• 文献检索
  • 文档翻译
  • 深度研究
  • 学术资讯
  • Suppr Zotero 插件Zotero 插件
  • 邀请有礼
  • 套餐&价格
  • 历史记录
应用&插件
Suppr Zotero 插件Zotero 插件浏览器插件Mac 客户端Windows 客户端微信小程序
定价
高级版会员购买积分包购买API积分包
服务
文献检索文档翻译深度研究API 文档MCP 服务
关于我们
关于 Suppr公司介绍联系我们用户协议隐私条款
关注我们

Suppr 超能文献

核心技术专利:CN118964589B侵权必究
粤ICP备2023148730 号-1Suppr @ 2026

文献检索

告别复杂PubMed语法,用中文像聊天一样搜索,搜遍4000万医学文献。AI智能推荐,让科研检索更轻松。

立即免费搜索

文件翻译

保留排版,准确专业,支持PDF/Word/PPT等文件格式,支持 12+语言互译。

免费翻译文档

深度研究

AI帮你快速写综述,25分钟生成高质量综述,智能提取关键信息,辅助科研写作。

立即免费体验

间歇性低氧诱导的巨噬细胞来源的白细胞介素 6 通过 MARCH3 介导的 GPX4 泛素化促进铁死亡加重非酒精性脂肪性肝病。

IL6 Derived from Macrophages under Intermittent Hypoxia Exacerbates NAFLD by Promoting Ferroptosis via MARCH3-Led Ubiquitylation of GPX4.

机构信息

Department of Otorhinolaryngology, Head and Neck Surgery, Zhongnan Hospital of Wuhan University, Wuhan, 430071, China.

Sleep Medicine Center, Zhongnan Hospital of Wuhan University, Wuhan, 430071, China.

出版信息

Adv Sci (Weinh). 2024 Nov;11(41):e2402241. doi: 10.1002/advs.202402241. Epub 2024 Sep 4.

DOI:10.1002/advs.202402241
PMID:39229924
原文链接:https://pmc.ncbi.nlm.nih.gov/articles/PMC11538716/
Abstract

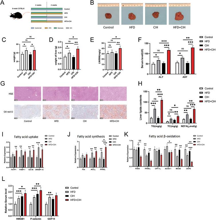
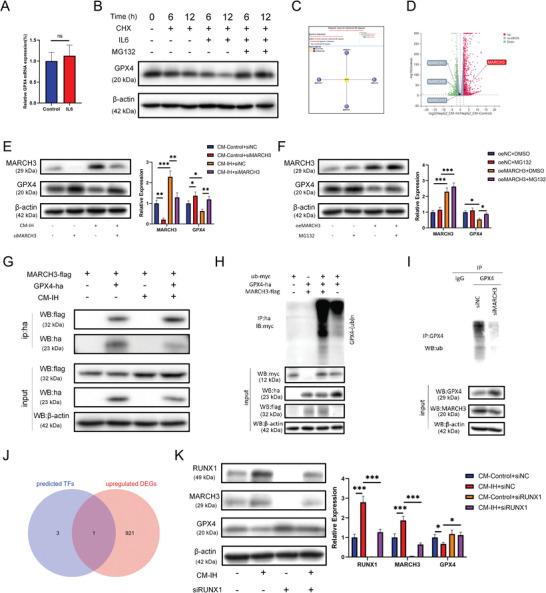
Obstructive sleep apnea (OSA) is a common sleep disorder characterized by intermittent hypoxia (IH) and is associated with the occurrence and development of nonalcoholic fatty liver disease (NAFLD). However, the specific mechanism by which OSA induces NAFLD remains unclear. Therefore, effective interventions are lacking. This study aims to investigate the role and mechanism of ferroptosis in OSA-related NAFLD using clinical data analyses, cell-based molecular experiments, and animal experiments. Indicators of liver function, lipid accumulation, and ferroptosis are also examined. RNA-seq, qPCR, western blotting, gene intervention, and E3 ligase prediction using UbiBrowser and co-IP are used to explore the potential underlying mechanisms. The results show that ferroptosis increases in the liver tissues of patients with OSA. Chronic IH promotes NAFLD progression in mice and is alleviated by a ferroptosis inhibitor Fer-1. The increased secretion of IL6 by macrophages can promote the expression of MARCH3 in hepatocytes under intermittent conditions, and subsequently promote the ubiquitination and degradation of GPX4 to regulate ferroptosis and lipid accumulation in hepatocytes. Hence, targeted inhibition of MARCH3 may alleviate IH-induced ferroptosis and lipid accumulation in liver tissues and inhibit the progression of NAFLD.

