• 文献检索
  • 文档翻译
  • 深度研究
  • 学术资讯
  • Suppr Zotero 插件Zotero 插件
  • 邀请有礼
  • 套餐&价格
  • 历史记录
应用&插件
Suppr Zotero 插件Zotero 插件浏览器插件Mac 客户端Windows 客户端微信小程序
定价
高级版会员购买积分包购买API积分包
服务
文献检索文档翻译深度研究API 文档MCP 服务
关于我们
关于 Suppr公司介绍联系我们用户协议隐私条款
关注我们

Suppr 超能文献

核心技术专利:CN118964589B侵权必究
粤ICP备2023148730 号-1Suppr @ 2026

文献检索

告别复杂PubMed语法,用中文像聊天一样搜索,搜遍4000万医学文献。AI智能推荐,让科研检索更轻松。

立即免费搜索

文件翻译

保留排版,准确专业,支持PDF/Word/PPT等文件格式,支持 12+语言互译。

免费翻译文档

深度研究

AI帮你快速写综述,25分钟生成高质量综述,智能提取关键信息,辅助科研写作。

立即免费体验

肺癌的诊断与预测性免疫细胞化学

Diagnostic and Predictive Immunocytochemistry in Lung Cancer.

作者信息

Jain Deepali, Satapathy Shraddhanjali, Bubendorf Lukas

机构信息

Department of Pathology, All India Institute of Medical Sciences (AIIMS), New Delhi, India.

Institute of Medical Genetics and Pathology, University Hospital Basel, Basel, Switzerland.

出版信息

Acta Cytol. 2025;69(1):69-76. doi: 10.1159/000541478. Epub 2024 Sep 19.

DOI:10.1159/000541478
PMID:39299230
原文链接:https://pmc.ncbi.nlm.nih.gov/articles/PMC11965865/
Abstract

BACKGROUND

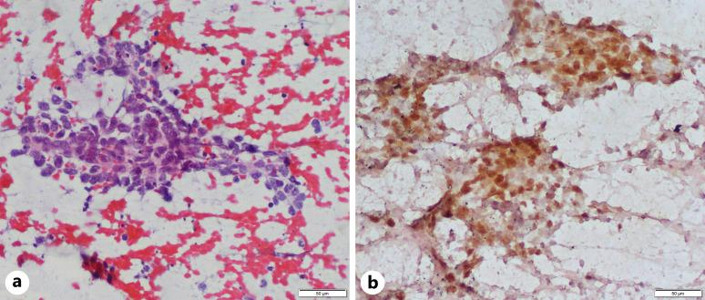
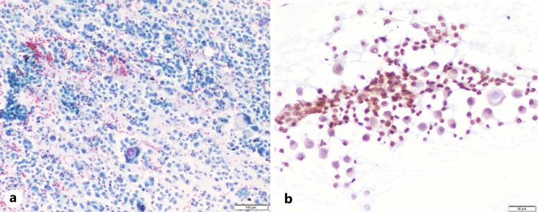
Immunocytochemistry (ICC) is suitable for use on a range of cytology preparations, such as cell blocks, air-dried slides, ethanol-fixed slides, direct smears, cytospins, and liquid-based cytology (LBC) samples. However, it must be standardized against the gold standard of formalin-fixed paraffin-embedded tissues with adequate number of positive and negative controls. The role of ICC in lung cancer is crucial, as most lung cancer specimens are cytology samples. Accurate diagnosis and testing of certain biomarkers rely heavily on both diagnostic and predictive ICC.

SUMMARY

Key ICC markers important in lung cancer include, but are not limited to, diagnostic ICCs such as TTF-1, p40, Napsin A, and p63, as well as predictive ICCs like ALK, ROS-1, PD-L1, and NTRK.

KEY MESSAGES

With proper validation, immunocytochemistry for lung cancer can be effectively performed on direct smears, cytospins, and other specimens, even when resources for preparing cell blocks are unavailable. This is particularly true for diagnostic antibodies, but it is important to exercise caution with predictive ICC. Nonetheless, a low threshold for molecular testing should be maintained. PD-L1 ICC can be challenging and should ideally be performed on formalin-fixed cell blocks or biopsies when available.

BACKGROUND

Immunocytochemistry (ICC) is suitable for use on a range of cytology preparations, such as cell blocks, air-dried slides, ethanol-fixed slides, direct smears, cytospins, and liquid-based cytology (LBC) samples. However, it must be standardized against the gold standard of formalin-fixed paraffin-embedded tissues with adequate number of positive and negative controls. The role of ICC in lung cancer is crucial, as most lung cancer specimens are cytology samples. Accurate diagnosis and testing of certain biomarkers rely heavily on both diagnostic and predictive ICC.

