• 文献检索
  • 文档翻译
  • 深度研究
  • 学术资讯
  • Suppr Zotero 插件Zotero 插件
  • 邀请有礼
  • 套餐&价格
  • 历史记录
应用&插件
Suppr Zotero 插件Zotero 插件浏览器插件Mac 客户端Windows 客户端微信小程序
定价
高级版会员购买积分包购买API积分包
服务
文献检索文档翻译深度研究API 文档MCP 服务
关于我们
关于 Suppr公司介绍联系我们用户协议隐私条款
关注我们

Suppr 超能文献

核心技术专利:CN118964589B侵权必究
粤ICP备2023148730 号-1Suppr @ 2026

文献检索

告别复杂PubMed语法,用中文像聊天一样搜索,搜遍4000万医学文献。AI智能推荐,让科研检索更轻松。

立即免费搜索

文件翻译

保留排版,准确专业,支持PDF/Word/PPT等文件格式,支持 12+语言互译。

免费翻译文档

深度研究

AI帮你快速写综述,25分钟生成高质量综述,智能提取关键信息,辅助科研写作。

立即免费体验

手术-早期入路联合髁突切除术矫正下颌髁突增生所致严重面部不对称:1例病例报告

Surgery-early approach combined with condylectomy for correction of severe facial asymmetry with mandibular condylar hyperplasia: a case report.

作者信息

Suzuki Hikari, Nogami Shinnosuke, Otake Yoshio, Takeda Yuri, Sugawara Junji, Takahashi Tetsu, Yamauchi Kensuke

机构信息

Division of Oral and Maxillofacial Reconstructive Surgery, Department of Disease Management Dentistry, Tohoku University Graduate School of Dentistry, Sendai, Japan.

Orthodontist Dr. Junji Sugawara Clinic, Sendai, Japan.

出版信息

J Korean Assoc Oral Maxillofac Surg. 2024 Aug 31;50(4):227-234. doi: 10.5125/jkaoms.2024.50.4.227.

DOI:10.5125/jkaoms.2024.50.4.227
PMID:39211972
原文链接:https://pmc.ncbi.nlm.nih.gov/articles/PMC11372232/
Abstract

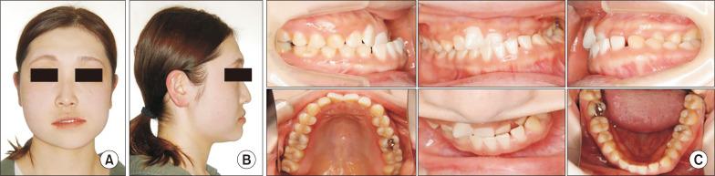
In patients with unilateral mandibular condyle hyperplasia, whether to perform condylectomy and orthognathic surgical procedures at the same time or orthognathic surgery in two stages for remains controversial. Reported here is a case of facial asymmetry with mandibular condyle hyperplasia, for which condylectomy and orthognathic surgery procedures were performed at the same time. A 28-year-old woman was presented to our department with chief complaints of left deviation of the mandible and right temporomandibular joint (TMJ) noise. Findings obtained in several imaging examinations led to a diagnosis of facial asymmetry associated with right mandibular condyle hyperplasia. Following 3 months of preoperative orthodontic treatment, in October 2018 under general anesthesia the patient underwent a right mandibular condylectomy, Le Fort I osteotomy, right mandibular sagittal split ramus osteotomy, and left mandibular inverted L ramus osteotomy. In examinations up to 3 years after surgery, good results were noted. For this case of severe facial asymmetry with mandibular condyle hyperplasia, early surgery and condylectomy were performed simultaneously to significantly shorten the total treatment time. The effectiveness of a surgery-early approach was confirmed by no postoperative findings indicating abnormalities in the TMJ or retroversion.

