Suppr超能文献

对伴有发育异常和癌的溃疡性结肠炎上皮标记抗原的免疫过氧化物酶研究。

An immunoperoxidase study of epithelial marker antigens in ulcerative colitis with dysplasia and carcinoma.

作者信息

Allen D C, Biggart J D, Orchin J C, Foster H

出版信息

J Clin Pathol. 1985 Jan;38(1):18-29. doi: 10.1136/jcp.38.1.18.

Abstract

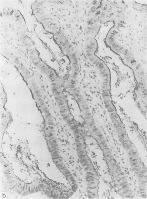
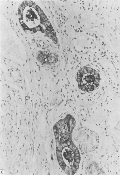
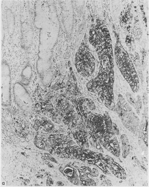
An immunoperoxidase technique was applied to formalin and Helly fixed paraffin wax sections from cases of ulcerative colitis complicated by dysplasia and carcinoma for carcinoembryonic antigen and components of the colonic secretory immunoglobulin system--namely, secretory component, IgA, and J chain. Sections from both resection specimens and mucosal biopsies were available. Intensity of immunostaining was assessed qualitatively. There was appreciable variation in expression of carcinoembryonic antigen and secretory component antigens. Carcinoembryonic antigen stained heavily in dysplasia and carcinoma while these tissues showed only focal light staining for secretory component. Normal tissue stained heavily for secretory component. The variation in staining intensity for both carcinoembryonic antigen and secretory component in inflamed and regenerative mucosa precluded their use as a reliable diagnostic aid in discriminating these tissues from true dysplasia. Loss of secretory component production or transport or both may be incurred during malignant change, but it should not be assessed as an isolated index of epithelial maturity. The relation with mucosal plasma cells warrants further study to determine more fully the factors affecting tissue secretory component expression.

摘要

免疫过氧化物酶技术应用于福尔马林和Helly固定的石蜡切片,这些切片取自溃疡性结肠炎并发发育异常和癌的病例,用于检测癌胚抗原和结肠分泌型免疫球蛋白系统的成分,即分泌成分、IgA和J链。切除标本和黏膜活检的切片均可用。免疫染色强度进行定性评估。癌胚抗原和分泌成分抗原的表达存在明显差异。癌胚抗原在发育异常和癌组织中染色较深,而这些组织中分泌成分仅呈局灶性淡染。正常组织分泌成分染色较深。炎症和再生黏膜中癌胚抗原和分泌成分染色强度的变化,使其无法作为区分这些组织与真正发育异常的可靠诊断辅助指标。恶性改变过程中可能会出现分泌成分产生或运输或两者的丧失,但不应将其作为上皮成熟度的单一指标来评估。与黏膜浆细胞的关系值得进一步研究,以更全面地确定影响组织分泌成分表达的因素。

https://cdn.ncbi.nlm.nih.gov/pmc/blobs/aeac/499067/e9b9a41cbcaf/jclinpath00184-0027-a.jpg

文献检索

告别复杂PubMed语法,用中文像聊天一样搜索,搜遍4000万医学文献。AI智能推荐,让科研检索更轻松。

立即免费搜索

文件翻译

保留排版,准确专业,支持PDF/Word/PPT等文件格式,支持 12+语言互译。

免费翻译文档

深度研究

AI帮你快速写综述,25分钟生成高质量综述,智能提取关键信息,辅助科研写作。

立即免费体验