• 文献检索
  • 文档翻译
  • 深度研究
  • 学术资讯
  • Suppr Zotero 插件Zotero 插件
  • 邀请有礼
  • 套餐&价格
  • 历史记录
应用&插件
Suppr Zotero 插件Zotero 插件浏览器插件Mac 客户端Windows 客户端微信小程序
定价
高级版会员购买积分包购买API积分包
服务
文献检索文档翻译深度研究API 文档MCP 服务
关于我们
关于 Suppr公司介绍联系我们用户协议隐私条款
关注我们

Suppr 超能文献

核心技术专利:CN118964589B侵权必究
粤ICP备2023148730 号-1Suppr @ 2026

文献检索

告别复杂PubMed语法,用中文像聊天一样搜索,搜遍4000万医学文献。AI智能推荐,让科研检索更轻松。

立即免费搜索

文件翻译

保留排版,准确专业,支持PDF/Word/PPT等文件格式,支持 12+语言互译。

免费翻译文档

深度研究

AI帮你快速写综述,25分钟生成高质量综述,智能提取关键信息,辅助科研写作。

立即免费体验

酷似假瘤的慢性侵袭性真菌性鼻窦炎:一例报告。

Chronic invasive fungal sinusitis mimicking pseudotumor: A case report.

作者信息

Gueye Coumba, Niang Ibrahima, Gueye Elhadji A

机构信息

Radiology department, Hospital Mame Abdou Aziz SY, Tivaouane, Senegal.

Radiology department, University Hospital of Fann, Dakar, Senegal.

出版信息

Radiol Case Rep. 2024 Aug 10;19(11):4780-4783. doi: 10.1016/j.radcr.2024.07.108. eCollection 2024 Nov.

DOI:10.1016/j.radcr.2024.07.108
PMID:39228933
原文链接:https://pmc.ncbi.nlm.nih.gov/articles/PMC11366909/
Abstract

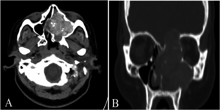
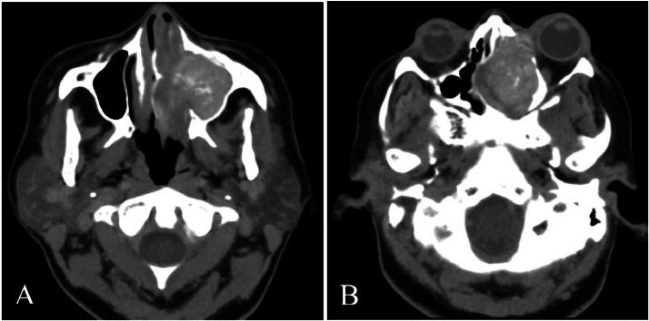
Fungal sinusitis encompasses a wide range of diseases, including both invasive and noninvasive, acute, and chronic forms. The incidence of invasive sinusitis is on the rise, primarily affecting immunocompromised individuals and diabetics. This case report highlights a patient who developed invasive fungal sinusitis despite no other apparent cause of immunosuppression. Imaging studies suggested the diagnosis, confirmed by presence of on mycological culture.

摘要

真菌性鼻窦炎涵盖多种疾病,包括侵袭性和非侵袭性、急性和慢性形式。侵袭性鼻窦炎的发病率正在上升,主要影响免疫功能低下的个体和糖尿病患者。本病例报告重点介绍了一名患者,该患者尽管没有其他明显的免疫抑制原因,但仍患上了侵袭性真菌性鼻窦炎。影像学检查提示了诊断,真菌培养发现真菌确诊。

https://cdn.ncbi.nlm.nih.gov/pmc/blobs/25ca/11366909/f15e9f8ba40e/gr3.jpg
https://cdn.ncbi.nlm.nih.gov/pmc/blobs/25ca/11366909/532f5ddbab6c/gr1.jpg
https://cdn.ncbi.nlm.nih.gov/pmc/blobs/25ca/11366909/71991b20c934/gr2.jpg
https://cdn.ncbi.nlm.nih.gov/pmc/blobs/25ca/11366909/f15e9f8ba40e/gr3.jpg
https://cdn.ncbi.nlm.nih.gov/pmc/blobs/25ca/11366909/532f5ddbab6c/gr1.jpg
https://cdn.ncbi.nlm.nih.gov/pmc/blobs/25ca/11366909/71991b20c934/gr2.jpg
https://cdn.ncbi.nlm.nih.gov/pmc/blobs/25ca/11366909/f15e9f8ba40e/gr3.jpg