摘要

对于单侧下颌髁突增生的患者,是同期进行髁突切除术和正颌外科手术,还是分两阶段进行正颌手术,目前仍存在争议。本文报道了一例下颌髁突增生导致面部不对称的病例,该病例同期进行了髁突切除术和正颌外科手术。一名28岁女性因下颌向左偏斜及右侧颞下颌关节(TMJ)弹响为主诉前来我院就诊。多项影像学检查结果诊断为与右侧下颌髁突增生相关的面部不对称。经过3个月的术前正畸治疗后,2018年10月患者在全身麻醉下接受了右侧下颌髁突切除术、Le Fort I型截骨术、右侧下颌矢状劈开升支截骨术和左侧下颌倒L形升支截骨术。在术后长达3年的检查中,结果良好。对于这例严重的下颌髁突增生导致面部不对称的病例,早期进行手术并同期进行髁突切除术,显著缩短了总治疗时间。术后未发现TMJ异常或后倾等异常情况,证实了早期手术方法的有效性。

https://cdn.ncbi.nlm.nih.gov/pmc/blobs/e9a0/11372232/86ef2c34f50d/jkaoms-50-4-227-f10.jpg
https://cdn.ncbi.nlm.nih.gov/pmc/blobs/e9a0/11372232/ad7c8def3d7a/jkaoms-50-4-227-f1.jpg
https://cdn.ncbi.nlm.nih.gov/pmc/blobs/e9a0/11372232/64303204878c/jkaoms-50-4-227-f2.jpg
https://cdn.ncbi.nlm.nih.gov/pmc/blobs/e9a0/11372232/43e97fa6c574/jkaoms-50-4-227-f3.jpg
https://cdn.ncbi.nlm.nih.gov/pmc/blobs/e9a0/11372232/d065348b369b/jkaoms-50-4-227-f4.jpg
https://cdn.ncbi.nlm.nih.gov/pmc/blobs/e9a0/11372232/50cc921cacaf/jkaoms-50-4-227-f5.jpg
https://cdn.ncbi.nlm.nih.gov/pmc/blobs/e9a0/11372232/13389b9070fe/jkaoms-50-4-227-f6.jpg
https://cdn.ncbi.nlm.nih.gov/pmc/blobs/e9a0/11372232/b9f44a0e0f55/jkaoms-50-4-227-f7.jpg
https://cdn.ncbi.nlm.nih.gov/pmc/blobs/e9a0/11372232/6cc87c55edd8/jkaoms-50-4-227-f8.jpg
https://cdn.ncbi.nlm.nih.gov/pmc/blobs/e9a0/11372232/87d84439e0d7/jkaoms-50-4-227-f9.jpg
https://cdn.ncbi.nlm.nih.gov/pmc/blobs/e9a0/11372232/86ef2c34f50d/jkaoms-50-4-227-f10.jpg
https://cdn.ncbi.nlm.nih.gov/pmc/blobs/e9a0/11372232/ad7c8def3d7a/jkaoms-50-4-227-f1.jpg
https://cdn.ncbi.nlm.nih.gov/pmc/blobs/e9a0/11372232/64303204878c/jkaoms-50-4-227-f2.jpg
https://cdn.ncbi.nlm.nih.gov/pmc/blobs/e9a0/11372232/43e97fa6c574/jkaoms-50-4-227-f3.jpg
https://cdn.ncbi.nlm.nih.gov/pmc/blobs/e9a0/11372232/d065348b369b/jkaoms-50-4-227-f4.jpg
https://cdn.ncbi.nlm.nih.gov/pmc/blobs/e9a0/11372232/50cc921cacaf/jkaoms-50-4-227-f5.jpg
https://cdn.ncbi.nlm.nih.gov/pmc/blobs/e9a0/11372232/13389b9070fe/jkaoms-50-4-227-f6.jpg
https://cdn.ncbi.nlm.nih.gov/pmc/blobs/e9a0/11372232/b9f44a0e0f55/jkaoms-50-4-227-f7.jpg
https://cdn.ncbi.nlm.nih.gov/pmc/blobs/e9a0/11372232/6cc87c55edd8/jkaoms-50-4-227-f8.jpg
https://cdn.ncbi.nlm.nih.gov/pmc/blobs/e9a0/11372232/87d84439e0d7/jkaoms-50-4-227-f9.jpg
https://cdn.ncbi.nlm.nih.gov/pmc/blobs/e9a0/11372232/86ef2c34f50d/jkaoms-50-4-227-f10.jpg

