen administration on the immune system, oxidative states, and histological changes of Wistar rats at various intervals.

摘要

在全球范围内,寄生虫感染尤其是发展中国家的家畜患病和死亡的主要原因。旋毛虫(P. equorum)是一种来自蛔虫科的寄生虫,它会显著影响马属动物的生产、健康和工作表现。本研究旨在调查旋毛虫腹腔内致敏对 Wistar 大鼠免疫系统、氧化应激和组织学的影响。经过 7 天的适应期,我们将大鼠分为五组,每组 6 只。第 I 组作为对照组,给予蒸馏水,然后是第 II 组(第 7 天)、第 III 组(第 14 天)、第 IV 组(第 21 天)和第 V 组(第 33 天)。每天提到的大鼠(第 7-33 天)都被安乐死。在第 0 天,用 1ml/100gm 大鼠(含有 500μg/ml 蛋白含量)的不完全弗氏佐剂(1:1 体积)乳化粗抗原提取物,然后在第 7 天给予相同抗原浓度的第二剂。为了评估这种线虫的变应原性,我们测量了全血谱、血清干扰素-γ(IFN-γ)、白细胞介素-5(IL-5)、白细胞介素-10(IL-10)、白细胞介素-13(IL-13)、白细胞介素-33(IL-33)、总免疫球蛋白 IgE 和 IgG 以及氧化应激标志物。此外,我们还检查了肝脏、肾脏和脾脏的组织学变化。结果表明,与其他调查日相比,感染后第 14 天白细胞总数、粒细胞、单核细胞和淋巴细胞显著增加(P<0.05)。发现第 14 天和第 21 天的总免疫球蛋白(IgE 和 IgG)和细胞因子(INF-γ、IL-5、IL-13 和 IL-33)水平明显高于对照组。在实验的所有阶段,与对照组相比,注射组的 MDA 和 NO 浓度显著升高(P<0.05)。相反,GSH 和 CAT 水平(P<0.05)在第 7、14 和 21 天显著下降。不同的大鼠组织显示出改变。最终,本研究描述了旋毛虫粗抗原给药对 Wistar 大鼠免疫系统、氧化状态和组织学变化的不同时间间隔的有害影响。

https://cdn.ncbi.nlm.nih.gov/pmc/blobs/ea81/11300452/7ef9409b3229/41598_2024_67788_Fig6_HTML.jpg
https://cdn.ncbi.nlm.nih.gov/pmc/blobs/ea81/11300452/b75c1374ef3f/41598_2024_67788_Fig1_HTML.jpg
https://cdn.ncbi.nlm.nih.gov/pmc/blobs/ea81/11300452/cd19490362f5/41598_2024_67788_Fig2_HTML.jpg
https://cdn.ncbi.nlm.nih.gov/pmc/blobs/ea81/11300452/9968a1d1fd4a/41598_2024_67788_Fig3_HTML.jpg
https://cdn.ncbi.nlm.nih.gov/pmc/blobs/ea81/11300452/0c26026db0b3/41598_2024_67788_Fig4_HTML.jpg
https://cdn.ncbi.nlm.nih.gov/pmc/blobs/ea81/11300452/f8f98587217e/41598_2024_67788_Fig5_HTML.jpg
https://cdn.ncbi.nlm.nih.gov/pmc/blobs/ea81/11300452/7ef9409b3229/41598_2024_67788_Fig6_HTML.jpg
https://cdn.ncbi.nlm.nih.gov/pmc/blobs/ea81/11300452/b75c1374ef3f/41598_2024_67788_Fig1_HTML.jpg
https://cdn.ncbi.nlm.nih.gov/pmc/blobs/ea81/11300452/cd19490362f5/41598_2024_67788_Fig2_HTML.jpg
https://cdn.ncbi.nlm.nih.gov/pmc/blobs/ea81/11300452/9968a1d1fd4a/41598_2024_67788_Fig3_HTML.jpg
https://cdn.ncbi.nlm.nih.gov/pmc/blobs/ea81/11300452/0c26026db0b3/41598_2024_67788_Fig4_HTML.jpg
https://cdn.ncbi.nlm.nih.gov/pmc/blobs/ea81/11300452/f8f98587217e/41598_2024_67788_Fig5_HTML.jpg
https://cdn.ncbi.nlm.nih.gov/pmc/blobs/ea81/11300452/7ef9409b3229/41598_2024_67788_Fig6_HTML.jpg

