Suppr超能文献

一名儿科患者以局限于后颅窝的进行性多灶性白质脑病作为HIV的首发表现

Progressive Multifocal Leukoencephalopathy confined to the posterior fossa as the presenting manifestation of HIV in a paediatric patient.

作者信息

Nshimiyimana J F, Onsongo S

机构信息

Aga Khan Hospital, Kisumu, P.O. Box 530, Kisumu, Kenya.

出版信息

IDCases. 2024 Aug 17;37:e02064. doi: 10.1016/j.idcr.2024.e02064. eCollection 2024.

Abstract

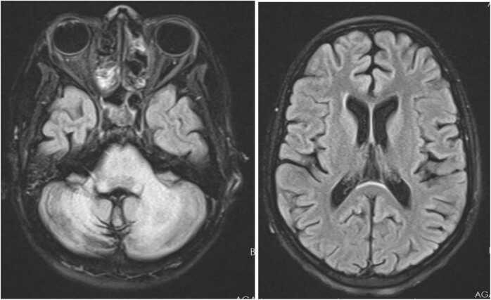
Progressive Multifocal Leukoencephalopathy (PML), primarily affecting immunocompromised individuals due to the John Cunningham virus (JC), is common in HIV-positive adults but rare in paediatrics. We present a unique case of a 14-year-old female with PML as the initial manifestation of HIV, with MRI lesions isolated to the posterior fossa. Initial symptoms included fever and rash, progressing to neurological deficits and ataxia. Severe immune suppression due to HIV and JC virus in the cerebrospinal fluid were confirmed. Management included immune reconstitution therapy (antiretroviral treatment) and supportive care. Despite interventions, the patient had a slow recovery with significant residual neurological sequelae. Timely recognition of Immune Reconstitution Inflammatory Syndrome (IRIS) and steroid initiation proved helpful. Antiretroviral therapy improved the survival rate of HIV-related PML, but long-term neurological sequelae, especially in posterior fossa cases, significantly impact the patient's quality of life. This case highlights diagnostic and treatment challenges in paediatric PML, particularly with atypical lesions location.

摘要

进行性多灶性白质脑病(PML)主要由约翰·坎宁安病毒(JC)感染引起,多见于免疫功能低下的个体,在HIV阳性成年人中较为常见,但在儿科患者中较为罕见。我们报告了一例独特的病例,一名14岁女性,以PML作为HIV的首发表现,MRI病变仅局限于后颅窝。初始症状包括发热和皮疹,随后进展为神经功能缺损和共济失调。脑脊液中因HIV和JC病毒导致的严重免疫抑制得到证实。治疗包括免疫重建治疗(抗逆转录病毒治疗)和支持治疗。尽管采取了干预措施,患者恢复缓慢,仍遗留明显的神经后遗症。及时识别免疫重建炎症综合征(IRIS)并开始使用类固醇治疗被证明是有帮助的。抗逆转录病毒疗法提高了HIV相关PML的生存率,但长期的神经后遗症,尤其是后颅窝病例,会显著影响患者的生活质量。该病例突出了儿科PML诊断和治疗中的挑战,特别是在病变位置不典型的情况下。

https://cdn.ncbi.nlm.nih.gov/pmc/blobs/c3b5/11388200/ba43ed715dfd/gr1.jpg

文献检索

告别复杂PubMed语法,用中文像聊天一样搜索,搜遍4000万医学文献。AI智能推荐,让科研检索更轻松。

立即免费搜索

文件翻译

保留排版,准确专业,支持PDF/Word/PPT等文件格式,支持 12+语言互译。

免费翻译文档

深度研究

AI帮你快速写综述,25分钟生成高质量综述,智能提取关键信息,辅助科研写作。

立即免费体验