Suppr超能文献

负载棕色脂肪干细胞的弹性蛋白弹性水凝胶通过I/III型胶原蛋白重组在心肌梗死后重建心脏功能。

Brown Adipose Stem Cell-Loaded Resilin Elastic Hydrogel Rebuilds Cardiac Function after Myocardial Infarction via Collagen I/III Reorganisation.

作者信息

Zhao Le, Liu Huaying, Gao Rui, Zhang Kaihui, Gong Yuxuan, Cui Yaya, Ke Shen, Wang Jing, Wang Haibin

机构信息

College of Life Sciences and Bioengineering, School of Physical Science and Engineering, Beijing Jiaotong University, Beijing 100044, China.

Department of Wound Infection and Drug, Army Medical Center of PLA (Daping Hospital), Army Medical University, Chongqing 400042, China.

出版信息

Gels. 2024 Aug 31;10(9):568. doi: 10.3390/gels10090568.

Abstract

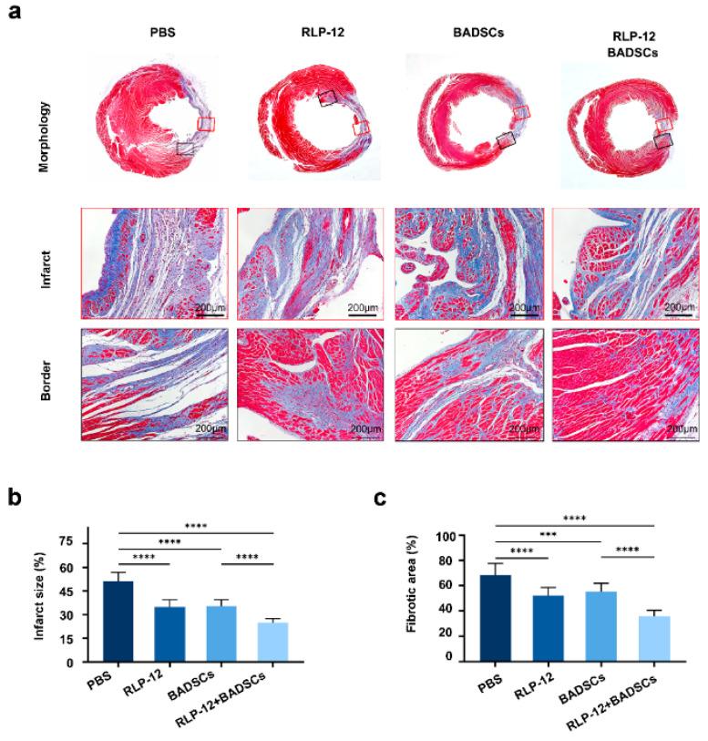
Irreversible fibrosis following myocardial infarction (MI) stiffens the infarcted myocardium, which remains challenging to restore. This study aimed to investigate whether the injectable RLP12 hydrogel, derived from recombinant resilin protein, could serve as a vehicle for stem cells to enhance the function of the infarcted myocardium. The RLP12 hydrogel was prepared and injected into the myocardium of rats with MI, and brown adipose-derived mesenchymal stem cells (BADSCs) were loaded. The survival and differentiation of BADSCs in vivo were investigated using immunofluorescence one week and four weeks after treatment, respectively. The heart function, MI area, collagen deposition, and microvessel density were further assessed four weeks after treatment through echocardiography, histology, immunohistochemistry, and immunofluorescence. The RLP12 hydrogel was prepared with a shear modulus of 10-15 kPa. Four weeks after transplantation, the RLP12 hydrogel significantly improved cardiac function by increasing microvessel density and reducing infarct area size and collagen deposition in MI rats. Furthermore, the distribution ratio of collagen III to I increased in both the centre and edge areas of the MI, indicating the improved compliance of the infarct heart. Moreover, the RLP12 hydrogel also promoted the survival and differentiation of BADSCs into cardiac troponin T- and α-smooth muscle-positive cells. The RLP12 hydrogel can be utilised as an injectable vehicle of BADSCs for treating MI and regulating collagen I and III expression profiles to improve the mechanical microenvironment of the infarct site, thereby restoring heart function. The study provides novel insights into the mechanical interactions between the hydrogel and the infarct microenvironment.

摘要

心肌梗死(MI)后不可逆的纤维化会使梗死心肌变硬,恢复起来仍然具有挑战性。本研究旨在探讨源自重组弹性蛋白的可注射RLP12水凝胶是否可作为干细胞的载体,以增强梗死心肌的功能。制备RLP12水凝胶并将其注射到MI大鼠的心肌中,并加载棕色脂肪来源的间充质干细胞(BADSCs)。分别在治疗后1周和4周使用免疫荧光法研究BADSCs在体内的存活和分化情况。治疗4周后,通过超声心动图、组织学、免疫组织化学和免疫荧光进一步评估心脏功能、MI面积、胶原沉积和微血管密度。制备的RLP12水凝胶的剪切模量为10-15 kPa。移植4周后,RLP12水凝胶通过增加微血管密度、减小梗死面积大小和减少MI大鼠的胶原沉积,显著改善了心脏功能。此外,MI中心和边缘区域的III型胶原与I型胶原的分布比例均增加,表明梗死心脏的顺应性得到改善。此外,RLP12水凝胶还促进了BADSCs的存活并使其分化为心肌肌钙蛋白T和α-平滑肌阳性细胞。RLP12水凝胶可用作BADSCs的可注射载体,用于治疗MI并调节I型和III型胶原的表达谱,以改善梗死部位的机械微环境,从而恢复心脏功能。该研究为水凝胶与梗死微环境之间的机械相互作用提供了新的见解。

https://cdn.ncbi.nlm.nih.gov/pmc/blobs/6cba/11431146/775621fe2d2c/gels-10-00568-g001.jpg

文献检索

告别复杂PubMed语法,用中文像聊天一样搜索,搜遍4000万医学文献。AI智能推荐,让科研检索更轻松。

立即免费搜索

文件翻译

保留排版,准确专业,支持PDF/Word/PPT等文件格式,支持 12+语言互译。

免费翻译文档

深度研究

AI帮你快速写综述,25分钟生成高质量综述,智能提取关键信息,辅助科研写作。

立即免费体验