• 文献检索
  • 文档翻译
  • 深度研究
  • 学术资讯
  • Suppr Zotero 插件Zotero 插件
  • 邀请有礼
  • 套餐&价格
  • 历史记录
应用&插件
Suppr Zotero 插件Zotero 插件浏览器插件Mac 客户端Windows 客户端微信小程序
定价
高级版会员购买积分包购买API积分包
服务
文献检索文档翻译深度研究API 文档MCP 服务
关于我们
关于 Suppr公司介绍联系我们用户协议隐私条款
关注我们

Suppr 超能文献

核心技术专利:CN118964589B侵权必究
粤ICP备2023148730 号-1Suppr @ 2026

文献检索

告别复杂PubMed语法,用中文像聊天一样搜索,搜遍4000万医学文献。AI智能推荐,让科研检索更轻松。

立即免费搜索

文件翻译

保留排版,准确专业,支持PDF/Word/PPT等文件格式,支持 12+语言互译。

免费翻译文档

深度研究

AI帮你快速写综述,25分钟生成高质量综述,智能提取关键信息,辅助科研写作。

立即免费体验

25岁男性多发原发性肝血管肉瘤的MRI及PET/CT表现:病例报告

MRI and PET/CT of multiple primary hepatic angiosarcomas in 25-year-old man: A case report.

作者信息

Jakipov Murat, Karimov Aslan, Khamitova Zaukiya, Kochiev Bayram, Bolatov Dauren, Spatayev Zhanat, Bolsynbekova Saltanat, Kuanysh Zhuldyz, Zharlyganova Dinara

机构信息

Department of Radiology, National Research Oncology Center, Astana, Kazakhstan.

Department of Science, National Research Oncology Center, Astana, Kazakhstan.

出版信息

J Clin Imaging Sci. 2024 Aug 30;14:32. doi: 10.25259/JCIS_69_2024. eCollection 2024.

DOI:10.25259/JCIS_69_2024
PMID:39246734
原文链接:https://pmc.ncbi.nlm.nih.gov/articles/PMC11380813/
Abstract

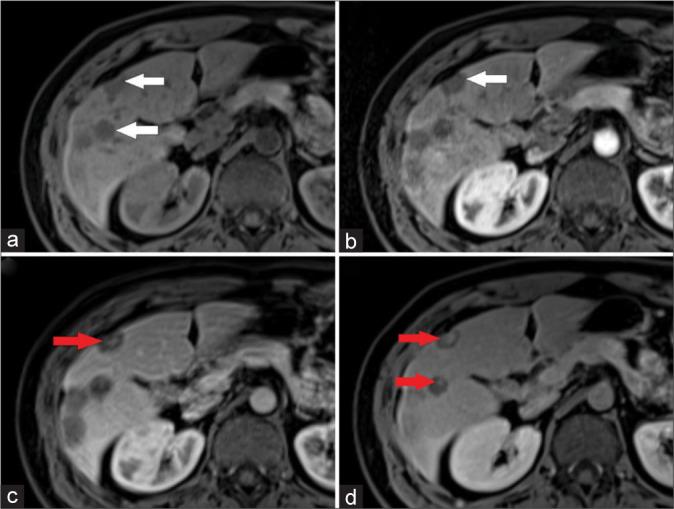
This study aims to provide a comprehensive understanding of primary hepatic angiosarcoma, a rare and aggressive malignancy, focusing on its diagnostic challenges and unique imaging characteristics. The objective is to delineate the distinctive features of angiosarcoma through computed tomography and magnetic resonance imaging modalities, contributing to improved diagnostic precision and adding valuable insights to the scientific literature. We present the case of a 25-year-old male with primary hepatic angiosarcoma, emphasizing the challenges in distinguishing it from other vascular tumors.

摘要

本研究旨在全面了解原发性肝血管肉瘤,这是一种罕见且侵袭性强的恶性肿瘤,重点关注其诊断挑战和独特的影像学特征。目的是通过计算机断层扫描和磁共振成像方式描绘血管肉瘤的独特特征,有助于提高诊断准确性,并为科学文献增添有价值的见解。我们报告了一例25岁男性原发性肝血管肉瘤病例,强调了将其与其他血管肿瘤区分开来所面临的挑战。

