Suppr超能文献

酷似直肠癌的前列腺癌:一例报告

Prostate carcinoma mimicking rectal cancer: a case report.

作者信息

Hassine Hajer, Azouz Sarra B, Debbabi Habiba, Cherif Dhouha, Yacoub Haythem, Chelly Beya, Kchir Hela, Maamouri Nadia

机构信息

Gastroenterology B Department, Rabta Hospital, Tunis 2040, Tunisia.

出版信息

J Surg Case Rep. 2024 Aug 29;2024(8):rjae046. doi: 10.1093/jscr/rjae046. eCollection 2024 Aug.

Abstract

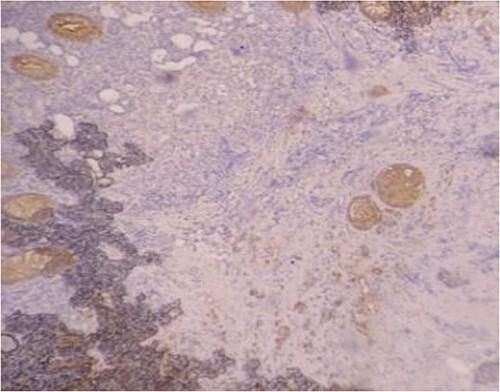
In the pre-prostate specific antigen era, patients with prostate cancer (PC) commonly presented with symptoms. Currently, most PC are diagnosed at an asymptomatic stage with abnormal digital rectal examination or raised prostate specific antigen. In rare cases, PC may infiltrate the rectum and cause symptoms mimicking rectal cancer. It is difficult to differentiate between the two based on clinical features alone. We here report our experience in managing an 86-year-old male, with no significant personal pathological history, who presented with diarrhea and occasional rectal bleeding without any lower urinary tract symptoms. Investigations concluded to a PC invading the rectum and the patient was referred to urology department.

摘要

在前列腺特异性抗原出现之前的时代,前列腺癌(PC)患者通常会出现症状。目前,大多数前列腺癌是在无症状阶段通过直肠指检异常或前列腺特异性抗原升高而被诊断出来的。在罕见情况下,前列腺癌可能会浸润直肠并引起类似直肠癌的症状。仅根据临床特征很难区分这两者。我们在此报告我们对一名86岁男性的治疗经验,该患者无重大个人病史,出现腹泻和偶尔的直肠出血,无任何下尿路症状。检查结果显示为前列腺癌侵犯直肠,该患者被转诊至泌尿外科。

https://cdn.ncbi.nlm.nih.gov/pmc/blobs/6992/11361764/024389b1771c/rjae046f1.jpg

文献检索

告别复杂PubMed语法,用中文像聊天一样搜索,搜遍4000万医学文献。AI智能推荐,让科研检索更轻松。

立即免费搜索

文件翻译

保留排版,准确专业,支持PDF/Word/PPT等文件格式,支持 12+语言互译。

免费翻译文档

深度研究

AI帮你快速写综述,25分钟生成高质量综述,智能提取关键信息,辅助科研写作。

立即免费体验