Suppr超能文献

乙酰转移酶10对DDX41和ZNF746的乙酰胞苷修饰有助于黑色素瘤的化疗耐药性。

Acetylcytidine modification of DDX41 and ZNF746 by -acetyltransferase 10 contributes to chemoresistance of melanoma.

作者信息

Wang Li, Zeng Yuefen, Zhang Ying, Zhu Yun, Xu Shuangyan, Liang Zuohui

机构信息

Tianjin Medical University Cancer Institute and Hospital, National Clinical Research Center for Cancer, Key Laboratory of Cancer Prevention and Therapy, Tianjin's Clinical Research Center for Cancer, Tianjin, China.

Department of Dermatology, The People's Hospital of Yuxi City, Kunming Medical University, Yuxi, Yunan, China.

出版信息

Front Oncol. 2024 Aug 23;14:1448890. doi: 10.3389/fonc.2024.1448890. eCollection 2024.

Abstract

BACKGROUND

Rapidly developed chemoresistance to dacarbazine (DTIC) is a major obstacle in the clinical management of melanoma; however, the roles and mechanisms of epi-transcriptomic RNA modification in this process have not been investigated.

METHOD

DTIC-resistant (DR) melanoma cells were established for bulk RNA sequencing. The expressions of mRNAs were detected using qRT-PCR, and protein levels were determined using Western blotting and immunohistochemistry. Acetylated RNAs were detected by dot blotting and immunoprecipitation sequencing (acRIP-seq). A lung metastasis mouse model of melanoma was established to evaluate the anti-melanoma effects .

RESULTS

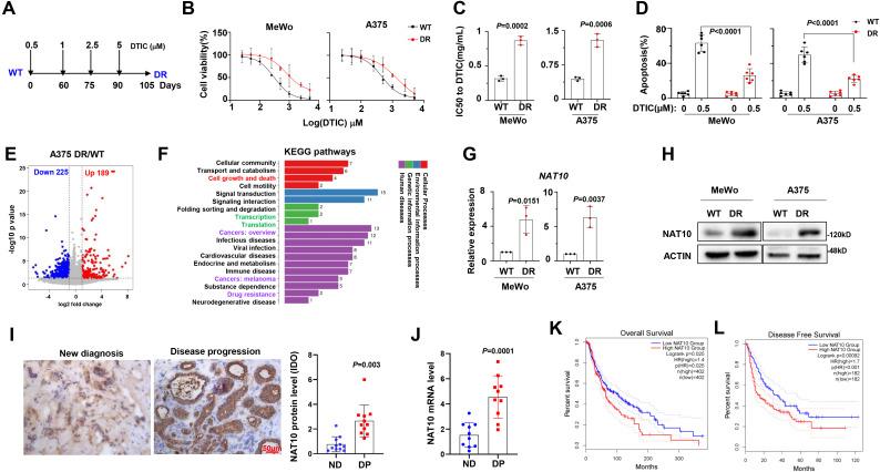
We identified that the expression of -acetyltransferase 10 (NAT10), a catalytic enzyme for the -acetylcytidine (ac4C) modification of RNA, was significantly upregulated in the DR cells. Clinically, NAT10 expression was elevated in disease progression samples and predicted a poor outcome. Using ac4C RNA immunoprecipitation (ac4C-RIP), we found that the mRNAs of two C2H2 zinc finger transcriptional factors, and , were targets of NAT10-mediated ac4C modification. Gain- and loss-of-function experiments in NAT10, or in DDX41 and ZNF746, altered the chemosensitivity of melanoma accordingly, and the two target genes also negatively correlated with clinical outcomes. Finally, pharmacological inhibition of NAT10 with Remodelin sensitized melanoma cells to DTIC treatment and in a mouse xenograft model.

CONCLUSION

Our study elucidates the previously unrecognized role of NAT10-mediated ac4C modification in the chemoresistance of melanoma and provides a rationale for developing new strategies to overcome chemoresistance in melanoma patients.

摘要

背景

对达卡巴嗪(DTIC)迅速产生的化学抗性是黑色素瘤临床治疗中的主要障碍;然而,表观转录组RNA修饰在此过程中的作用和机制尚未得到研究。

方法

建立对DTIC耐药(DR)的黑色素瘤细胞用于批量RNA测序。使用qRT-PCR检测mRNA的表达,并使用蛋白质印迹和免疫组织化学测定蛋白质水平。通过斑点印迹和免疫沉淀测序(acRIP-seq)检测乙酰化RNA。建立黑色素瘤肺转移小鼠模型以评估抗黑色素瘤效果。

结果

我们发现RNA的N4-乙酰胞苷(ac4C)修饰的催化酶N-乙酰转移酶10(NAT10)在DR细胞中的表达显著上调。临床上,NAT10表达在疾病进展样本中升高,并预示预后不良。使用ac4C RNA免疫沉淀(ac4C-RIP),我们发现两个C2H2锌指转录因子DDX41和ZNF746的mRNA是NAT10介导的ac4C修饰的靶标。在NAT10或DDX41和ZNF746中进行功能获得和功能丧失实验相应地改变了黑色素瘤的化学敏感性,并且这两个靶基因也与临床结果呈负相关。最后,用Remodelin对NAT10进行药理学抑制使黑色素瘤细胞对DTIC治疗敏感,并在小鼠异种移植模型中也是如此。

结论

我们的研究阐明了NAT10介导的ac4C修饰在黑色素瘤化学抗性中以前未被认识的作用,并为开发克服黑色素瘤患者化学抗性的新策略提供了理论依据。

https://cdn.ncbi.nlm.nih.gov/pmc/blobs/82dd/11377236/8255a1c1fe21/fonc-14-1448890-g001.jpg

文献检索

告别复杂PubMed语法,用中文像聊天一样搜索,搜遍4000万医学文献。AI智能推荐,让科研检索更轻松。

立即免费搜索

文件翻译

保留排版,准确专业,支持PDF/Word/PPT等文件格式,支持 12+语言互译。

免费翻译文档

深度研究

AI帮你快速写综述,25分钟生成高质量综述,智能提取关键信息,辅助科研写作。

立即免费体验