Suppr超能文献

HIV感染儿童的进行性多灶性白质脑病:一例报告及文献复习

Progressive Multifocal Leukoencephalopathy in HIV-Infected Children: A Case Report and Literature Review.

作者信息

Oberdorfer Peninnah, Washington Charles H, Katanyuwong Kamornwan, Jittamala Podjanee

机构信息

Division of Infectious Diseases, Department of Pediatrics, Faculty of Medicine, Chiang Mai University, Chiang Mai 50200, Thailand.

出版信息

Int J Pediatr. 2009;2009:348507. doi: 10.1155/2009/348507. Epub 2009 Sep 16.

Abstract

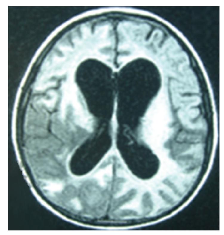
We report a case of a perinatally HIV-infected patient aged 9 years, who presented with right-sided hemiplegia. His initial CD4 T-cell was of 0.21% (4 cells/muL) and plasma HIV RNA virus of 185 976 copies/mL (log 5.27). Plasma and CSF samples were subsequently positive for JCV. Twelve days after the initiation of highly active antiretroviral therapy (HAART), the MRI showed progressive white matter lesions with asymmetrical deep and subcortical white matter lesions over the left frontotemporoparietal region and the right frontal lobe. Immune Reconstitution Inflammatory Syndrome (IRIS) was suspected, and the patient was treated with methylprednisolone. His clinical symptoms worsened and despite therapy the patient deteriorated.

摘要

我们报告了一例9岁的围产期感染艾滋病毒的患者,该患者出现右侧偏瘫。其初始CD4 T细胞为0.21%(4个细胞/微升),血浆艾滋病毒RNA病毒载量为185976拷贝/毫升(对数5.27)。随后血浆和脑脊液样本检测JC病毒呈阳性。在开始高效抗逆转录病毒治疗(HAART)12天后,MRI显示白质病变进展,左侧额颞顶叶区域和右侧额叶出现不对称的深部和皮质下白质病变。怀疑为免疫重建炎症综合征(IRIS),患者接受甲泼尼龙治疗。其临床症状恶化,尽管进行了治疗,患者仍病情恶化。

https://cdn.ncbi.nlm.nih.gov/pmc/blobs/75f0/2778135/caebc511ad5f/IJPED2009-348507.001.jpg

文献检索

告别复杂PubMed语法,用中文像聊天一样搜索,搜遍4000万医学文献。AI智能推荐,让科研检索更轻松。

立即免费搜索

文件翻译

保留排版,准确专业,支持PDF/Word/PPT等文件格式,支持 12+语言互译。

免费翻译文档

深度研究

AI帮你快速写综述,25分钟生成高质量综述,智能提取关键信息,辅助科研写作。

立即免费体验