相似文献

1
Immune response, oxidative stress, and histological changes of Wistar rats after being administered with Parascaris equorum antigen.感染马副蛔虫抗原后 Wistar 大鼠的免疫反应、氧化应激和组织学变化。
Sci Rep. 2024 Aug 5;14(1):18069. doi: 10.1038/s41598-024-67788-y.
2
Equine antibody response to larval Parascaris equorum excretory-secretory products.马对马副蛔虫幼虫排泄-分泌产物的抗体反应。
Vet Parasitol. 2016 Aug 15;226:83-7. doi: 10.1016/j.vetpar.2016.06.036. Epub 2016 Jun 29.
3
Protective effects of selenium against cadmium induced hematological disturbances, immunosuppressive, oxidative stress and hepatorenal damage in rats.硒对镉诱导的大鼠血液学紊乱、免疫抑制、氧化应激及肝肾损伤的保护作用。
J Trace Elem Med Biol. 2015 Jan;29:104-10. doi: 10.1016/j.jtemb.2014.05.009. Epub 2014 Jun 4.
4
Cytokine signature and antibody-mediated response against fresh and attenuated Anisakis simplex (L3) administration into Wistar rats: implication for anti-allergic reaction.细胞因子特征及抗体介导的针对向Wistar大鼠体内注射新鲜和减毒简单异尖线虫(L3)的反应:对抗过敏反应的影响
Parasitol Res. 2015 Aug;114(8):2975-84. doi: 10.1007/s00436-015-4500-5. Epub 2015 May 17.
5
Potential anthelmintic effect of chitosan on Syphacia muris infecting Wistar rats: biochemical, immunological, and histopathological studies.壳聚糖对感染 Wistar 大鼠的 Syphacia muris 的潜在驱虫作用:生化、免疫和组织病理学研究。
Sci Rep. 2024 Feb 3;14(1):2825. doi: 10.1038/s41598-024-52309-8.
6
Evaluation of immune responses and oxidative stress in donkeys: Immunological studies provoked by infection.驴的免疫反应和氧化应激评估:感染引发的免疫学研究。
Saudi J Biol Sci. 2022 Apr;29(4):2173-2179. doi: 10.1016/j.sjbs.2021.11.044. Epub 2021 Nov 24.
7
Optimizing and Evaluating the Antihelminthic Activity of the Biocompatible Zinc Oxide Nanoparticles Against the Ascaridid Nematode, Parascaris equorum In Vitro.优化和评估生物相容性氧化锌纳米颗粒对马副蛔虫(一种蛔虫线虫)的体外抗蠕虫活性。
Acta Parasitol. 2019 Dec;64(4):873-886. doi: 10.2478/s11686-019-00111-2. Epub 2019 Sep 2.
8
Anthelmintic and therapeutic effects of the biogenic zinc oxide nanoparticles against acute kidney injury induced by Infection in rats.生物源氧化锌纳米颗粒对大鼠感染诱导的急性肾损伤的驱虫和治疗作用。
J Parasit Dis. 2024 Mar;48(1):14-24. doi: 10.1007/s12639-023-01637-z. Epub 2023 Nov 24.
9
Homocytotropic response of guinea-pigs to antigen extracts from formalized and unformalized Parascaris equorum.豚鼠对甲醛化和未甲醛化马副蛔虫抗原提取物的亲同种细胞反应。
Immunology. 1977 Apr;32(4):567-72.
10
Immune responses to antigens of in vitro reared Echinococcus granulosus adult worms in Balb/c mice.Balb/c小鼠对体外培养的细粒棘球绦虫成虫抗原的免疫反应。
Iran J Immunol. 2011 Dec;8(4):236-43.

