Suppr超能文献

一例极为罕见的鱼骨从胃穿入脾脏导致脾脓肿并通过保脾手术治疗的病例报告。

A case report of extremely rare case of fishbone penetration from stomach into spleen, causing splenic abscess, managed by spleen preserving surgery.

作者信息

Fadlalla Yasir Adam, Bandaru Srinivasa Swamy

机构信息

General Surgery, Saqr Hospital, Ras Al Khaimah, Emirates Health Services, United Arab Emirates; Surgery, Ras AL Khaimah Medical and Health Sciences University, United Arab Emirates.

出版信息

Int J Surg Case Rep. 2024 Sep;122:110098. doi: 10.1016/j.ijscr.2024.110098. Epub 2024 Jul 30.

Abstract

INTRODUCTION

Fishbone penetrating from the stomach into the spleen, causing a splenic abscess, is an extremely rare condition.

CASE PRESENTATION

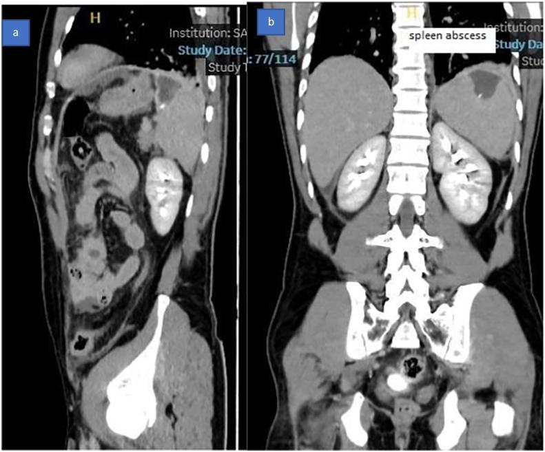
We report a case of fishbone penetration from the stomach into the spleen, presenting as a splenic abscess and acute peritonitis, diagnosed pre-operatively with a contrast-enhanced CT scan of the abdomen and subsequently managed with spleen-preserving surgery.

DISCUSSION

Fishbone penetration from the stomach into the spleen, causing a splenic abscess, which is an extremely rare occurrence. We successfully diagnosed and managed this case with spleen-preserving surgery, and the patient recovered well.

CONCLUSION

A rare case of fishbone penetration from the stomach into the spleen causing a splenic abscess was diagnosed radiologically pre-operatively and managed by a spleen-preserving procedure.

摘要

引言

鱼骨从胃穿入脾脏并导致脾脓肿是一种极为罕见的情况。

病例报告

我们报告一例鱼骨从胃穿入脾脏的病例,表现为脾脓肿和急性腹膜炎,术前通过腹部增强CT扫描确诊,随后接受了保脾手术治疗。

讨论

鱼骨从胃穿入脾脏并导致脾脓肿极为罕见。我们通过保脾手术成功诊断并处理了该病例,患者恢复良好。

结论

一例罕见的鱼骨从胃穿入脾脏导致脾脓肿的病例在术前通过影像学诊断,并采用保脾手术进行治疗。

https://cdn.ncbi.nlm.nih.gov/pmc/blobs/a058/11350250/8e4be2150901/gr2.jpg

文献AI研究员

20分钟写一篇综述,助力文献阅读效率提升50倍。

立即体验

用中文搜PubMed

大模型驱动的PubMed中文搜索引擎

马上搜索

文档翻译

学术文献翻译模型,支持多种主流文档格式。

立即体验