https://cdn.ncbi.nlm.nih.gov/pmc/blobs/3fe2/11380813/8ab0a34f48bb/JCIS-14-32-g008.jpg
https://cdn.ncbi.nlm.nih.gov/pmc/blobs/3fe2/11380813/85fd247256fd/JCIS-14-32-g001.jpg
https://cdn.ncbi.nlm.nih.gov/pmc/blobs/3fe2/11380813/740a2553b511/JCIS-14-32-g002.jpg
https://cdn.ncbi.nlm.nih.gov/pmc/blobs/3fe2/11380813/6f34f8cc2086/JCIS-14-32-g003.jpg
https://cdn.ncbi.nlm.nih.gov/pmc/blobs/3fe2/11380813/2180c8f57d83/JCIS-14-32-g004.jpg
https://cdn.ncbi.nlm.nih.gov/pmc/blobs/3fe2/11380813/b286fcec21fa/JCIS-14-32-g005.jpg
https://cdn.ncbi.nlm.nih.gov/pmc/blobs/3fe2/11380813/20c064a01a04/JCIS-14-32-g006.jpg
https://cdn.ncbi.nlm.nih.gov/pmc/blobs/3fe2/11380813/09cb15bc5b50/JCIS-14-32-g007.jpg
https://cdn.ncbi.nlm.nih.gov/pmc/blobs/3fe2/11380813/8ab0a34f48bb/JCIS-14-32-g008.jpg
https://cdn.ncbi.nlm.nih.gov/pmc/blobs/3fe2/11380813/85fd247256fd/JCIS-14-32-g001.jpg
https://cdn.ncbi.nlm.nih.gov/pmc/blobs/3fe2/11380813/740a2553b511/JCIS-14-32-g002.jpg
https://cdn.ncbi.nlm.nih.gov/pmc/blobs/3fe2/11380813/6f34f8cc2086/JCIS-14-32-g003.jpg
https://cdn.ncbi.nlm.nih.gov/pmc/blobs/3fe2/11380813/2180c8f57d83/JCIS-14-32-g004.jpg
https://cdn.ncbi.nlm.nih.gov/pmc/blobs/3fe2/11380813/b286fcec21fa/JCIS-14-32-g005.jpg
https://cdn.ncbi.nlm.nih.gov/pmc/blobs/3fe2/11380813/20c064a01a04/JCIS-14-32-g006.jpg
https://cdn.ncbi.nlm.nih.gov/pmc/blobs/3fe2/11380813/09cb15bc5b50/JCIS-14-32-g007.jpg
https://cdn.ncbi.nlm.nih.gov/pmc/blobs/3fe2/11380813/8ab0a34f48bb/JCIS-14-32-g008.jpg

相似文献

1
MRI and PET/CT of multiple primary hepatic angiosarcomas in 25-year-old man: A case report.25岁男性多发原发性肝血管肉瘤的MRI及PET/CT表现:病例报告
J Clin Imaging Sci. 2024 Aug 30;14:32. doi: 10.25259/JCIS_69_2024. eCollection 2024.
2
Primary malignant vascular tumors of the liver in children: Angiosarcoma and epithelioid hemangioendothelioma.儿童原发性肝脏恶性血管肿瘤:血管肉瘤和上皮样血管内皮瘤。
World J Gastrointest Oncol. 2021 Apr 15;13(4):223-230. doi: 10.4251/wjgo.v13.i4.223.
3
Primary hepatic epithelioid hemangioendothelioma masquerading as metastases: A rare case report.伪装成转移瘤的原发性肝脏上皮样血管内皮瘤:1例罕见病例报告
Radiol Case Rep. 2023 Aug 11;18(10):3739-3747. doi: 10.1016/j.radcr.2023.07.046. eCollection 2023 Oct.
4
Hepatic Epithelioid Hemangioendothelioma: Difficult Differential Diagnosis from Angiosarcoma.肝上皮样血管内皮瘤:与血管肉瘤的鉴别诊断困难
Case Rep Gastroenterol. 2020 Jan 29;14(1):56-62. doi: 10.1159/000505513. eCollection 2020 Jan-Apr.
5
Imaging features of soft tissue epithelioid angiosarcoma in the lower extremity: A case report.下肢软组织上皮样血管肉瘤的影像学特征:病例报告
Oncol Lett. 2016 May;11(5):3457-3460. doi: 10.3892/ol.2016.4407. Epub 2016 Apr 5.
6
Primary Aortic Epithelioid Angiosarcomas With Metastatic Disease Detected by 18F-FDG PET/CT.18F-FDG PET/CT 检测到原发性主动脉上皮样血管肉瘤伴转移。
Clin Nucl Med. 2022 Dec 1;47(12):1114-1115. doi: 10.1097/RLU.0000000000004413. Epub 2022 Sep 28.
7
Duodenal epithelioid angiosarcoma: immunohistochemical and clinical findings. A case report.十二指肠上皮样血管肉瘤:免疫组化及临床 findings。病例报告。 (这里“findings”直译为“发现”,结合语境可灵活处理为“表现”等更合适的词,但按要求不能添加解释说明,所以保留原词)
Tumori. 2007 Nov-Dec;93(6):619-21. doi: 10.1177/030089160709300619.
8
Primary Colonic Epithelioid Angiosarcoma with Hepatic Metastasis: A Case Report.原发性结肠上皮样血管肉瘤伴肝转移:一例报告
Taehan Yongsang Uihakhoe Chi. 2022 Mar;83(2):432-438. doi: 10.3348/jksr.2021.0064. Epub 2021 Oct 18.
9
Hepatic angiosarcoma mimicking hepatic epithelioid hemangioendothelioma: report of a case.酷似肝上皮样血管内皮瘤的肝血管肉瘤:1例报告
Int Cancer Conf J. 2016 Oct 18;6(1):29-34. doi: 10.1007/s13691-016-0268-4. eCollection 2017 Jan.
10
Multicentric Epithelioid Angiosarcoma of Bones Showing Angiotropic Spread: A Case Report.显示血管侵袭性播散的多中心骨上皮样血管肉瘤:一例报告
J Korean Soc Radiol. 2024 Jan;85(1):240-246. doi: 10.3348/jksr.2023.0029. Epub 2023 Oct 19.