相似文献

1
Surgery-early approach combined with condylectomy for correction of severe facial asymmetry with mandibular condylar hyperplasia: a case report.手术-早期入路联合髁突切除术矫正下颌髁突增生所致严重面部不对称:1例病例报告
J Korean Assoc Oral Maxillofac Surg. 2024 Aug 31;50(4):227-234. doi: 10.5125/jkaoms.2024.50.4.227.
2
Evaluation of treatment with unilateral mandibular sagittal split ramus osteotomy and maxillary osteotomy in patients with condylar osteochondroma and mandibular asymmetry: A retrospective case series.髁突骨软骨瘤伴下颌不对称患者行单侧下颌矢状劈开升支截骨术和上颌截骨术治疗的评估:一项回顾性病例系列研究。
J Craniomaxillofac Surg. 2023 Feb;51(2):123-129. doi: 10.1016/j.jcms.2023.01.007. Epub 2023 Jan 21.
3
[Imaging analysis of temporomandibular joint anatomy changes after intraoral condylectomy combined with orthognathic surgery].[髁突切除术联合正颌外科手术后颞下颌关节解剖结构变化的影像学分析]
Zhonghua Kou Qiang Yi Xue Za Zhi. 2016 Jun;51(6):350-6. doi: 10.3760/cma.j.issn.1002-0098.2016.06.007.
4
A surgical strategy for severe facial asymmetry due to unilateral condylar overgrowth.一种针对单侧髁突过度生长导致严重面部不对称的手术策略。
Int J Oral Maxillofac Surg. 2016 May;45(5):593-600. doi: 10.1016/j.ijom.2015.12.007. Epub 2016 Jan 6.
5
Low condylectomy and orthognathic surgery to treat mandibular condylar osteochondroma: a retrospective review of 37 cases.低位髁突切除术及正颌外科手术治疗下颌髁突骨软骨瘤:37例回顾性研究
J Oral Maxillofac Surg. 2014 Sep;72(9):1704-28. doi: 10.1016/j.joms.2014.03.009. Epub 2014 Mar 24.
6
Unilateral condylar hyperplasia: diagnosis, clinical aspects and operative treatment. A case report.单侧髁突增生:诊断、临床情况及手术治疗。病例报告。
Eur J Paediatr Dent. 2015 Jun;16(2):99-102.
7
Surface electromyography before and after orthognathic surgery and condylectomy in active laterognathia: a case report.正颌术后和髁突切除术治疗下颌偏斜的术前和术后表面肌电图:病例报告。
Eur J Paediatr Dent. 2017 Jun;18(2):131-138. doi: 10.23804/ejpd.2017.18.02.08.
8
Can Condylectomy Alone Achieve Facial Symmetry in Patients With Hemimandibular Hyperplasia (Condylar Hyperplasia Type 2)?单纯髁突切除术能否使半侧下颌骨增生(2型髁突增生)患者实现面部对称?
J Craniofac Surg. 2023;34(5):1479-1484. doi: 10.1097/SCS.0000000000009294. Epub 2023 Mar 20.
9
Changes in temporomandibular joint and ramus after sagittal split ramus osteotomy in mandibular prognathism patients with and without asymmetry.下颌前突伴或不伴不对称患者矢状劈开下颌骨截骨术后颞下颌关节和下颌升支的变化。
J Craniomaxillofac Surg. 2012 Dec;40(8):821-7. doi: 10.1016/j.jcms.2012.03.003. Epub 2012 Apr 14.
10
One-stage treatment to condylar osteochondroma combined with secondary jaw bone deformities by sliding vertical ramus osteotomy and mandibular contouring.通过垂直升支骨切开术和下颌轮廓塑形对髁突骨软骨瘤合并继发性颌骨畸形进行一期治疗。
J Craniofac Surg. 2014 Mar;25(2):367-71. doi: 10.1097/SCS.0000000000000634.

