• 文献检索
  • 文档翻译
  • 深度研究
  • 学术资讯
  • Suppr Zotero 插件Zotero 插件
  • 邀请有礼
  • 套餐&价格
  • 历史记录
应用&插件
Suppr Zotero 插件Zotero 插件浏览器插件Mac 客户端Windows 客户端微信小程序
定价
高级版会员购买积分包购买API积分包
服务
文献检索文档翻译深度研究API 文档MCP 服务
关于我们
关于 Suppr公司介绍联系我们用户协议隐私条款
关注我们

Suppr 超能文献

核心技术专利:CN118964589B侵权必究
粤ICP备2023148730 号-1Suppr @ 2026

文献检索

告别复杂PubMed语法,用中文像聊天一样搜索,搜遍4000万医学文献。AI智能推荐,让科研检索更轻松。

立即免费搜索

文件翻译

保留排版,准确专业,支持PDF/Word/PPT等文件格式,支持 12+语言互译。

免费翻译文档

深度研究

AI帮你快速写综述,25分钟生成高质量综述,智能提取关键信息,辅助科研写作。

立即免费体验

中心体扩增使卵巢癌细胞对细胞凋亡敏感,并增强对化疗的反应。

Centrosome amplification primes ovarian cancer cells for apoptosis and potentiates the response to chemotherapy.

机构信息

Biology of centrosomes and genetic instability, Institut Curie, PSL Research University, CNRS UMR 144, Paris, France.

Department of Translational Research, Institut Curie, PSL University, Paris, France.

出版信息

PLoS Biol. 2024 Sep 5;22(9):e3002759. doi: 10.1371/journal.pbio.3002759. eCollection 2024 Sep.

DOI:10.1371/journal.pbio.3002759
PMID:39236086
原文链接:https://pmc.ncbi.nlm.nih.gov/articles/PMC11441705/
Abstract

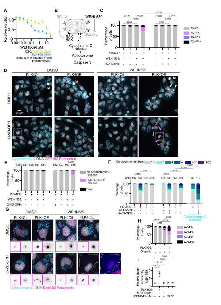
Centrosome amplification is a feature of cancer cells associated with chromosome instability and invasiveness. Enhancing chromosome instability and subsequent cancer cell death via centrosome unclustering and multipolar divisions is an aimed-for therapeutic approach. Here, we show that centrosome amplification potentiates responses to conventional chemotherapy in addition to its effect on multipolar divisions and chromosome instability. We perform single-cell live imaging of chemotherapy responses in epithelial ovarian cancer cell lines and observe increased cell death when centrosome amplification is induced. By correlating cell fate with mitotic behaviors, we show that enhanced cell death can occur independently of chromosome instability. We identify that cells with centrosome amplification are primed for apoptosis. We show they are dependent on the apoptotic inhibitor BCL-XL and that this is not a consequence of mitotic stresses associated with centrosome amplification. Given the multiple mechanisms that promote chemotherapy responses in cells with centrosome amplification, we assess such a relationship in an epithelial ovarian cancer patient cohort. We show that high centrosome numbers associate with improved treatment responses and longer overall survival. Our work identifies apoptotic priming as a clinically relevant consequence of centrosome amplification, expanding our understanding of this pleiotropic cancer cell feature.

摘要

中心体扩增是与染色体不稳定性和侵袭性相关的癌细胞特征。通过中心体解聚和多极分裂来增强染色体不稳定性并随后诱导癌细胞死亡是一种靶向治疗方法。在这里,我们表明中心体扩增除了对多极分裂和染色体不稳定性有影响外,还能增强对常规化疗的反应。我们对上皮性卵巢癌细胞系中的化疗反应进行了单细胞实时成像,并观察到中心体扩增诱导时细胞死亡增加。通过将细胞命运与有丝分裂行为相关联,我们表明增强的细胞死亡可以独立于染色体不稳定性发生。我们发现具有中心体扩增的细胞为细胞凋亡做好了准备。我们表明它们依赖于凋亡抑制剂 BCL-XL,并且这不是与中心体扩增相关的有丝分裂应激的后果。鉴于中心体扩增的细胞中存在多种促进化疗反应的机制,我们在上皮性卵巢癌患者队列中评估了这种关系。我们表明,高中心体数量与改善的治疗反应和更长的总生存期相关。我们的工作确定了凋亡引发是中心体扩增的一个临床相关后果,扩展了我们对这种多效性癌细胞特征的理解。