引用本文的文献

1
The use of systemic immune inflammatory index as a predictor for nematodes infections in horses.全身免疫炎症指数作为马线虫感染预测指标的应用。
Parasite Epidemiol Control. 2025 Jul 31;30:e00453. doi: 10.1016/j.parepi.2025.e00453. eCollection 2025 Aug.
2
Molecular Characterization, Oxidative Stress-Mediated Genotoxicity, and Hemato-Biochemical Changes in Domestic Water Buffaloes Naturally Infected with Under Field Conditions.田间条件下自然感染**的家用水牛的分子特征、氧化应激介导的遗传毒性及血液生化变化** (原文此处under后应有具体感染物名称,但未给出,所以翻译时用**表示此处缺失信息)
Pathogens. 2025 Jan 13;14(1):66. doi: 10.3390/pathogens14010066.

本文引用的文献

1
Potential anthelmintic effect of chitosan on Syphacia muris infecting Wistar rats: biochemical, immunological, and histopathological studies.壳聚糖对感染 Wistar 大鼠的 Syphacia muris 的潜在驱虫作用:生化、免疫和组织病理学研究。
Sci Rep. 2024 Feb 3;14(1):2825. doi: 10.1038/s41598-024-52309-8.
2
Oxidative Stress in Parasitic Diseases-Reactive Oxygen Species as Mediators of Interactions between the Host and the Parasites.寄生虫病中的氧化应激——活性氧作为宿主与寄生虫相互作用的介质
Antioxidants (Basel). 2023 Dec 23;13(1):38. doi: 10.3390/antiox13010038.
3
Chia seeds and coenzyme Q alleviate iron overload induced hepatorenal toxicity in mice via iron chelation and oxidative stress modulation.
奇亚籽和辅酶 Q 通过螯合铁和调节氧化应激缓解铁过载诱导的小鼠肝肾功能毒性。
Sci Rep. 2023 Nov 13;13(1):19773. doi: 10.1038/s41598-023-47127-3.
4
The Immune Response to Nematode Infection.线虫感染的免疫反应。
Int J Mol Sci. 2023 Jan 23;24(3):2283. doi: 10.3390/ijms24032283.
5
The equine ascarids: resuscitating historic model organisms for modern purposes.马属蛔虫:为现代目的复兴历史模式生物。
Parasitol Res. 2022 Oct;121(10):2775-2791. doi: 10.1007/s00436-022-07627-z. Epub 2022 Aug 20.
6
Assessment of the efficacy of thymol against in experimentally infected rats.麝香草酚对实验性感染大鼠的疗效评估。
J Parasit Dis. 2022 Jun;46(2):454-465. doi: 10.1007/s12639-022-01465-7. Epub 2022 Jan 30.
7
Cytokine production in Ancylostoma infection.旋毛虫感染中的细胞因子产生。
J Med Life. 2022 Apr;15(4):479-482. doi: 10.25122/jml-2021-0383.
8
Evaluation of immune responses and oxidative stress in donkeys: Immunological studies provoked by infection.驴的免疫反应和氧化应激评估:感染引发的免疫学研究。
Saudi J Biol Sci. 2022 Apr;29(4):2173-2179. doi: 10.1016/j.sjbs.2021.11.044. Epub 2021 Nov 24.
9
IL-33: A central cytokine in helminth infections.白细胞介素-33:寄生虫感染中的核心细胞因子。
Semin Immunol. 2021 Mar;53:101532. doi: 10.1016/j.smim.2021.101532. Epub 2021 Nov 22.
10
Oxidative stress in spp. infected donkeys treated with piperazine citrate versus doramectin.柠檬酸哌嗪处理感染旋毛虫的驴中的氧化应激与多拉菌素的对比。
Open Vet J. 2021 Apr-Jun;11(2):238-250. doi: 10.5455/OVJ.2021.v11.i2.8. Epub 2021 May 6.