University of Nottingham, School of Life Sciences, Nottingham, United Kingdom.
University of Geneva, Faculty of Medicine, Geneva, Switzerland.
PLoS Biol. 2024 Sep 10;22(9):e3002802. doi: 10.1371/journal.pbio.3002802. eCollection 2024 Sep.
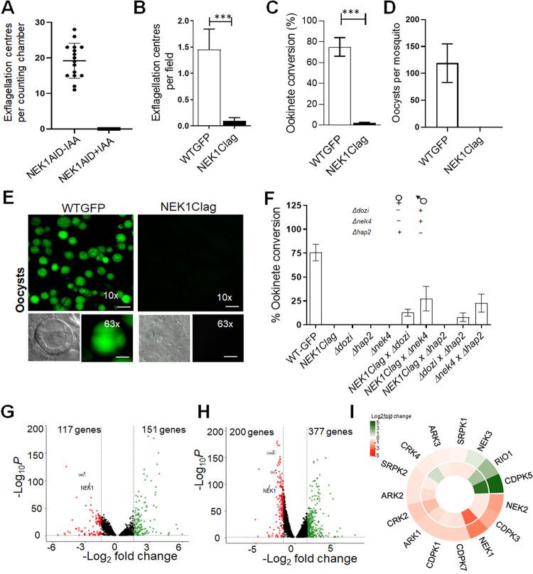
Mitosis is an important process in the cell cycle required for cells to divide. Never in mitosis (NIMA)-like kinases (NEKs) are regulators of mitotic functions in diverse organisms. Plasmodium spp., the causative agent of malaria is a divergent unicellular haploid eukaryote with some unusual features in terms of its mitotic and nuclear division cycle that presumably facilitate proliferation in varied environments. For example, during the sexual stage of male gametogenesis that occurs within the mosquito host, an atypical rapid closed endomitosis is observed. Three rounds of genome replication from 1N to 8N and successive cycles of multiple spindle formation and chromosome segregation occur within 8 min followed by karyokinesis to generate haploid gametes. Our previous Plasmodium berghei kinome screen identified 4 Nek genes, of which 2, NEK2 and NEK4, are required for meiosis. NEK1 is likely to be essential for mitosis in asexual blood stage schizogony in the vertebrate host, but its function during male gametogenesis is unknown. Here, we study NEK1 location and function, using live cell imaging, ultrastructure expansion microscopy (U-ExM), and electron microscopy, together with conditional gene knockdown and proteomic approaches. We report spatiotemporal NEK1 location in real-time, coordinated with microtubule organising centre (MTOC) dynamics during the unusual mitoses at various stages of the Plasmodium spp. life cycle. Knockdown studies reveal NEK1 to be an essential component of the MTOC in male cell differentiation, associated with rapid mitosis, spindle formation, and kinetochore attachment. These data suggest that P. berghei NEK1 kinase is an important component of MTOC organisation and essential regulator of chromosome segregation during male gamete formation.
有丝分裂是细胞周期中细胞分裂所必需的重要过程。在有丝分裂中从不出现的类 NIMA 激酶(NEKs)是各种生物有丝分裂功能的调节剂。疟原虫是疟疾的病原体,是一种具有独特特征的单细胞单倍体真核生物,其有丝分裂和核分裂周期在不同环境中促进增殖方面具有一些不寻常的特征。例如,在蚊子宿主体内发生的雄性配子发生的有性阶段,观察到一种非典型的快速封闭的核内有丝分裂。在 8 分钟内,从 1N 到 8N 发生三轮基因组复制,随后发生多次纺锤体形成和染色体分离的循环,随后进行核分裂以产生单倍体配子。我们之前对伯氏疟原虫激酶组的筛选鉴定了 4 个 Nek 基因,其中 2 个,NEK2 和 NEK4,是减数分裂所必需的。NEK1 可能对脊椎动物宿主体内无性血裂期的有丝分裂至关重要,但它在雄性配子发生中的功能尚不清楚。在这里,我们使用活细胞成像、超微结构扩展显微镜(U-ExM)和电子显微镜,以及条件基因敲低和蛋白质组学方法,研究了 NEK1 的位置和功能。我们实时报告了 NEK1 的时空定位,与疟原虫生命周期各阶段不同寻常的有丝分裂中微管组织中心(MTOC)动力学相协调。敲低研究表明,NEK1 是雄性细胞分化中 MTOC 的必需组成部分,与快速有丝分裂、纺锤体形成和动粒附着有关。这些数据表明,伯氏疟原虫 NEK1 激酶是 MTOC 组织的重要组成部分,是雄性配子形成过程中染色体分离的重要调节因子。