https://cdn.ncbi.nlm.nih.gov/pmc/blobs/1acf/11441705/4715fbf85982/pbio.3002759.g004.jpg
https://cdn.ncbi.nlm.nih.gov/pmc/blobs/1acf/11441705/c6e8d442b9f2/pbio.3002759.g001.jpg
https://cdn.ncbi.nlm.nih.gov/pmc/blobs/1acf/11441705/3b81e9a81170/pbio.3002759.g002.jpg
https://cdn.ncbi.nlm.nih.gov/pmc/blobs/1acf/11441705/76f4d0b2ff63/pbio.3002759.g003.jpg
https://cdn.ncbi.nlm.nih.gov/pmc/blobs/1acf/11441705/4715fbf85982/pbio.3002759.g004.jpg
https://cdn.ncbi.nlm.nih.gov/pmc/blobs/1acf/11441705/c6e8d442b9f2/pbio.3002759.g001.jpg
https://cdn.ncbi.nlm.nih.gov/pmc/blobs/1acf/11441705/3b81e9a81170/pbio.3002759.g002.jpg
https://cdn.ncbi.nlm.nih.gov/pmc/blobs/1acf/11441705/76f4d0b2ff63/pbio.3002759.g003.jpg
https://cdn.ncbi.nlm.nih.gov/pmc/blobs/1acf/11441705/4715fbf85982/pbio.3002759.g004.jpg

相似文献

1
Centrosome amplification primes ovarian cancer cells for apoptosis and potentiates the response to chemotherapy.中心体扩增使卵巢癌细胞对细胞凋亡敏感,并增强对化疗的反应。
PLoS Biol. 2024 Sep 5;22(9):e3002759. doi: 10.1371/journal.pbio.3002759. eCollection 2024 Sep.
2
Blocking Mitotic Exit of Ovarian Cancer Cells by Pharmaceutical Inhibition of the Anaphase-Promoting Complex Reduces Chromosomal Instability.通过药物抑制后期促进复合物阻断卵巢癌细胞有丝分裂后期退出可减少染色体不稳定性。
Neoplasia. 2019 Apr;21(4):363-375. doi: 10.1016/j.neo.2019.01.007. Epub 2019 Mar 7.
3
Deregulation of the centrosome cycle and the origin of chromosomal instability in cancer.中心体周期失调与癌症中染色体不稳定性的起源
Adv Exp Med Biol. 2005;570:393-421. doi: 10.1007/1-4020-3764-3_14.
4
Inhibition of glycogen synthase kinase-3 beta induces apoptosis and mitotic catastrophe by disrupting centrosome regulation in cancer cells.糖原合酶激酶-3β的抑制通过破坏癌细胞中的中心体调节来诱导细胞凋亡和有丝分裂灾难。
Sci Rep. 2015 Aug 21;5:13249. doi: 10.1038/srep13249.
5
Centrosome amplification induced by survivin suppression enhances both chromosome instability and radiosensitivity in glioma cells.生存素抑制诱导的中心体扩增增强了胶质瘤细胞的染色体不稳定性和放射敏感性。
Br J Cancer. 2008 Jan 29;98(2):345-55. doi: 10.1038/sj.bjc.6604160. Epub 2008 Jan 15.
6
Pooled Genomic Screens Identify Anti-apoptotic Genes as Targetable Mediators of Chemotherapy Resistance in Ovarian Cancer.基于基因组的联合筛选鉴定出抗凋亡基因,其可作为卵巢癌化疗耐药的靶向治疗新靶点。
Mol Cancer Res. 2019 Nov;17(11):2281-2293. doi: 10.1158/1541-7786.MCR-18-1243. Epub 2019 Aug 28.
7
KIFCI, a novel putative prognostic biomarker for ovarian adenocarcinomas: delineating protein interaction networks and signaling circuitries.KIFCI,一种新型的卵巢腺癌潜在预后生物标志物:描绘蛋白质相互作用网络和信号通路。
J Ovarian Res. 2014 May 12;7:53. doi: 10.1186/1757-2215-7-53. eCollection 2014.
8
Boosting the apoptotic response of high-grade serous ovarian cancers with CCNE1 amplification to paclitaxel in vitro by targeting APC/C and the pro-survival protein MCL-1.通过靶向 APC/C 和抗凋亡蛋白 MCL-1 增强 CCNE1 扩增的高级别浆液性卵巢癌对紫杉醇的体外凋亡反应。
Int J Cancer. 2020 Feb 15;146(4):1086-1098. doi: 10.1002/ijc.32559. Epub 2019 Jul 22.
9
Metformin and epithelial ovarian cancer therapeutics.二甲双胍与上皮性卵巢癌治疗药物
Cell Oncol (Dordr). 2015 Oct;38(5):365-75. doi: 10.1007/s13402-015-0235-7. Epub 2015 Aug 13.
10
A catalog of numerical centrosome defects in epithelial ovarian cancers.上皮性卵巢癌中存在大量的中心体缺陷。
EMBO Mol Med. 2022 Sep 7;14(9):e15670. doi: 10.15252/emmm.202215670.