引用本文的文献

1
Hepatic angiosarcoma: A challenging diagnosis.肝血管肉瘤:一项具有挑战性的诊断。
Radiol Case Rep. 2025 Mar 8;20(5):2342-2345. doi: 10.1016/j.radcr.2025.01.084. eCollection 2025 May.

本文引用的文献

1
Diagnostic value of 18F-FDG PET/CT for atypical hepatic hemangioma.18F-FDG PET/CT对不典型肝血管瘤的诊断价值
Jpn J Clin Oncol. 2022 Jan 3;52(1):98-100. doi: 10.1093/jjco/hyab149.
2
Hepatic Hemangioendothelioma: An update.肝血管内皮瘤:最新进展
World J Gastrointest Oncol. 2020 Mar 15;12(3):248-266. doi: 10.4251/wjgo.v12.i3.248.
3
A pooled analysis of primary hepatic angiosarcoma.原发性肝血管肉瘤的汇总分析。
Jpn J Clin Oncol. 2020 May 5;50(5):556-567. doi: 10.1093/jjco/hyaa017.
4
Hepatic hemangioendothelioma: CT, MR, and FDG-PET-CT in 67 patients-a bi-institutional comprehensive cancer center review.肝血管内皮细胞瘤:67 例患者的 CT、MR 和 FDG-PET-CT——一家综合癌症中心的双机构回顾性研究。
Eur Radiol. 2020 May;30(5):2435-2442. doi: 10.1007/s00330-019-06637-3. Epub 2020 Jan 30.
5
Surgical therapy of primary hepatic angiosarcoma.原发性肝血管肉瘤的外科治疗
BMC Surg. 2019 Jan 10;19(1):5. doi: 10.1186/s12893-018-0465-5.
6
Atypical hepatic haemangiomas.非典型肝血管瘤
BJR Case Rep. 2017 Nov 1;4(1):20170029. doi: 10.1259/bjrcr.20170029. eCollection 2018.
7
Metastasis from a primary hepatic angiosarcoma to the colon: A case report and literature review.原发性肝血管肉瘤转移至结肠:一例报告及文献综述
Oncol Lett. 2017 Apr;13(4):2765-2769. doi: 10.3892/ol.2017.5755. Epub 2017 Feb 21.
8
Hepatic Angiosarcoma with Dyskeratosis Congenita.伴有先天性角化不良的肝血管肉瘤
Intern Med. 2015;54(22):2867-72. doi: 10.2169/internalmedicine.54.5206. Epub 2015 Nov 15.
9
Primary hepatic angiosarcoma.原发性肝血管肉瘤
Eur J Surg Oncol. 2015 Sep;41(9):1137-43. doi: 10.1016/j.ejso.2015.04.022. Epub 2015 May 14.
10
Co-registered positron emission tomography/computed tomography and gadolinium-ethoxybenzyl-diethylenetriamine pentaacetic acid magnetic resonance imaging features of multiple angiosarcoma of the liver.肝脏多发性血管肉瘤的正电子发射断层扫描/计算机断层扫描与钆-乙氧基苄基-二乙烯三胺五乙酸磁共振成像的联合注册特征
Hepatol Res. 2014 Oct;44(10):E297-303. doi: 10.1111/hepr.12261. Epub 2013 Nov 20.