摘要

阻塞性睡眠呼吸暂停(OSA)是一种常见的睡眠障碍,其特征为间歇性缺氧(IH),并与非酒精性脂肪性肝病(NAFLD)的发生和发展有关。然而,OSA 诱导 NAFLD 的具体机制尚不清楚。因此,缺乏有效的干预措施。本研究旨在通过临床数据分析、基于细胞的分子实验和动物实验,探讨铁死亡在 OSA 相关 NAFLD 中的作用和机制。还检查了肝功能、脂质积累和铁死亡的指标。使用 UbiBrowser 和 co-IP 进行 RNA-seq、qPCR、western blot、基因干预和 E3 连接酶预测,以探索潜在的潜在机制。结果表明,铁死亡在 OSA 患者的肝组织中增加。慢性 IH 促进了小鼠的 NAFLD 进展,而铁死亡抑制剂 Fer-1 可减轻其进展。巨噬细胞中 IL6 的分泌增加可在间歇性条件下促进 MARCH3 在肝细胞中的表达,进而促进 GPX4 的泛素化和降解,调节肝细胞中的铁死亡和脂质积累。因此,靶向抑制 MARCH3 可能缓解 IH 诱导的肝组织铁死亡和脂质积累,并抑制 NAFLD 的进展。

https://cdn.ncbi.nlm.nih.gov/pmc/blobs/c091/11538716/505cc99db500/ADVS-11-2402241-g003.jpg
https://cdn.ncbi.nlm.nih.gov/pmc/blobs/c091/11538716/0e2f46285167/ADVS-11-2402241-g004.jpg
https://cdn.ncbi.nlm.nih.gov/pmc/blobs/c091/11538716/11b6293c1bc1/ADVS-11-2402241-g002.jpg
https://cdn.ncbi.nlm.nih.gov/pmc/blobs/c091/11538716/40b33391c27c/ADVS-11-2402241-g001.jpg
https://cdn.ncbi.nlm.nih.gov/pmc/blobs/c091/11538716/0421515013d5/ADVS-11-2402241-g008.jpg
https://cdn.ncbi.nlm.nih.gov/pmc/blobs/c091/11538716/40d1d2dc1e73/ADVS-11-2402241-g007.jpg
https://cdn.ncbi.nlm.nih.gov/pmc/blobs/c091/11538716/83b3948e26d7/ADVS-11-2402241-g009.jpg
https://cdn.ncbi.nlm.nih.gov/pmc/blobs/c091/11538716/74d64f36878e/ADVS-11-2402241-g010.jpg
https://cdn.ncbi.nlm.nih.gov/pmc/blobs/c091/11538716/fadb7cc94bb3/ADVS-11-2402241-g005.jpg
https://cdn.ncbi.nlm.nih.gov/pmc/blobs/c091/11538716/505cc99db500/ADVS-11-2402241-g003.jpg
https://cdn.ncbi.nlm.nih.gov/pmc/blobs/c091/11538716/0e2f46285167/ADVS-11-2402241-g004.jpg
https://cdn.ncbi.nlm.nih.gov/pmc/blobs/c091/11538716/11b6293c1bc1/ADVS-11-2402241-g002.jpg
https://cdn.ncbi.nlm.nih.gov/pmc/blobs/c091/11538716/40b33391c27c/ADVS-11-2402241-g001.jpg
https://cdn.ncbi.nlm.nih.gov/pmc/blobs/c091/11538716/0421515013d5/ADVS-11-2402241-g008.jpg
https://cdn.ncbi.nlm.nih.gov/pmc/blobs/c091/11538716/40d1d2dc1e73/ADVS-11-2402241-g007.jpg
https://cdn.ncbi.nlm.nih.gov/pmc/blobs/c091/11538716/83b3948e26d7/ADVS-11-2402241-g009.jpg
https://cdn.ncbi.nlm.nih.gov/pmc/blobs/c091/11538716/74d64f36878e/ADVS-11-2402241-g010.jpg
https://cdn.ncbi.nlm.nih.gov/pmc/blobs/c091/11538716/fadb7cc94bb3/ADVS-11-2402241-g005.jpg
https://cdn.ncbi.nlm.nih.gov/pmc/blobs/c091/11538716/505cc99db500/ADVS-11-2402241-g003.jpg

