Suppr超能文献

一名9岁儿童下颌骨孤立性骨内肌纤维瘤:病例报告及文献综述

Solitary Intraosseous Myofibroma of the Mandible in a Nine-Year-Old Child: A Case Report and Literature Review.

作者信息

Lazim Ahmed, Amer Samir M, Eltawil Ghadir M, Laski Robert, Kuklani Riya

机构信息

Pathology, Temple University Hospital, Philadelphia, USA.

Dentistry, Al Hokail Specialized Digital Polyclinics Academy, Muharraq, BHR.

出版信息

Cureus. 2024 Jul 10;16(7):e64232. doi: 10.7759/cureus.64232. eCollection 2024 Jul.

Abstract

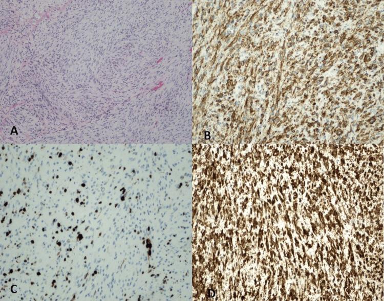
Myofibroma (MF) is a benign neoplasm derived from myofibroblasts. While they are infrequent, these tumors are predominantly found in the pediatric group and seldom manifest as intraosseous mandibular tumors. Herein, we present a 9-year-old female with a radiolucent lesion in the left mandible associated with malposed left lower canine and 1st premolar teeth. Clinical examination revealed a slightly tender 5×4 cm firm mass resulting in an expansion of the buccal and lingual aspects of the mandible in the canine and first premolar region. An incisional biopsy revealed a benign tumor consisting of spindle cells organized in fascicles, alongside dispersed thin-walled blood vessels. Tumor cells tested positive for α-smooth muscle actin (SMA) and vimentin. Given these findings, a diagnosis of MF was established. To the best of our knowledge, only 45 cases of solitary MF of the mandible have been reported in the pediatric age group in the literature. We describe one additional case and provide a review of the literature.

摘要

肌纤维瘤(MF)是一种源自肌成纤维细胞的良性肿瘤。虽然它们并不常见,但这些肿瘤主要见于儿童群体,很少表现为下颌骨骨内肿瘤。在此,我们报告一名9岁女性,其左下颌骨有一透射性病变,伴有左下尖牙和第一前磨牙错位。临床检查发现一个稍压痛的5×4厘米实性肿块,导致下颌骨颊侧和舌侧在尖牙和第一前磨牙区域膨隆。切开活检显示为一个良性肿瘤,由呈束状排列的梭形细胞以及散在的薄壁血管组成。肿瘤细胞α-平滑肌肌动蛋白(SMA)和波形蛋白检测呈阳性。基于这些发现,确诊为MF。据我们所知,文献中仅报道了45例儿童年龄组下颌骨孤立性MF病例。我们描述了另外一例并对文献进行了综述。

https://cdn.ncbi.nlm.nih.gov/pmc/blobs/6773/11312426/497b977d99fd/cureus-0016-00000064232-i01.jpg

文献检索

告别复杂PubMed语法,用中文像聊天一样搜索,搜遍4000万医学文献。AI智能推荐,让科研检索更轻松。

立即免费搜索

文件翻译

保留排版,准确专业,支持PDF/Word/PPT等文件格式,支持 12+语言互译。

免费翻译文档

深度研究

AI帮你快速写综述,25分钟生成高质量综述,智能提取关键信息,辅助科研写作。

立即免费体验