引用本文的文献

1
Screening a living biobank identifies cabazitaxel as a strategy to combat acquired taxol resistance in high-grade serous ovarian cancer.对一个活体生物样本库进行筛查后发现,卡巴他赛可作为一种策略来对抗高级别浆液性卵巢癌中获得性紫杉醇耐药。
Cell Rep Med. 2025 Jun 17;6(6):102160. doi: 10.1016/j.xcrm.2025.102160. Epub 2025 Jun 3.
2
STIL overexpression shortens lifespan and reduces tumor formation in mice.STIL 过表达缩短了小鼠的寿命并降低了肿瘤形成的风险。
PLoS Genet. 2024 Oct 28;20(10):e1011460. doi: 10.1371/journal.pgen.1011460. eCollection 2024 Oct.

本文引用的文献

1
Clinical and translational advances in ovarian cancer therapy.卵巢癌治疗的临床和转化进展。
Nat Cancer. 2023 Sep;4(9):1239-1257. doi: 10.1038/s43018-023-00617-9. Epub 2023 Aug 31.
2
Centrosome amplification fine tunes tubulin acetylation to differentially control intracellular organization.中心体扩增精细调节微管乙酰化以差异控制细胞内组织。
EMBO J. 2023 Aug 15;42(16):e112812. doi: 10.15252/embj.2022112812. Epub 2023 Jul 5.
3
A catalog of numerical centrosome defects in epithelial ovarian cancers.上皮性卵巢癌中存在大量的中心体缺陷。
EMBO Mol Med. 2022 Sep 7;14(9):e15670. doi: 10.15252/emmm.202215670.
4
Adapted to Survive: Targeting Cancer Cells with BH3 Mimetics.适应生存:用 BH3 模拟物靶向癌细胞。
Cancer Discov. 2022 May 2;12(5):1217-1232. doi: 10.1158/2159-8290.CD-21-1334.
5
Chromosomal instability sensitizes patient breast tumors to multipolar divisions induced by paclitaxel.染色体不稳定性使患者的乳腺癌肿瘤对紫杉醇诱导的多极分裂敏感。
Sci Transl Med. 2021 Sep 8;13(610):eabd4811. doi: 10.1126/scitranslmed.abd4811.
6
Centrosome amplification mediates small extracellular vesicle secretion via lysosome disruption.中心体扩增通过溶酶体破坏介导小细胞外囊泡分泌。
Curr Biol. 2021 Apr 12;31(7):1403-1416.e7. doi: 10.1016/j.cub.2021.01.028. Epub 2021 Feb 15.
7
ANKRD26 recruits PIDD1 to centriolar distal appendages to activate the PIDDosome following centrosome amplification.ANKRD26 将 PIDD1 招募到中心粒远端附属物,以在中心体扩增后激活 PIDDosome。
EMBO J. 2021 Feb 15;40(4):e105106. doi: 10.15252/embj.2020105106. Epub 2020 Dec 22.
8
Centriolar distal appendages activate the centrosome-PIDDosome-p53 signalling axis via ANKRD26.中心粒远端附属物通过 ANKRD26 激活中心体-PIDDosome-p53 信号轴。
EMBO J. 2021 Feb 15;40(4):e104844. doi: 10.15252/embj.2020104844. Epub 2020 Dec 22.
9
Centrosomes in disease: how the same music can sound so different?中心体与疾病:为何同曲异调?
Curr Opin Struct Biol. 2021 Feb;66:74-82. doi: 10.1016/j.sbi.2020.09.011. Epub 2020 Nov 10.
10
Why Great Mitotic Inhibitors Make Poor Cancer Drugs.为什么强效有丝分裂抑制剂不能成为好的癌症药物。
Trends Cancer. 2020 Nov;6(11):924-941. doi: 10.1016/j.trecan.2020.05.010. Epub 2020 Jun 11.