相似文献

1
IL6 Derived from Macrophages under Intermittent Hypoxia Exacerbates NAFLD by Promoting Ferroptosis via MARCH3-Led Ubiquitylation of GPX4.间歇性低氧诱导的巨噬细胞来源的白细胞介素 6 通过 MARCH3 介导的 GPX4 泛素化促进铁死亡加重非酒精性脂肪性肝病。
Adv Sci (Weinh). 2024 Nov;11(41):e2402241. doi: 10.1002/advs.202402241. Epub 2024 Sep 4.
2
TRIM59 promotes steatosis and ferroptosis in non-alcoholic fatty liver disease via enhancing GPX4 ubiquitination.TRIM59 通过增强 GPX4 泛素化促进非酒精性脂肪性肝病中的脂肪变性和铁死亡。
Hum Cell. 2023 Jan;36(1):209-222. doi: 10.1007/s13577-022-00820-3. Epub 2022 Nov 22.
3
Thymosin beta 4 alleviates non-alcoholic fatty liver by inhibiting ferroptosis via up-regulation of GPX4.胸腺素 β4 通过上调 GPX4 抑制铁死亡缓解非酒精性脂肪肝。
Eur J Pharmacol. 2021 Oct 5;908:174351. doi: 10.1016/j.ejphar.2021.174351. Epub 2021 Jul 16.
4
Exosomes regulate SIRT3-related autophagy by delivering miR-421 to regulate macrophage polarization and participate in OSA-related NAFLD.外泌体通过递送 miR-421 调节 SIRT3 相关自噬,从而调节巨噬细胞极化并参与 OSA 相关的非酒精性脂肪性肝病。
J Transl Med. 2024 May 19;22(1):475. doi: 10.1186/s12967-024-05283-8.
5
Therapeutic potential of palmitoleic acid in non-alcoholic fatty liver disease: Targeting ferroptosis and lipid metabolism disorders.棕榈油酸在非酒精性脂肪性肝病中的治疗潜力:靶向铁死亡和脂质代谢紊乱。
Int Immunopharmacol. 2024 Dec 5;142(Pt A):113025. doi: 10.1016/j.intimp.2024.113025. Epub 2024 Sep 6.
6
Silica nanoparticles induce liver lipid metabolism disorder via ACSL4-mediated ferroptosis.硅纳米颗粒通过 ACSL4 介导的铁死亡诱导肝脏脂质代谢紊乱。
Environ Pollut. 2024 Oct 15;359:124590. doi: 10.1016/j.envpol.2024.124590. Epub 2024 Jul 21.
7
Spermidine mitigates ferroptosis in free fatty acid-induced AML-12 cells through the ATF4/SLC7A11/GCLM/GPX4 pathway.亚精胺通过 ATF4/SLC7A11/GCLM/GPX4 通路减轻游离脂肪酸诱导的 AML-12 细胞铁死亡。
Biochim Biophys Acta Mol Cell Biol Lipids. 2024 Dec;1869(8):159560. doi: 10.1016/j.bbalip.2024.159560. Epub 2024 Aug 22.
8
Intermittent hypoxia aggravates non-alcoholic fatty liver disease via RIPK3-dependent necroptosis-modulated Nrf2/NFκB signaling pathway.间歇性低氧通过 RIPK3 依赖性坏死性凋亡调节的 Nrf2/NFκB 信号通路加重非酒精性脂肪性肝病。
Life Sci. 2021 Nov 15;285:119963. doi: 10.1016/j.lfs.2021.119963. Epub 2021 Sep 16.
9
Chemical hypoxia induces pro-inflammatory signals in fat-laden hepatocytes and contributes to cellular crosstalk with Kupffer cells through extracellular vesicles.化学缺氧会在富含脂肪的肝细胞中诱导促炎信号,并通过细胞外囊泡促进与库普弗细胞的细胞串扰。
Biochim Biophys Acta Mol Basis Dis. 2020 Jun 1;1866(6):165753. doi: 10.1016/j.bbadis.2020.165753. Epub 2020 Feb 29.
10
Triptolide induced spermatogenesis dysfunction via ferroptosis activation by promoting K63-linked GPX4 polyubiquitination in spermatocytes.雷公藤红素通过促进精母细胞中 K63 连接的 GPX4 多聚泛素化来激活铁死亡导致精子发生功能障碍。
Chem Biol Interact. 2024 Aug 25;399:111130. doi: 10.1016/j.cbi.2024.111130. Epub 2024 Jul 2.

引用本文的文献

1
[Application of Animal Models in Research on Hypoxia-Related Diseases].[动物模型在缺氧相关疾病研究中的应用]
Sichuan Da Xue Xue Bao Yi Xue Ban. 2025 Mar 20;56(2):331-338. doi: 10.12182/20250360101.
2
Killing hepatocellular carcinoma in the NAFLD/NASH stage: a comprehensive perspective on targeting regulated cell death.在非酒精性脂肪性肝病/非酒精性脂肪性肝炎阶段杀死肝细胞癌:关于靶向程序性细胞死亡的全面观点
Cell Death Discov. 2025 Jun 19;11(1):281. doi: 10.1038/s41420-025-02558-x.
3
Ferroptosis in NAFLD: insights and the therapeutic potential of exercise.

