Hsu S M, Jaffe E S
Am J Pathol. 1985 Oct;121(1):69-78.
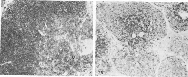
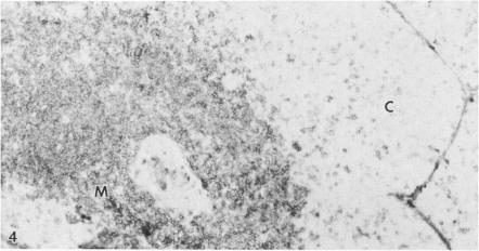
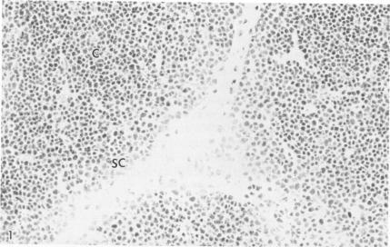
The pattern of expression of cell surface antigens and their relationship to the sequence of T-cell differentiation were delineated by the application of a series of monoclonal antibodies against T cells on tissue sections. The morphologic features and location of T-cell differentiation can be categorized into four stages: 1) subcapsular thymocytes, 2) cortical thymocytes, 3) medullary thymocytes, and 4) peripheral T cells. Phenotypically, on the basis of reactivity with monoclonal antibodies, T cells could be separated into two groups: immature and mature T cells. All stages of T cells expressed T200, Lyt 3, Leu 1, OKT3, Leu 9, and TA1, although staining intensities varied between thymic cortex and medulla. Mature T cells (medullary thymocytes and peripheral T cells) stained more intensely than immature T cells for some antigens, such as Leu 1, OKT3, and Leu 9, and, therefore, probably have a greater antigen density. Immature T cells, exemplified by subcapsular and cortical thymocytes, were characterized by the expression of Tdt, Leu M3, OKT6, OKT9, J5, BA-2, OKT10, and usually coexpressed both helper (T4/Leu 3a) and suppressor (T8/Leu 2a) antigens. With further maturation, medullary thymocytes and peripheral T cells lost reactivity for the above-mentioned markers, acquired A1G3 and Leu 8, and segregated into either T4+/Leu 3a+ or T8+/Leu 2a+ cells. A subpopulation of T cells in germinal centers differs from the majority of peripheral T cells by virtue of an absence of expression of Leu 8/A1G3. This histologically localized subset of T cells may be responsible for the mediation of helper function within the germinal center.
通过在组织切片上应用一系列抗T细胞单克隆抗体,描绘了细胞表面抗原的表达模式及其与T细胞分化序列的关系。T细胞分化的形态学特征和位置可分为四个阶段:1)被膜下胸腺细胞,2)皮质胸腺细胞,3)髓质胸腺细胞,4)外周T细胞。从表型上看,根据与单克隆抗体的反应性,T细胞可分为两组:未成熟T细胞和成熟T细胞。T细胞的所有阶段均表达T200、Lyt 3、Leu 1、OKT3、Leu 9和TA1,尽管胸腺皮质和髓质之间的染色强度有所不同。对于某些抗原,如Leu 1、OKT3和Leu 9,成熟T细胞(髓质胸腺细胞和外周T细胞)的染色比未成熟T细胞更强,因此,其抗原密度可能更高。以被膜下和皮质胸腺细胞为代表的未成熟T细胞的特征是表达末端脱氧核苷酸转移酶(Tdt)、Leu M3、OKT6、OKT9、J5、BA-2、OKT10,并且通常同时共表达辅助性(T4/Leu 3a)和抑制性(T8/Leu 2a)抗原。随着进一步成熟,髓质胸腺细胞和外周T细胞对上述标志物失去反应性,获得A1G3和Leu 8,并分化为T4+/Leu 3a+或T8+/Leu 2a+细胞。生发中心的T细胞亚群与大多数外周T细胞不同,因为其不表达Leu 8/A1G3。这种组织学定位的T细胞亚群可能负责生发中心内辅助功能的介导。