SUMMARY

Key ICC markers important in lung cancer include, but are not limited to, diagnostic ICCs such as TTF-1, p40, Napsin A, and p63, as well as predictive ICCs like ALK, ROS-1, PD-L1, and NTRK.

KEY MESSAGES

With proper validation, immunocytochemistry for lung cancer can be effectively performed on direct smears, cytospins, and other specimens, even when resources for preparing cell blocks are unavailable. This is particularly true for diagnostic antibodies, but it is important to exercise caution with predictive ICC. Nonetheless, a low threshold for molecular testing should be maintained. PD-L1 ICC can be challenging and should ideally be performed on formalin-fixed cell blocks or biopsies when available.

摘要

背景

免疫细胞化学(ICC)适用于一系列细胞学标本,如细胞块、空气干燥涂片、乙醇固定涂片、直接涂片、细胞离心涂片和液基细胞学(LBC)样本。然而,必须以福尔马林固定石蜡包埋组织的金标准为对照进行标准化,并设置足够数量的阳性和阴性对照。ICC在肺癌中的作用至关重要,因为大多数肺癌标本都是细胞学样本。某些生物标志物的准确诊断和检测在很大程度上依赖于诊断性和预测性ICC。

总结

在肺癌中重要的关键ICC标志物包括但不限于诊断性ICC,如甲状腺转录因子-1(TTF-1)、p40、 napsin A和p63,以及预测性ICC,如间变性淋巴瘤激酶(ALK)、ROS-1、程序性死亡配体1(PD-L1)和神经营养酪氨酸激酶受体(NTRK)。

关键信息

经过适当验证后,即使没有制备细胞块的资源,也可以在直接涂片、细胞离心涂片和其他标本上有效地进行肺癌免疫细胞化学检测。对于诊断性抗体尤其如此,但对预测性ICC进行检测时必须谨慎。尽管如此,仍应保持较低的分子检测阈值。PD-L1 ICC可能具有挑战性,理想情况下,如有福尔马林固定的细胞块或活检标本,应使用它们进行检测。

背景

免疫细胞化学(ICC)适用于一系列细胞学标本,如细胞块、空气干燥涂片、乙醇固定涂片、直接涂片、细胞离心涂片和液基细胞学(LBC)样本。然而,必须以福尔马林固定石蜡包埋组织的金标准为对照进行标准化,并设置足够数量的阳性和阴性对照。ICC在肺癌中的作用至关重要,因为大多数肺癌标本都是细胞学样本。某些生物标志物的准确诊断和检测在很大程度上依赖于诊断性和预测性ICC。

总结

在肺癌中重要的关键ICC标志物包括但不限于诊断性ICC,如甲状腺转录因子-1(TTF-1)、p40、 napsin A和p63,以及预测性ICC,如间变性淋巴瘤激酶(ALK)、ROS-1、程序性死亡配体1(PD-L1)和神经营养酪氨酸激酶受体(NTRK)。

关键信息

经过适当验证后,即使没有制备细胞块的资源,也可以在直接涂片、细胞离心涂片和其他标本上有效地进行肺癌免疫细胞化学检测。对于诊断性抗体尤其如此,但对预测性ICC进行检测时必须谨慎。尽管如此,仍应保持较低的分子检测阈值。PD-L1 ICC可能具有挑战性,理想情况下,如有福尔马林固定的细胞块或活检标本,应使用它们进行检测。