本文引用的文献

1
Macrophage functional diversity in NAFLD - more than inflammation.非酒精性脂肪性肝病中巨噬细胞的功能多样性——不止炎症那么简单。
Nat Rev Endocrinol. 2022 Aug;18(8):461-472. doi: 10.1038/s41574-022-00675-6. Epub 2022 May 9.
2
Serum Transferrin Level Is Associated with the Severity of Obstructive Sleep Apnea Independently of Obesity: A Propensity Score-Match Observational Study.血清转铁蛋白水平与阻塞性睡眠呼吸暂停的严重程度相关,与肥胖无关:一项倾向评分匹配的观察性研究。
Obes Facts. 2022;15(4):487-497. doi: 10.1159/000524542. Epub 2022 Apr 12.
3
The multifaceted role of ferroptosis in liver disease.
非酒精性脂肪性肝病中的铁死亡:见解与运动的治疗潜力
Front Med (Lausanne). 2025 Mar 26;12:1462145. doi: 10.3389/fmed.2025.1462145. eCollection 2025.
4
Cutting edge: ferroptosis in metabolic dysfunction-associated steatotic liver disease (MASLD) pathogenesis and therapy.前沿:铁死亡在代谢功能障碍相关脂肪性肝病(MASLD)发病机制及治疗中的作用
Funct Integr Genomics. 2025 Mar 25;25(1):71. doi: 10.1007/s10142-025-01579-0.
5
Corneal Mucin-Targeting Liposome Nanoplatforms Enable Effective Treatment of Dry Eye Diseases by Integrated Regulation of Ferroptosis and Inflammation.角膜黏蛋白靶向脂质体纳米平台通过铁死亡和炎症的综合调节实现对干眼症的有效治疗。
Adv Sci (Weinh). 2025 Jan;12(3):e2411172. doi: 10.1002/advs.202411172. Epub 2024 Nov 28.
6
Exploring the Mechanism of Ferroptosis Induction by Sappanone A in Cancer: Insights into the Mitochondrial Dysfunction Mediated by NRF2/xCT/GPX4 Axis.探讨紫檀芪诱导癌细胞铁死亡的机制:NRF2/xCT/GPX4 轴介导的线粒体功能障碍研究进展。
Int J Biol Sci. 2024 Sep 23;20(13):5145-5161. doi: 10.7150/ijbs.96748. eCollection 2024.
铁死亡在肝脏疾病中的多方面作用。
Cell Death Differ. 2022 Mar;29(3):467-480. doi: 10.1038/s41418-022-00941-0. Epub 2022 Jan 24.
4
MARCH3 negatively regulates IL-3-triggered inflammatory response by mediating K48-linked polyubiquitination and degradation of IL-3Rα.MARCH3 通过介导 IL-3Rα 的 K48 连接多泛素化和降解来负调控 IL-3 触发的炎症反应。
Signal Transduct Target Ther. 2022 Jan 24;7(1):21. doi: 10.1038/s41392-021-00834-7.
5
Ferroptosis and metabolic dysfunction-associated fatty liver disease: Is there a link?铁死亡与代谢相关脂肪性肝病:有关联吗?
Liver Int. 2022 Jul;42(7):1496-1502. doi: 10.1111/liv.15163. Epub 2022 Jan 23.
6
New insights into IL-6 family cytokines in metabolism, hepatology and gastroenterology.白细胞介素-6家族细胞因子在代谢、肝病学和胃肠病学方面的新见解。
Nat Rev Gastroenterol Hepatol. 2021 Nov;18(11):787-803. doi: 10.1038/s41575-021-00473-x. Epub 2021 Jul 1.
7
Macrophage extracellular traps aggravate iron overload-related liver ischaemia/reperfusion injury.巨噬细胞细胞外陷阱加剧铁过载相关的肝缺血/再灌注损伤。
Br J Pharmacol. 2021 Sep;178(18):3783-3796. doi: 10.1111/bph.15518. Epub 2021 Jun 13.
8
Non-alcoholic fatty liver disease.非酒精性脂肪性肝病。
Lancet. 2021 Jun 5;397(10290):2212-2224. doi: 10.1016/S0140-6736(20)32511-3. Epub 2021 Apr 21.
9
TREM2 sustains macrophage-hepatocyte metabolic coordination in nonalcoholic fatty liver disease and sepsis.TREM2 维持非酒精性脂肪性肝病和脓毒症中巨噬细胞-肝细胞的代谢协调。
J Clin Invest. 2021 Feb 15;131(4). doi: 10.1172/JCI135197.
10
Immunopathobiology and therapeutic targets related to cytokines in liver diseases.与肝脏疾病相关细胞因子的免疫病理生物学及治疗靶点。
Cell Mol Immunol. 2021 Jan;18(1):18-37. doi: 10.1038/s41423-020-00580-w. Epub 2020 Nov 17.