Chang Renee, Guraya Armaan, Lucero Renee, Shitabata Paul
Dermatology, Touro College of Osteopathic Medicine, Henderson, USA.
Dermatology, Prime West Consortium, Newport Beach, USA.
Cureus. 2024 Jul 27;16(7):e65539. doi: 10.7759/cureus.65539. eCollection 2024 Jul.
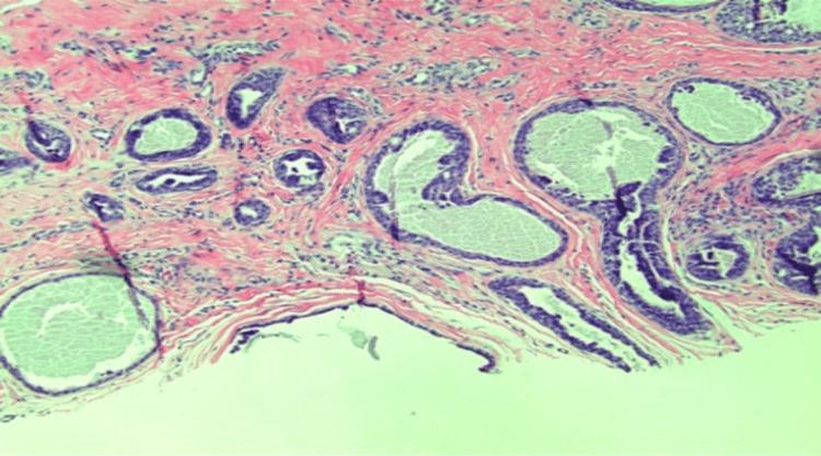
Papillary eccrine adenoma (PEA) is a rare benign eccrine gland neoplasm presenting as a solitary nodule, primarily in middle-aged African American females. Accurate histological diagnosis is crucial due to its potential to mimic adnexal carcinomas. Complete excision is recommended due to its risk of local aggression and recurrence. A 75-year-old Caucasian male with a history of basal cell carcinoma (BCC) presented with a recurrent pink, scaly nodule on the right medial pretibial leg area. Initial biopsy showed benign PEA. The lesion recurred after one year, and a re-biopsy confirmed a tubulopapillary adenoma within a scar. The lesion was excised with a 2 mm margin. PEA is characterized histologically by dilated ducts lined by a dual layer of tumor cells, often with intraluminal papillae structures. Immunohistochemical staining aids diagnosis, with markers such as S-100, carcinoembryonic antigen (CEA), and epithelial membrane antigen (EMA) indicating eccrine differentiation. Differential diagnoses include adnexal carcinomas and BCC with eccrine differentiation. Complete excision is necessary to prevent recurrence.
乳头状小汗腺腺瘤(PEA)是一种罕见的良性小汗腺肿瘤,表现为孤立性结节,主要见于中年非裔美国女性。由于其有潜在模仿附属器癌的可能,准确的组织学诊断至关重要。鉴于其有局部侵袭和复发的风险,建议完整切除。一名75岁有基底细胞癌(BCC)病史的白人男性,右小腿内侧胫前区出现一个复发性粉红色鳞屑结节。初次活检显示为良性PEA。病变在一年后复发,再次活检证实瘢痕内为管状乳头状腺瘤。病变以2毫米切缘切除。PEA在组织学上的特征是由双层肿瘤细胞衬里的扩张导管,常伴有管腔内乳头结构。免疫组织化学染色有助于诊断,如S-100、癌胚抗原(CEA)和上皮膜抗原(EMA)等标志物提示小汗腺分化。鉴别诊断包括附属器癌和具有小汗腺分化的BCC。为防止复发,完整切除是必要的。