https://cdn.ncbi.nlm.nih.gov/pmc/blobs/a82d/11965865/079862746b78/acy-2025-0069-0001-541478_F10.jpg
https://cdn.ncbi.nlm.nih.gov/pmc/blobs/a82d/11965865/24e7fc39e2ca/acy-2025-0069-0001-541478_F01.jpg
https://cdn.ncbi.nlm.nih.gov/pmc/blobs/a82d/11965865/991ea20062e0/acy-2025-0069-0001-541478_F02.jpg
https://cdn.ncbi.nlm.nih.gov/pmc/blobs/a82d/11965865/e78865ba6cf3/acy-2025-0069-0001-541478_F03.jpg
https://cdn.ncbi.nlm.nih.gov/pmc/blobs/a82d/11965865/3cecd7383df6/acy-2025-0069-0001-541478_F04.jpg
https://cdn.ncbi.nlm.nih.gov/pmc/blobs/a82d/11965865/c297930e8754/acy-2025-0069-0001-541478_F05.jpg
https://cdn.ncbi.nlm.nih.gov/pmc/blobs/a82d/11965865/a90984f5cdbf/acy-2025-0069-0001-541478_F06.jpg
https://cdn.ncbi.nlm.nih.gov/pmc/blobs/a82d/11965865/05d03d25a5be/acy-2025-0069-0001-541478_F07.jpg
https://cdn.ncbi.nlm.nih.gov/pmc/blobs/a82d/11965865/6e041dc9cdda/acy-2025-0069-0001-541478_F08.jpg
https://cdn.ncbi.nlm.nih.gov/pmc/blobs/a82d/11965865/c05588f5a240/acy-2025-0069-0001-541478_F09.jpg
https://cdn.ncbi.nlm.nih.gov/pmc/blobs/a82d/11965865/079862746b78/acy-2025-0069-0001-541478_F10.jpg
https://cdn.ncbi.nlm.nih.gov/pmc/blobs/a82d/11965865/24e7fc39e2ca/acy-2025-0069-0001-541478_F01.jpg
https://cdn.ncbi.nlm.nih.gov/pmc/blobs/a82d/11965865/991ea20062e0/acy-2025-0069-0001-541478_F02.jpg
https://cdn.ncbi.nlm.nih.gov/pmc/blobs/a82d/11965865/e78865ba6cf3/acy-2025-0069-0001-541478_F03.jpg
https://cdn.ncbi.nlm.nih.gov/pmc/blobs/a82d/11965865/3cecd7383df6/acy-2025-0069-0001-541478_F04.jpg
https://cdn.ncbi.nlm.nih.gov/pmc/blobs/a82d/11965865/c297930e8754/acy-2025-0069-0001-541478_F05.jpg
https://cdn.ncbi.nlm.nih.gov/pmc/blobs/a82d/11965865/a90984f5cdbf/acy-2025-0069-0001-541478_F06.jpg
https://cdn.ncbi.nlm.nih.gov/pmc/blobs/a82d/11965865/05d03d25a5be/acy-2025-0069-0001-541478_F07.jpg
https://cdn.ncbi.nlm.nih.gov/pmc/blobs/a82d/11965865/6e041dc9cdda/acy-2025-0069-0001-541478_F08.jpg
https://cdn.ncbi.nlm.nih.gov/pmc/blobs/a82d/11965865/c05588f5a240/acy-2025-0069-0001-541478_F09.jpg
https://cdn.ncbi.nlm.nih.gov/pmc/blobs/a82d/11965865/079862746b78/acy-2025-0069-0001-541478_F10.jpg

相似文献

1
Diagnostic and Predictive Immunocytochemistry in Lung Cancer.肺癌的诊断与预测性免疫细胞化学
Acta Cytol. 2025;69(1):69-76. doi: 10.1159/000541478. Epub 2024 Sep 19.
2
Programmed death-ligand 1 immunoexpression in matched biopsy and liquid-based cytology samples of advanced stage non-small cell lung carcinomas.晚期非小细胞肺癌配对活检和液基细胞学样本中程序性死亡配体1的免疫表达情况
Cytopathology. 2018 Dec;29(6):550-557. doi: 10.1111/cyt.12605. Epub 2018 Jul 30.
3
Immunocytochemistry for predictive biomarker testing in lung cancer cytology.肺癌细胞学中预测性生物标志物检测的免疫细胞化学。
Cancer Cytopathol. 2019 May;127(5):325-339. doi: 10.1002/cncy.22137. Epub 2019 May 3.
4
Diagnostic utility of immunocytochemistry by using liquid-based cytology (LBC) slides.免疫细胞化学在液基细胞学(LBC)制片中的诊断效用。
Folia Histochem Cytobiol. 2024;62(1):1-12. doi: 10.5603/fhc.97937. Epub 2024 Feb 26.
5
[Predictive immunocytochemistry in non-small cell lung carcinoma].[非小细胞肺癌中的预测性免疫细胞化学]
Pathologe. 2022 May;43(3):222-228. doi: 10.1007/s00292-022-01066-4. Epub 2022 Apr 11.
6
Integrated On-Slide Positive Controls for Immunocytochemistry on Cytology Slides.用于细胞学载玻片免疫细胞化学的集成载玻片上阳性对照
Acta Cytol. 2025;69(1):44-50. doi: 10.1159/000540413. Epub 2024 Jul 19.
7
Programmed death ligand 1 testing in non-small cell lung carcinoma cytology cell block and aspirate smear preparations.程序性死亡配体 1 检测在非小细胞肺癌细胞学细胞块和抽吸涂片制备中的应用。
Cancer Cytopathol. 2018 May;126(5):342-352. doi: 10.1002/cncy.21987. Epub 2018 Mar 2.
8
Cytology cell blocks are suitable for immunohistochemical testing for PD-L1 in lung cancer.细胞学细胞块适合用于肺癌中 PD-L1 的免疫组织化学检测。
Ann Oncol. 2018 Jun 1;29(6):1417-1422. doi: 10.1093/annonc/mdy126.
9
Programmed death-ligand 1 expression on direct Pap-stained cytology smears from non-small cell lung cancer: Comparison with cell blocks and surgical resection specimens.程序性死亡配体 1 在非小细胞肺癌直接巴氏染色细胞学涂片上的表达:与细胞块和手术切除标本的比较。
Cancer Cytopathol. 2019 Jul;127(7):470-480. doi: 10.1002/cncy.22155. Epub 2019 Jun 27.
10
Anaplastic Lymphoma Kinase Immunocytochemistry on Cell-Transferred Cytologic Smears of Lung Adenocarcinoma.肺腺癌细胞转移细胞学涂片的间变性淋巴瘤激酶免疫细胞化学
Acta Cytol. 2015;59(2):213-8. doi: 10.1159/000430083. Epub 2015 May 12.

