Suppr超能文献

HSF1 是肝内胆管癌的预后决定因素和治疗靶点。

HSF1 is a prognostic determinant and therapeutic target in intrahepatic cholangiocarcinoma.

机构信息

Department of Medicine, Surgery, and Pharmacy, University of Sassari, via P. Manzella 4, Sassari, 07100, Italy.

Institute of Pathology, University of Regensburg, Regensburg, Germany.

出版信息

J Exp Clin Cancer Res. 2024 Sep 6;43(1):253. doi: 10.1186/s13046-024-03177-7.

Abstract

BACKGROUND

Intrahepatic cholangiocarcinoma (iCCA) is a lethal primary liver tumor characterized by clinical aggressiveness, poor prognosis, and scarce therapeutic possibilities. Therefore, new treatments are urgently needed to render this disease curable. Since cumulating evidence supports the oncogenic properties of the Heat Shock Factor 1 (HSF1) transcription factor in various cancer types, we investigated its pathogenetic and therapeutic relevance in iCCA.

METHODS

Levels of HSF1 were evaluated in a vast collection of iCCA specimens. The effects of HSF1 inactivation on iCCA development in vivo were investigated using three established oncogene-driven iCCA mouse models. In addition, the impact of HSF1 suppression on tumor cells and tumor stroma was assessed in iCCA cell lines, human iCCA cancer-associated fibroblasts (hCAFs), and patient-derived organoids.

RESULTS

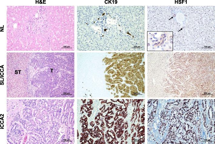
Human preinvasive, invasive, and metastatic iCCAs displayed widespread HSF1 upregulation, which was associated with a dismal prognosis of the patients. In addition, hydrodynamic injection of a dominant-negative form of HSF1 (HSF1dn), which suppresses HSF1 activity, significantly delayed cholangiocarcinogenesis in AKT/NICD, AKT/YAP, and AKT/TAZ mice. In iCCA cell lines, iCCA hCAFs, and patient-derived organoids, administration of the HSF1 inhibitor KRIBB-11 significantly reduced proliferation and induced apoptosis. Cell death was profoundly augmented by concomitant administration of the Bcl-xL/Bcl2/Bcl-w inhibitor ABT-263. Furthermore, KRIBB-11 reduced mitochondrial bioenergetics and glycolysis of iCCA cells.

CONCLUSIONS

The present data underscore the critical pathogenetic, prognostic, and therapeutic role of HSF1 in cholangiocarcinogenesis.

摘要

背景

肝内胆管癌(iCCA)是一种致命的原发性肝脏肿瘤,其临床侵袭性强、预后差且治疗方法有限。因此,迫切需要新的治疗方法来使这种疾病得到治愈。由于越来越多的证据支持热休克因子 1(HSF1)转录因子在多种癌症类型中的致癌特性,我们研究了其在 iCCA 中的发病机制和治疗相关性。

方法

评估了大量 iCCA 标本中 HSF1 的水平。使用三种已建立的癌基因驱动的 iCCA 小鼠模型研究了 HSF1 失活对体内 iCCA 发展的影响。此外,还在 iCCA 细胞系、人 iCCA 癌相关成纤维细胞(hCAFs)和患者来源的类器官中评估了 HSF1 抑制对肿瘤细胞和肿瘤基质的影响。

结果

人类 iCCA 的癌前、侵袭性和转移性病变显示出广泛的 HSF1 上调,这与患者的预后不良相关。此外,水动力学注射一种 HSF1 的显性失活形式(HSF1dn),其抑制 HSF1 活性,可显著延迟 AKT/NICD、AKT/YAP 和 AKT/TAZ 小鼠的胆管癌发生。在 iCCA 细胞系、iCCA hCAFs 和患者来源的类器官中,HSF1 抑制剂 KRIBB-11 的给药显著降低了增殖并诱导了细胞凋亡。同时给予 Bcl-xL/Bcl2/Bcl-w 抑制剂 ABT-263 可显著增强细胞死亡。此外,KRIBB-11 降低了 iCCA 细胞的线粒体生物能和糖酵解。

结论

本研究数据强调了 HSF1 在胆管癌发生中的关键发病机制、预后和治疗作用。

https://cdn.ncbi.nlm.nih.gov/pmc/blobs/2af1/11378393/0efb382a07b5/13046_2024_3177_Fig1_HTML.jpg

文献检索

告别复杂PubMed语法,用中文像聊天一样搜索,搜遍4000万医学文献。AI智能推荐,让科研检索更轻松。

立即免费搜索

文件翻译

保留排版,准确专业,支持PDF/Word/PPT等文件格式,支持 12+语言互译。

免费翻译文档

深度研究

AI帮你快速写综述,25分钟生成高质量综述,智能提取关键信息,辅助科研写作。

立即免费体验