本文引用的文献

1
Diagnosis and Treatment in Unilateral Condylar Hyperplasia.单侧髁突增生的诊断与治疗
J Clin Med. 2023 Jan 28;12(3):1017. doi: 10.3390/jcm12031017.
2
Unilateral condylar hyperplasia treated with simultaneous 2-jaw orthognathic surgery and posterior segmental osteotomy.采用同期双颌正颌手术和后段截骨术治疗单侧髁突增生。
Angle Orthod. 2023 Mar 1;93(2):236-252. doi: 10.2319/060122-401.1.
3
Mandibular condylar remodeling characteristics after simultaneous condylectomy and orthognathic surgery.下颌髁突切除术后同期正颌手术对髁突改建的影响。
Am J Orthod Dentofacial Orthop. 2021 Nov;160(5):705-717. doi: 10.1016/j.ajodo.2020.06.040. Epub 2021 Aug 2.
4
Demographic features in Unilateral Condylar Hyperplasia: An overview of 309 asymmetric cases and presentation of an algorithm.单侧髁突肥大的人口学特征:309 例不对称病例概述及算法介绍。
J Craniomaxillofac Surg. 2018 Sep;46(9):1484-1492. doi: 10.1016/j.jcms.2018.06.007. Epub 2018 Jun 25.
5
Surgery-first/early-orthognathic approach may yield poorer postoperative stability than conventional orthodontics-first approach: a systematic review and meta-analysis.手术优先/早期正颌治疗方案可能比传统正畸优先方案术后稳定性更差:一项系统评价与荟萃分析。
Oral Surg Oral Med Oral Pathol Oral Radiol. 2018 Aug;126(2):107-116. doi: 10.1016/j.oooo.2018.02.018. Epub 2018 Mar 7.
6
SPECT bone scintigraphy for the assessment of condylar growth activity in mandibular asymmetry: is it accurate?单光子发射计算机断层扫描骨闪烁显像评估下颌不对称中髁突生长活性:准确吗?
Int J Oral Maxillofac Surg. 2018 Apr;47(4):470-479. doi: 10.1016/j.ijom.2017.09.008. Epub 2017 Oct 9.
7
Correlation between single photon emission computed tomography and histopathologic findings in condylar hyperplasia of the temporomandibular joint.颞下颌关节髁突增生中单光子发射计算机断层扫描与组织病理学结果的相关性
J Craniomaxillofac Surg. 2017 Jun;45(6):839-844. doi: 10.1016/j.jcms.2017.03.004. Epub 2017 Mar 24.
8
Comparative study of postoperative stability between conventional orthognathic surgery and a surgery-first orthognathic approach after bilateral sagittal split ramus osteotomy for skeletal class III correction.双侧矢状劈开下颌升支截骨术治疗Ⅲ类骨性错牙合畸形时,传统正颌手术与手术优先正颌方法术后稳定性的比较研究
J Korean Assoc Oral Maxillofac Surg. 2017 Feb;43(1):23-28. doi: 10.5125/jkaoms.2017.43.1.23. Epub 2017 Feb 20.
9
Comparative Evaluation of Condylar Volume Between Patients With Unilateral Condylar Hyperplasia and Class III Dentofacial Deformity.单侧髁突增生与Ⅲ类牙颌面畸形患者髁突体积的比较评估
J Oral Maxillofac Surg. 2017 Jan;75(1):180-188. doi: 10.1016/j.joms.2016.09.002. Epub 2016 Sep 14.
10
Condylar hyperplasia: An updated review of the literature.髁突增生:文献综述更新
Korean J Orthod. 2015 Nov;45(6):333-40. doi: 10.4041/kjod.2015.45.6.333. Epub 2015 Nov 20.