本文引用的文献

1
Evolving Diagnostic Approach of Pulmonary Salivary Gland-type Tumors.肺涎腺型肿瘤的诊断方法进展。
Surg Pathol Clin. 2024 Jun;17(2):227-241. doi: 10.1016/j.path.2023.11.001. Epub 2023 Dec 26.
2
Diagnostic significance and cytological features of NUT carcinoma by EBUS-FNA, a case report and literature review.经 EBUS-FNA 诊断的 NUT 癌:病例报告及文献复习
Cytopathology. 2024 Jul;35(4):497-502. doi: 10.1111/cyt.13379. Epub 2024 Mar 29.
3
Usefulness of cell block examination for the cytological diagnosis of thoracic SMARCA4-deficient undifferentiated tumor: A case report.
细胞块检查在胸部分化不良 SMARCA4 缺陷性肿瘤的细胞学诊断中的应用:一例报告。
Diagn Cytopathol. 2023 May;51(5):E149-E154. doi: 10.1002/dc.25116. Epub 2023 Feb 11.
4
Non-small cell lung carcinomas with diffuse coexpression of TTF1 and p40: clinicopathological and genomic features of 14 rare biphenotypic tumours.弥漫性表达 TTF1 和 p40 的非小细胞肺癌:14 例罕见双表型肿瘤的临床病理和基因组特征。
Histopathology. 2023 Jan;82(2):242-253. doi: 10.1111/his.14801. Epub 2022 Oct 20.
5
Cytology of malignant pleural mesothelioma: Diagnostic criteria, WHO classification updates, and immunohistochemical staining markers diagnostic value.恶性胸膜间皮瘤的细胞学诊断:诊断标准、WHO 分类更新和免疫组织化学染色标记物的诊断价值。
Diagn Cytopathol. 2022 Nov;50(11):532-537. doi: 10.1002/dc.25053. Epub 2022 Sep 7.
6
Diagnostic mesothelioma biomarkers in effusion cytology.胸腔积液细胞学中的诊断性间皮瘤生物标志物。
Cancer Cytopathol. 2021 Jul;129(7):506-516. doi: 10.1002/cncy.22398. Epub 2021 Jan 19.
7
Formalin fixation for optimal concordance of programmed death-ligand 1 immunostaining between cytologic and histologic specimens from patients with non-small cell lung cancer.福尔马林固定可提高非小细胞肺癌患者细胞学和组织学标本中程序性死亡配体 1 免疫染色的一致性。
Cancer Cytopathol. 2021 Apr;129(4):304-317. doi: 10.1002/cncy.22383. Epub 2020 Oct 27.
8
Cytomorphology of primary pulmonary NUT carcinoma in different cytology preparations.不同细胞学标本中原发性肺 NUT 癌的细胞形态学。
Cancer Cytopathol. 2021 Jan;129(1):53-61. doi: 10.1002/cncy.22342. Epub 2020 Aug 17.
9
Cytology of SMARCA4-Deficient Thoracic Neoplasms: Comparative Analysis of SMARCA4-Deficient Non-Small Cell Lung Carcinomas and SMARCA4-Deficient Thoracic Sarcomas.SMARCA4 缺陷性胸内肿瘤的细胞学:SMARCA4 缺陷性非小细胞肺癌与 SMARCA4 缺陷性胸内肉瘤的比较分析。
Acta Cytol. 2021;65(1):67-74. doi: 10.1159/000510323. Epub 2020 Aug 27.
10
Integrative approach to cytologic and molecular diagnosis of malignant pleural mesothelioma.恶性胸膜间皮瘤细胞学与分子诊断的综合方法
Transl Lung Cancer Res. 2020 Jun;9(3):934-943. doi: 10.21037/tlcr-2019-pps-10.