相似文献

1
Chronic invasive fungal sinusitis mimicking pseudotumor: A case report.酷似假瘤的慢性侵袭性真菌性鼻窦炎:一例报告。
Radiol Case Rep. 2024 Aug 10;19(11):4780-4783. doi: 10.1016/j.radcr.2024.07.108. eCollection 2024 Nov.
2
Mycological profile of fungal sinusitis: An audit of specimens over a 7-year period in a tertiary care hospital in Tamil Nadu.真菌性鼻窦炎的真菌学特征:对泰米尔纳德邦一家三级护理医院7年期间标本的审计
Indian J Pathol Microbiol. 2008 Oct-Dec;51(4):493-6. doi: 10.4103/0377-4929.43738.
3
Invasive sinusitis in an immunocompetent patient using intranasal cocaine.免疫功能正常的患者使用鼻内可卡因后发生侵袭性鼻窦炎。
IDCases. 2021 Nov 2;26:e01327. doi: 10.1016/j.idcr.2021.e01327. eCollection 2021.
4
Chronic invasive fungal sinusitis associated with intranasal drug use.与鼻内用药相关的慢性侵袭性真菌性鼻窦炎。
Laryngoscope. 2015 Dec;125(12):2656-9. doi: 10.1002/lary.25429. Epub 2015 Jul 7.
5
Fungal rhino sinusitisin in tehran, iran.伊朗德黑兰的真菌性鼻鼻窦炎
Iran J Public Health. 2015 Mar;44(3):374-9.
6
Syndromes of invasive fungal sinusitis.侵袭性真菌性鼻窦炎综合征
Med Mycol. 2009;47 Suppl 1:S309-14. doi: 10.1080/13693780802213399. Epub 2008 Jul 24.
7
[Fungal sinusitis].[真菌性鼻窦炎]
Rev Mal Respir. 2017 Jun;34(6):672-692. doi: 10.1016/j.rmr.2016.09.004. Epub 2017 Jul 10.
8
Chronic invasive fungal sinusitis: characterization and shift in management of a rare disease.慢性侵袭性真菌性鼻窦炎:一种罕见疾病的特征及治疗策略的转变。
Int Forum Allergy Rhinol. 2016 Dec;6(12):1294-1300. doi: 10.1002/alr.21828. Epub 2016 Jul 27.
9
Imaging approach for fungal sinusitis.真菌性鼻窦炎的影像学检查方法
Curr Opin Otolaryngol Head Neck Surg. 2025 Feb 1;33(1):56-63. doi: 10.1097/MOO.0000000000001018. Epub 2024 Sep 30.
10
Invasive fungal sinusitis in patients undergoing bone marrow transplantation.接受骨髓移植患者的侵袭性真菌性鼻窦炎
Bone Marrow Transplant. 1993 Sep;12(3):203-8.

本文引用的文献

1
Imaging of chronic rhinosinusitis with nasal polyps in the era of biological therapies.生物疗法时代的慢性鼻-鼻窦炎伴鼻息肉影像学
Curr Opin Allergy Clin Immunol. 2024 Aug 1;24(4):243-250. doi: 10.1097/ACI.0000000000000964. Epub 2024 Feb 12.
2
Steroid-induced secondary immune deficiency.类固醇诱导的继发性免疫缺陷。
Ann Allergy Asthma Immunol. 2023 Jun;130(6):713-717. doi: 10.1016/j.anai.2023.01.010. Epub 2023 Jan 18.
3
[IManagement of patients with relapsed primary naso-sinusal tuberculosis].[复发性原发性鼻-鼻窦结核患者的管理]
Pan Afr Med J. 2020 Jun 12;36:84. doi: 10.11604/pamj.2020.36.84.13067. eCollection 2020.
4
Frequency of Granulomatous Invasive Fungal Sinusitis in Patients with Clinical Suspicion of Chronic Fungal Rhinosinusitis.临床怀疑慢性真菌性鼻-鼻窦炎患者中肉芽肿性侵袭性真菌性鼻窦炎的发生率
Cureus. 2019 May 25;11(5):e4757. doi: 10.7759/cureus.4757.
5
Invasive and Non-Invasive Fungal Rhinosinusitis-A Review and Update of the Evidence.侵袭性和非侵袭性真菌性鼻-鼻窦炎-证据的回顾和更新。
Medicina (Kaunas). 2019 Jun 28;55(7):319. doi: 10.3390/medicina55070319.
6
Fungal Rhinosinusitis: Unravelling the Disease Spectrum.真菌性鼻-鼻窦炎:剖析疾病谱
J Maxillofac Oral Surg. 2019 Jun;18(2):164-179. doi: 10.1007/s12663-018-01182-w. Epub 2019 Jan 28.
7
Impact of early detection of acute invasive fungal rhinosinusitis in immunocompromised patients.免疫功能低下患者急性侵袭性真菌性鼻-鼻窦炎的早期检测的影响。
BMC Infect Dis. 2019 Apr 5;19(1):310. doi: 10.1186/s12879-019-3938-y.
8
[Nasal NK/T-cell lymphoma: about two rare cases].[鼻型NK/T细胞淋巴瘤:两例罕见病例]
Pan Afr Med J. 2018 Jun 19;30:141. doi: 10.11604/pamj.2018.30.141.7721. eCollection 2018.
9
New tools for preoperative diagnosis of allergic fungal sinusitis? A prospective study about 71 patients.变应性真菌性鼻窦炎术前诊断的新工具?一项针对71例患者的前瞻性研究。
Clin Otolaryngol. 2019 Jan;44(1):91-96. doi: 10.1111/coa.13243. Epub 2018 Nov 25.
10
[Allergic fungal rhinosinusitis: A diagnosis to evoke].[变应性真菌性鼻-鼻窦炎:需引起重视的诊断]
Presse Med. 2018 Jul-Aug;47(7-8 Pt 1):625-638. doi: 10.1016/j.lpm.2018.04.010. Epub 2018 Jul 21.